Rapport de cas GEPI - Groupe d’Études en Parodontologie et Implantologie
Abandonner les greffes osseuses n’est pas raisonnable, car leur succès a été démontré dans de nombreux rapports de cas (mesures, radiographies) et elles peuvent servir à traiter certaines lésions infra-osseuses et restaurer l’os alvéolaire, ce qui permettra de conserver des dents qui semblaient compromises.
Le gold standard des reconstructions par greffe osseuse est l’os autogène qui est ostéogénique, ostéoinducteur et ostéoconducteur. Parfois, la quantité d’os que l’on peut prélever n’est pas suffisamment importante sur le site chirurgical ou intrabuccal, il est alors possible de faire appel aux allogreffes, aux hétérogreffes ou aux matériaux de comblement pour effectuer l’intervention.
Le but de cet article est de présenter un traitement par allogreffe et de vérifier que tous les objectifs désirés sont atteints.
Cas clinique
Un patient vient consulter pour une douleur à la mastication au niveau de la 46. Cette dernière est légèrement mobile.
L’examen clinique montre que cette dent, couronnée, présente des joints médiocres (dus à l’ancienneté de la prothèse), une poche de plus de 10 mm en mésial et une douleur à la percussion verticale.
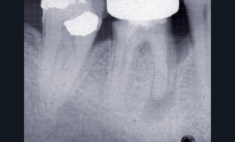
L’examen radiographique met en évidence un traitement endodontique incorrect, une lésion périapicale et une poche parodontale infra-osseuse au niveau de la racine mésiale (fig. 1 et 2).
Le plan de traitement suivant est proposé au patient :
– dépose de la coiffe et réalisation d’une coiffe provisoire ;
– détartrage ;
– reprise du traitement endodontique ;
– surfaçage ;
– attendre la guérison de la lésion périapicale (chirurgie endodontique si nécessaire) ;
– chirurgie parodontale reconstructrice avec greffe osseuse ;
– « ré-rentrée » pour aménager le secteur et vérifier le comblement osseux douze mois plus tard ;
– coiffe d’usage ;
– maintenance.
Les quatre premiers points sont effectués au cours…
