Le pilier prothétique est indispensable à la prothèse fixée. Sa pérennité dans le temps est un critère majeur dans la prise de décision entre un traitement conservateur ou implantaire unitaire.
La prévention de la pathologie carieuse et parodontale est le souci premier de tout praticien. En effet, chaque traitement conservateur, quel qu’il soit, présente un taux d’échec qui lui est propre et une pérennité dans le temps. Le choix d’un traitement raisonné sera dès lors nécessaire en gardant à l’esprit les notions de préservation tissulaire et d’acte minimum invasif pour rétablir la santé pulpaire, parodontale, fonctionnelle et esthétique de l’organe dentaire.
De nombreux facteurs peuvent influencer le choix de notre traitement et rendre la prise de décision difficile. Ils sont multiples : la perte tissulaire dentinaire (d’origine carieuse ou traumatique), le statut pulpaire et péri-apical, l’état parodontal et systémique du patient, l’occlusion et le ratio coût/bénéfice des soins prodigués. Il est dès lors intéressant d’investiguer les différentes solutions thérapeutiques et de définir les critères décisionnels entre un traitement conservateur ou implantaire unitaire, critères basés sur les taux de succès rapportés par la littérature scientifique.
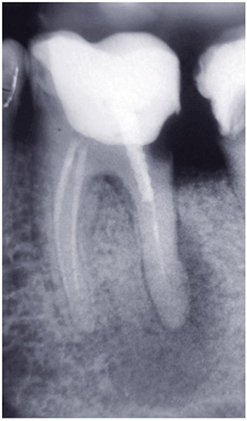
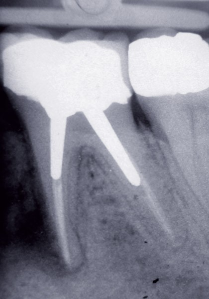
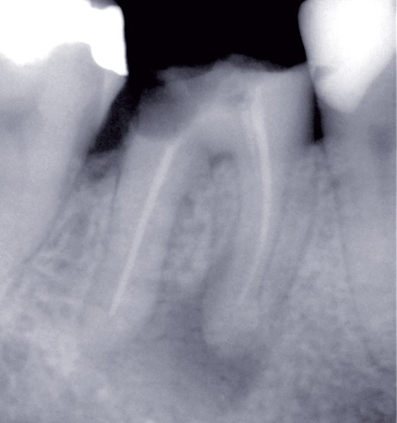
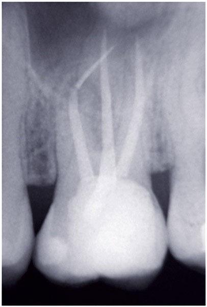
Dans un environnement parodontal sain, la chronologie des traitements conservateurs suite à la pathologie carieuse serait la suivante : le traitement endodontique de première intention, le retraitement endodontique et la chirurgie endodontique, voire l’amputation radiculaire. En cas d’échec, l’alternative implantaire pourra être envisagée (fig. 1).
Discerner les notions de « Succès » et « Survie »
Discerner la survie d’un traitement endodontique ou implantaire de son succès est primordial afin de se défaire de certaines idées reçues. Or, ces deux termes ont été…



