Le traitement parodontal s’inscrit souvent dans un plan de traitement pluridisciplinaire. En effet, en présence de facteurs de risque locaux (restaurations et prothèses débordantes et/ou sous gingivales, lésions endo-parodontales, absence de point de contact), d’édentement et de migrations dentaires, la concertation entre le parodontiste, l’omnipraticien et l’orthodontiste est indispensable pour organiser et mener à bien le plan de traitement.
La grande majorité des patients sont adressés par leur omnipraticien. Alors que certains sont stressés, angoissés par le diagnostic, d’autres sont inconscients de leur problème et sans demande particulière.
À leur arrivée, l’assistante est donc leur premier contact et la première image du cabinet. L’accueil doit être souriant et chaleureux tout en préparant le dossier administratif et le questionnaire médical du patient.
Parallèlement, le matériel nécessaire à la première consultation doit être prêt : angulateur radio, plateau d’examen et matériel de motivation au brossage.
Le bilan parodontal, diagnostic et premiers conseils
Après la recherche des facteurs de risque généraux, lors de l’anamnèse médicale, le bilan parodontal va permettre de poser un diagnostic et d’établir un plan de traitement adapté.
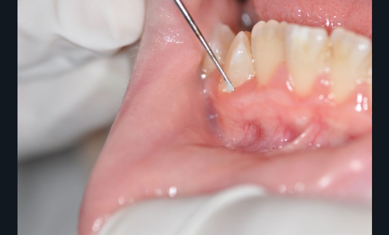
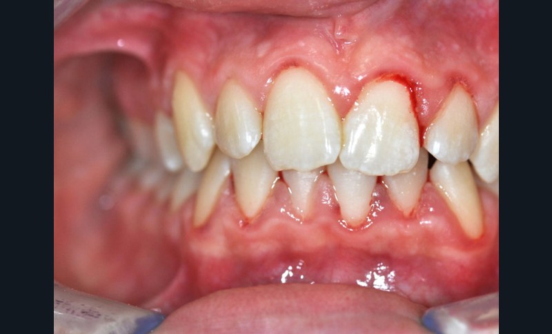
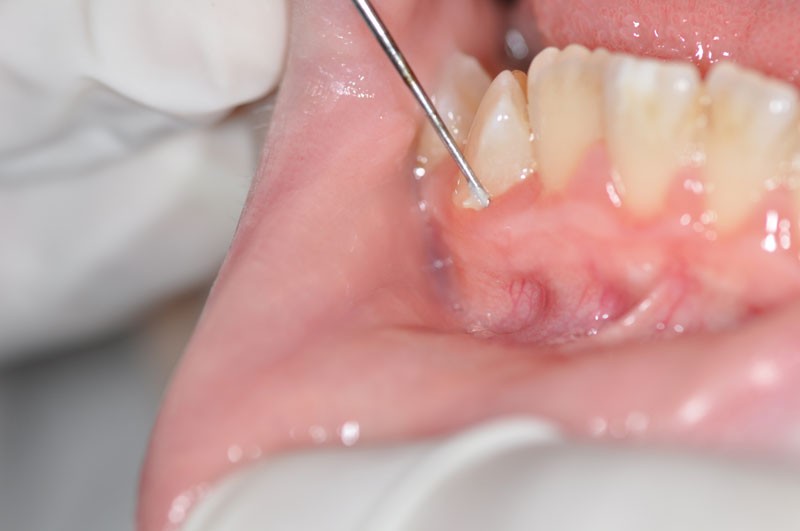
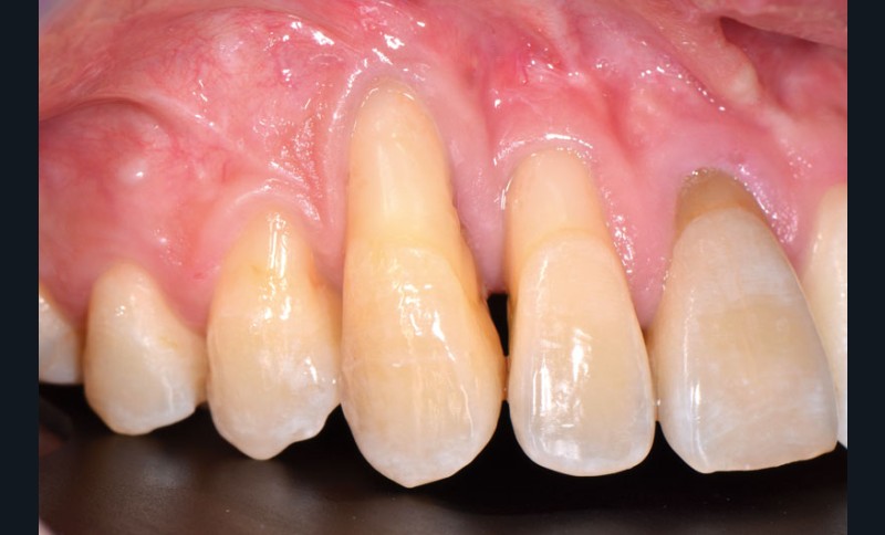
À l’aide d’une sonde parodontale graduée, nous allons mesurer l’indice de plaque et chercher les signes cliniques de la maladie tels que l’inflammation, les poches parodontales, les mobilités et les récessions (fig. 1).
Le bilan radiographique rétro-alvéolaire, plus précis qu’une panoramique, est indispensable pour quantifier la perte osseuse et repérer les lésions intra-osseuses et interadiculaires en relation avec une anatomie radiculaire parfois défavorable, et ainsi évaluer le pronostic de chaque dent. Enfin, il permet de mettre en évidence la présence de dépôts tartriques, de…




