Le terme veneerlay est une combinaison des termes anglo-saxons veneer et overlay. Difficilement traduisible en français, il caractérise une Restauration Esthétique en Céramique Collée (RECC) postérieure, restituant à la fois la table occlusale et la face vestibulaire.
Questions…
Question 1 Les indications des veneerlays ne concernent que les situations d’usure sectorielle
Question 2 L’épaisseur minimale de préparations en occlusal pour des veneerlays est de 0,6 mm
Question 3 Même pour les restaurations de dents postérieures, la préparation se fait avec des fraises de profondeur calibrées (deep marker) au travers d’un mock up
Question 4 Le réglage de l’occlusion se fait avec des fraises bague rouge avant la séquence de collage
Réponses : 1 : faux ; 2 : faux ; 3 : vrai ; 4 : faux
Commentaires
Question 1
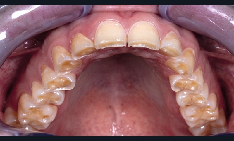
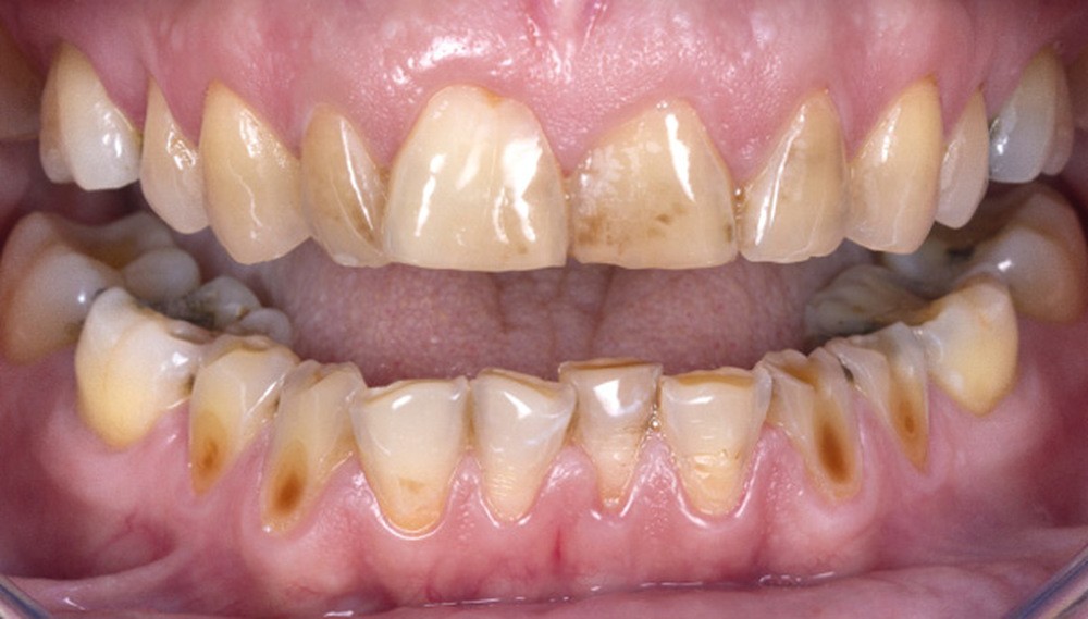
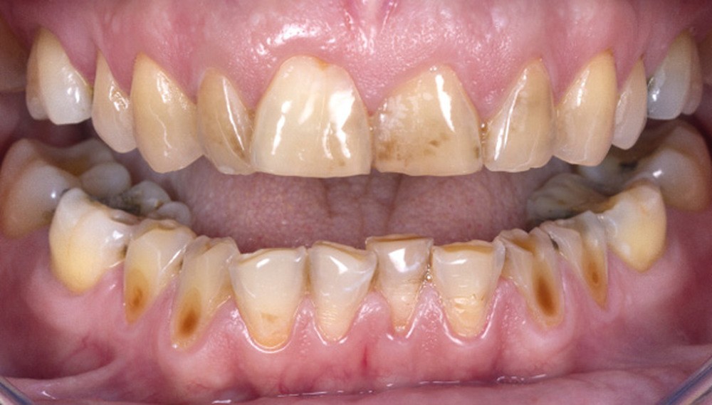
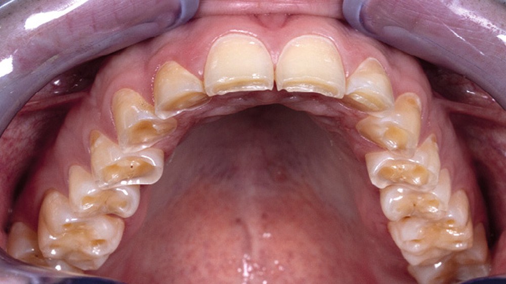
Les indications des veneerlays sont principalement rencontrées dans la prise en charge thérapeutique des lésions d’érosion/usure dans lesquelles la perte des tissus amélaires et dentinaires impacte les faces vestibulaires et occlusales [1]. Les situations cliniques peuvent concerner aussi bien une usure sectorielle (fig. 1a) que globale (fig. 1b).
Les veneerlays peuvent être réalisés aussi bien sur des molaires que sur des prémolaires, même si ces dernières restent à la fois d’indications plus fréquentes et de réalisation plus aisée. En effet, l’indication de RECC à préparations minimalistes, nécessitant un collage pour assurer leur résistance, doit être posée en adéquation avec la possibilité d’isolation du site. En particulier, la difficulté à placer un champ opératoire dans la zone de furcation débutante sur une molaire peut parfois contre-indiquer le veneerlay. Dans ce cas, une option moins conservatrice, comme une couronne scellée, peut parfois être préférée.
Concernant l’indication des veneerlays sur les prémolaires, la notion…

