Définitions
Les contentions postorthodontiques fixes ont pour but de stabiliser à long terme la nouvelle position dentaire obtenue. Cependant, des déplacements dentaires peuvent apparaître malgré la présence d’un fil de contention collé en lingual. Cette complication inattendue du fil de contention a été nommée : « syndrome du fil », en 2015 par Roussarie et al. [6]. Il peut se produire avec tous les types de fils et toutes les méthodes de collage de ces fils, qu’elles soient directes ou indirectes [7].
Signes cliniques
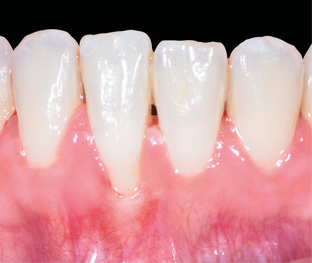
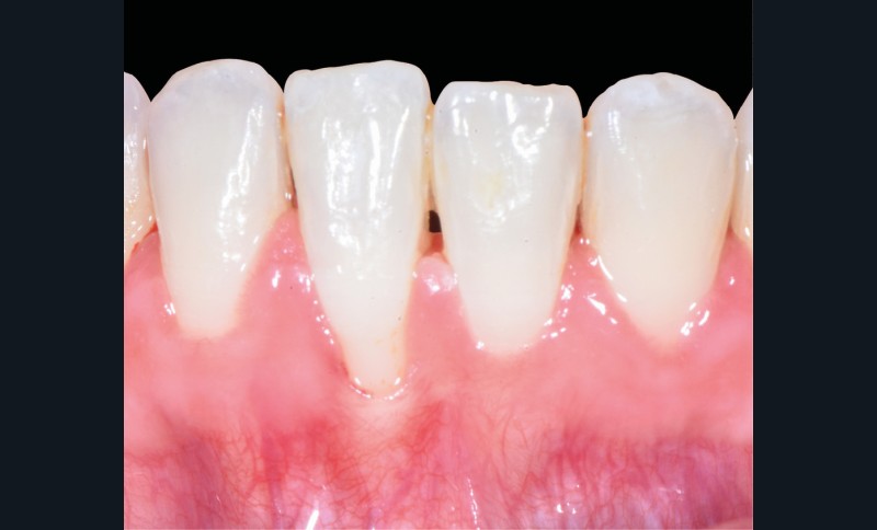
Plusieurs signes cliniques sont observés : versions, diastèmes, translation ou rotation du bloc incisivo-canin. La combinaison de plusieurs de ces mouvements est possible.
Ils sont observés majoritairement à la mandibule, mais des cas ont également été rapportés au maxillaire [6, 7]. Le déplacement dentaire lié à un syndrome du fil peut conduire à l’apparition de récessions parodontales vestibulaires ou linguales/palatines.
Étiologies
Les deux principaux mouvements observés sont :
- une différence de torque entre deux incisives adjacentes (X effect) (fig. 1) ;
- un torque de sens opposés sur les canines (Twist effect).
Plusieurs facteurs étiologiques sont à l’origine de ces mouvements.
> Le fil de contention n’est pas passif.
Il exerce une force sur la dent ou les dents auxquelles il est collé.
- Par déformation du fil lors de son collage. Lors d’un collage en technique directe, la déformation du fil peut être induite par la pression contre la surface dentaire, et ainsi le rendre actif. L’utilisation d’élastiques ou de fil de soie pour maintenir le fil fermement appliqué sur la surface linguale des dents, au moment du collage, peut masquer la déformation du fil. Lors d’un collage en technique indirecte, une empreinte imparfaite, une erreur de conception ou un laps de temps trop long entre le débagage et le collage oblige à exercer une force de…
