Le collage sur l’émail n’a plus de secret en orthodontie, mais ce n’est pas le cas du collage sur la dentine. Or, il existe des situations cliniques où nous appliquons le protocole de collage sur l’émail, alors que nous collons sur la dentine. Cela peut expliquer des échecs comme dans le cas clinique suivant .
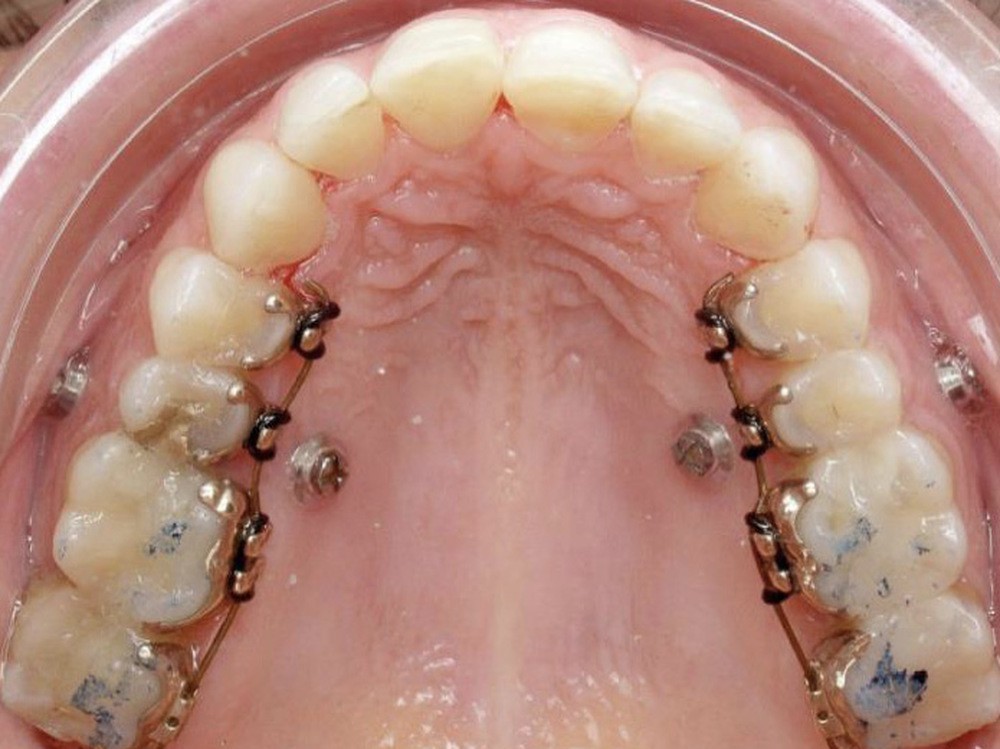
Dans le cadre d’un collage indirect en lingual, six verrous orthodontiques antérieurs sont restés dans la gouttière de transfert (fig. 1). Les prémolaires et molaires ont pourtant été bien collées, alors que le protocole est identique. Comment peut-on expliquer cet échec ?
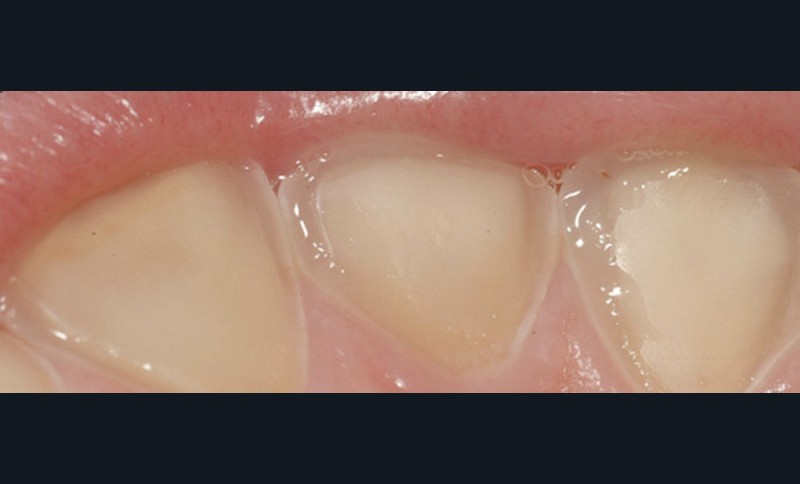
Dans un contexte général où la patiente de 45 ans a des séquelles dentaires d’une anorexie adolescente, il faut s’habituer à bien observer les surfaces dentaires sur lesquelles nous collons. Ici on peut noter de larges plages dentinaires. C’est donc un protocole de collage sur la dentine qu’il aurait fallu appliquer dans ce contexte.
Voici, en quatre temps, les points clés pour optimiser l’adhésion aux substrats dentinaires en orthodontie vestibulaire ou linguale.
Savoir distinguer la dentine érodée en phase active de la dentine érodée en phase inactive ou sclérotique
La dentine érodée en phase active, jaune claire (fig. 2), est caractérisée par une déminéralisation péritubulaire et intertubulaire. Ainsi, la surface expose des fibres de collagène difficilement infiltrables par l’adhésif [1].
La dentine érodée en phase inactive est colorée et sclérotique (fig. 3). Il s’agit d’une réponse physiologique du complexe pulpo-dentinaire au vieillissement et aux agressions « lentes ». Le mécanisme de défense du complexe pulpo-dentinaire induit une formation minéralisée au sein de la dentine, oblitérant les tubuli et constituant une couche hyperminéralisée épaisse de 14 µ de cristaux d’hydroxyapatites à sa surface [2].
Fraiser la couche superficielle
Dans les deux cas, il est nécessaire…

