Le point sur les différentes techniques orthodontiques (fixes versus aligneurs) : indications chez l’adulte et incidences parodontales

  • Par
  • Publié le . Paru dans L'Information Dentaire n°28 - 22 juillet 2020 (page 38-43)

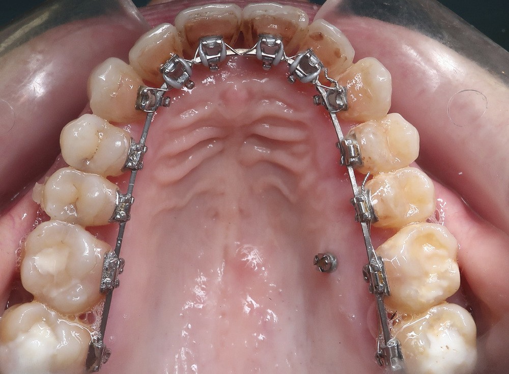
d. Vue occlusale maxillaire durant le traitement orthodontique avec brackets linguales répondant à la demande esthétique du patient.

Information dentaire
Chez l’adulte, le traitement orthodontique doit prendre en compte les résultantes de maladies parodontales. Ainsi, nous aborderons ici les deux grandes techniques orthodontiques, leurs indications et leurs incidences sur le parodonte.

Les différentes techniques

Il existe deux grands types d’appareillages orthodontiques : l’un fixe (multi-attaches vestibulaires ou linguales), l’autre amovible (aligneurs). Quelle que soit la technique choisie, il est recommandé d’appliquer des forces légères et continues afin de respecter le parodonte [1].

Les multi-attaches

Les attaches, qu’elles soient vestibulaires ou linguales, ont largement fait leurs preuves quelle que soit la malocclusion à traiter. Grâce aux « mini-attaches », le lingual offre aujourd’hui un maximum de confort pour le patient.

La durée d’un traitement orthodontique réalisé avec des brackets linguales ou vestibulaires est équivalente. Sur le plan esthétique, la technique linguale est la seule parfaitement invisible.

Les aligneurs

Ce système amovible connaît un essor considérable depuis quelques années, probablement grâce à son apparente simplicité et sa meilleure acceptation par les patients [2, 3]. Ayant saisi la puissance économique de ce système, de nombreuses entreprises inondent le marché et proposent des traitements par aligneurs.

Si toutes les malocclusions peuvent être traitées par les multi-attaches, il n’en est pas de même avec la technique d’aligneurs qui a ses limites, obligeant les praticiens à utiliser divers auxiliaires (mini-vis, taquets, etc.) [4, 5]. La société Align Technology assure que des mouvements complexes peuvent être effectués avec l’outil thérapeutique Invisalign®, mais le bilan de la littérature met en évidence des résultats encore trop hétérogènes [4]. Il semble nécessaire de poursuivre la recherche et le développement de cette technique, si l’on veut la voir un jour rivaliser pleinement avec les techniques fixes.

Les indications chez l’adulte

Le traitement orthodontique ne présente pas de limite d’âge. Un quart des patients traités sont des adultes. La correction des malpositions a une incidence positive sur la santé parodontale.

Cet article est réservé aux abonnés.
Pour lire la suite :

Vous êtes abonné.e ? Connectez-vous
Mot de passe
oublié ?

Vous pouvez également :

Acheter l'article En version numérique
Acheter le numéro À l'unité

Thèmes abordés

Sur le même sujet

Parodontologie

Article réservé à nos abonnés De la muco-esthétique à la muco qui sauve les dents

Le concept PASS au cœur de l’innovation parodontale La chirurgie plastique parodontale a connu une évolution notable, alliant avancées cliniques et technologiques...
Parodontologie

Article réservé à nos abonnés Séance SFPIO – Quelles sont les bonnes pratiques en parodontologie en 2024 ?

Responsable scientifique : Caroline Fouque Intervenants : Damien FEUILLET, Hélène RANGé, Nicolas BLANC-SYLVESTRE La parodontologie au croisement des disciplines Toutes sévérités confondues, les...