Le plateau technique à réunir pour la prise d’empreinte et la pose de la prothèse sur implant est similaire à celui de la prothèse fixée conventionnelle mais avec quelques particularités propres à chaque système :
• prise d’empreinte : ajouter un tournevis, une clé, un transfert, un analogue et un pilier.
• pour la pose : ajouter un tournevis et la clé dynamométrique.
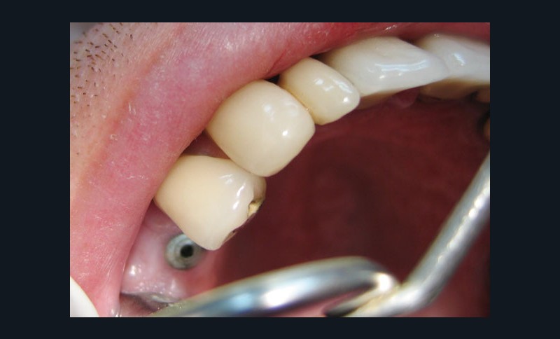
Le praticien s’assurera de la bonne intégration de l’implant avant la prise d’empreinte après examen clinique et radiographique (fig. 1).
Prise d’empreinte
Matériel nécessaire : clé, tournevis, extracteur, analogue et transfert dont il existe presque autant de modèles que de types d’implants (fig. 2 et 3). L’assistante consultera le dossier du patient afin de sélectionner les pièces adaptées au pilier implanté.
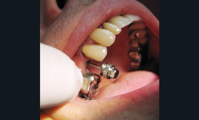
Dépose de la vis de cicatrisation (fig. 4) : l’assistante présente au praticien l’embout du tournevis adapté à la tête de vis de cicatrisation (fig. 5).
Puis le tournevis est calé sur l’embout (fig. 6) et la vis est retirée (fig. 7).
La vis est trempée dans une solution antiseptique (fig. 8).
Mise en place du transfert (ici transfert de marque Zimmer) sur le tournevis (fig. 9 et 10) immédiatement après la dépose de la vis de cicatrisation afin d’éviter un retour de la gencive.
Positionnement du transfert et vissage sur l’implant (fig. 11) : il est recommandé de colmater le puits de vissage afin d’éviter une fusée du matériau…









