Pour qui ? Quand ? Pourquoi ?
Pour qui ?
Pour corriger ou modifier des migrations dentaires, des diastèmes, des égressions, compenser des édentements ou des déséquilibres occlusaux et retrouver une esthétique satisfaisante, un traitement orthodontique peut être indiqué pour un grand nombre de ces patients atteints de maladies parodontales.
Il est en effet démontré que les mouvements orthodontiques appliqués à des patients au parodonte réduit et sain n’induisent pas d’aggravation de la perte d’attache parodontale (3, 4) à condition d’une parfaite maîtrise de la composante inflammatoire de la parodontite.
Cas clinique 1
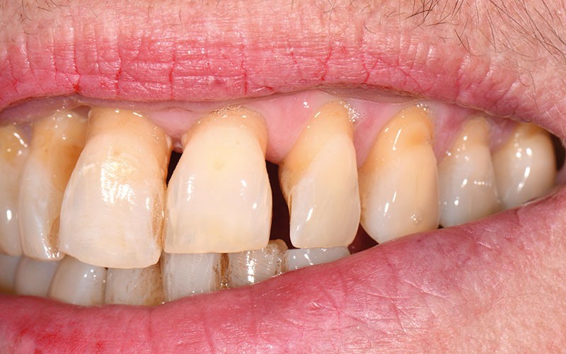
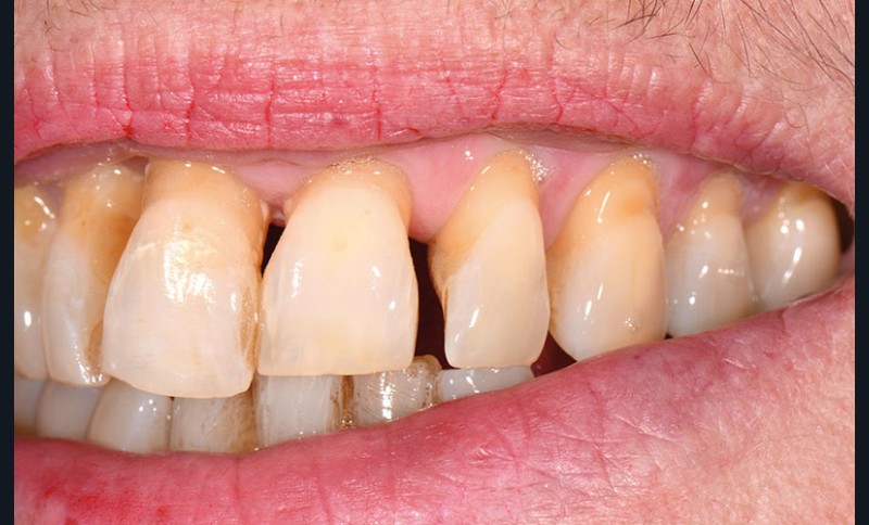
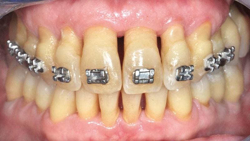
Une patiente de 63 ans consulte car elle observe l’ouverture récente d’espaces interdentaires qui l’inquiètent. Elle est atteinte de parodontite chronique généralisée modérée à sévère, dont la progression s’est accélérée. Celle-ci nécessite un traitement parodontal qui sera complété par un traitement orthodontique une fois la pathologie stabilisée pour fermer les espaces et réaligner les dents (fig. 1).
Quand ?
L’obtention d’un parodonte assaini, voire renforcé si nécessaire, est une condition sine qua non, au traitement orthodontique sur parodonte réduit.
L’assainissement du parodonte par un traitement de parodontie est une condition préalable indispensable à tout traitement orthodontique. Celui-ci permet le maintien des volumes osseux et tissulaires au cours des mouvements dentaires orthodontiques.
La thérapeutique étiologique a pour objectif la diminution de la charge bactérienne buccale du patient et donc la réduction, voire la disparition de l’inflammation parodontale. Celle-ci est basée initialement sur l’acquisition d’une hygiène orale satisfaisante et rigoureusement maintenue de la part du patient, ce qui est incontournable pour conserver une santé parodontale au cours et à la suite d’un traitement orthodontique. Cette étape comporte la gestion des facteurs…
