La dentisterie adhésive a ouvert un champ illimité de possibilités restauratrices extrêmement conservatrices et très fiables. Les restaurations partielles ont fait leurs preuves et ont déjà intégré notre pratique de tous les jours [1]. Forts d’un certain recul assez encourageant, nous sommes tentés en permanence de découvrir de nouvelles possibilités et de pousser les limites de nos compétences. Les préparations ou « tailles » standard, fort coûteuses en tissus dentaires, pratiquées dans le cadre des restaurations périphériques classiques, ont laissé la place à des préparations individualisées à chaque situation clinique et qui ont l’avantage d’être économes en tissus [2].
Pascal Magne a évoqué cette forme de restauration qu’est le veneerlay, contraction de veneer (facette) et d’onlay [3]. Il s’agit d’une préparation de facette à recouvrement occlusal adaptée aux secteurs postérieurs. Peu importe la dénomination, l’essentiel étant de s’inscrire dans cette démarche où l’on privilégie l’intégrité tissulaire au volume prothétique.
Nous illustrons notre argumentation au travers de deux cas cliniques.
Quand ?
Il n’y a pas d’indications types de veneerlays. Comme toutes les restaurations partielles, cette forme de préparation « s’impose » dans certains contextes cliniques où les indications de recouvrement occlusales et vestibulaires se présentent.
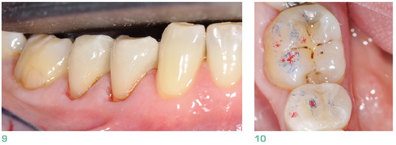
Dans le cas d’usure située en vestibulaire et en occlusal : consommation de boissons acides ou abrasion occlusale liée à de l’abfraction cervicale par exemple, sont des cas typiques d’usure, rencontrés notamment au niveau des prémolaires [4].
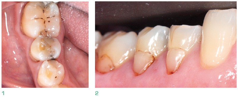
Outre les lésions d’usure, les veneerlays présentent également un intérêt esthétique sur des dents postérieures nécessitant des restaurations occlusales…


