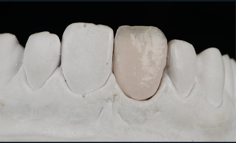
Le relevé de la couleur en dentisterie esthétique peut être considéré comme un challenge que ce soit pour le dentiste ou le prothésiste. Il reste difficile de communiquer précisément et fidèlement une indication de couleur. Classiquement, un teintier de référence est utilisé à cet effet. Le plus couramment utilisé est le Vita Classical (Vita Zahnfabrik). Or, de nombreuses études ont montré que ce référentiel n’est pas si fiable et représentatif des variations de couleurs que l’on peut retrouver chez nos patients. Il semblerait même que les spectrophotomètres soient plus efficaces et précis qu’une méthode de relevé visuelle [1,2].
En 2016, Sascha Hein et al ont publié un nouveau protocole numérique appelé eLAB permettant de rendre objectif le relevé de la couleur en s’appuyant sur un système colorimétrique universel : le CIELab [3,4]. Depuis, le protocole a évolué et les outils qui lui sont dédiés [5], avec notamment la sortie récente (octobre 2019) du logiciel eLAB_prime qui offre une automatisation du protocole (des tutoriels vidéos sont disponibles sur le site officiel : www.emulation.me).
Cet article vise à détailler toutes les étapes clés du protocole, de la prise de photo en clinique à la réalisation d’une restauration unitaire.
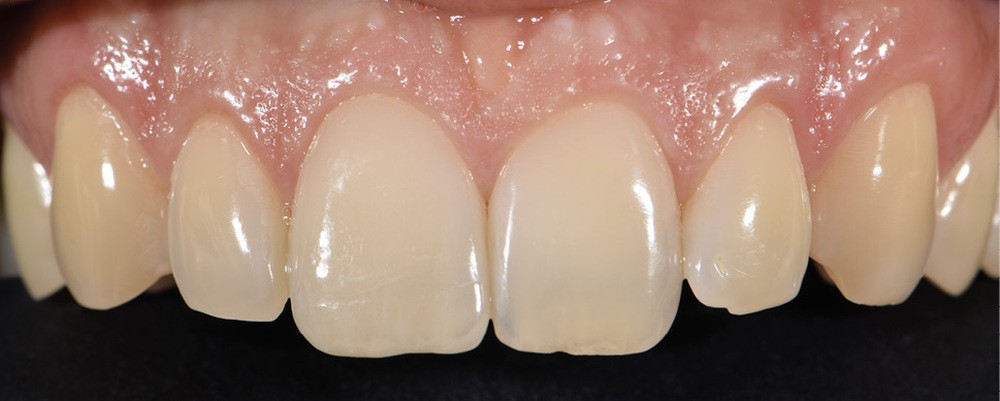
CONCLUSION
Le protocole e_LAB change la façon de concevoir le relevé de couleur, qui reste une étape cruciale dans le succès d’une restauration à visée esthétique. Les étapes qui constituent ce protocole ne sont pas très nombreuses mais exigent un respect strict des réglages et paramètres qui permettront une bonne analyse colorimétrique…
































