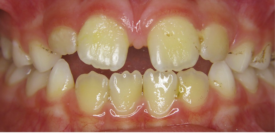
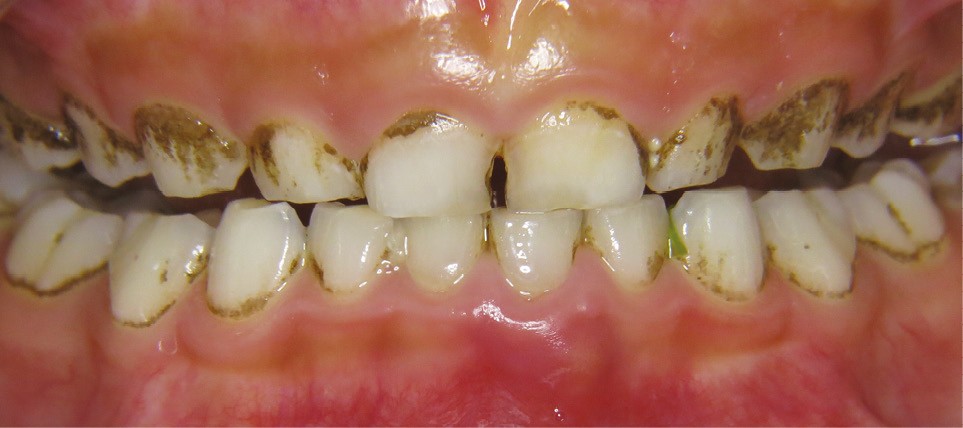
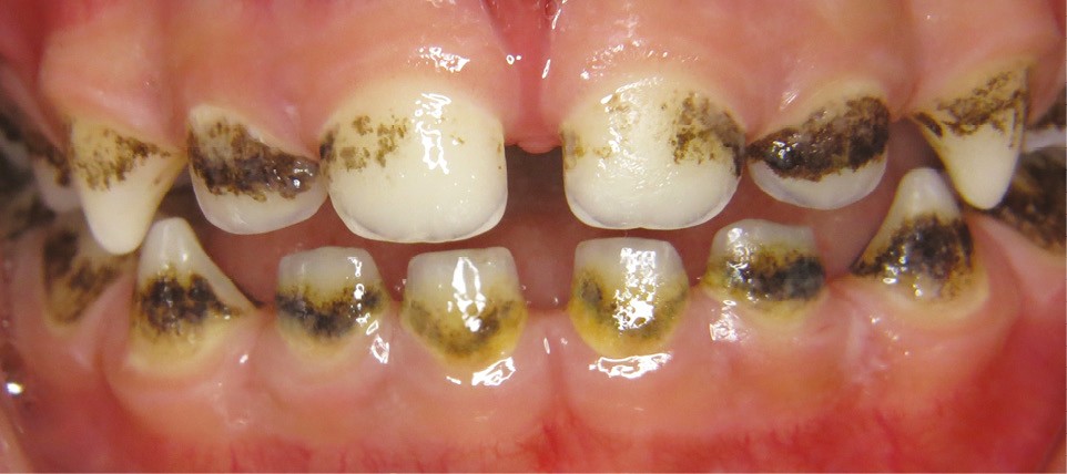
Impressionnantes, les taches noires sur les dents des bébés et des jeunes enfants ne sont pas rares. Sans gravité, leur caractère inesthétique pousse souvent les parents à consulter.
Les colorations noires extrinsèques d’origine bactérienne, appelées communément « black stains » par les Anglo-Saxons ou « tartre juvénile », touchent essentiellement les enfants et sont caractérisées par un liseré noir au collet des dents.
Elles sont retrouvées aussi bien en denture temporaire qu’en denture mixte ou définitive. Même si elles peuvent être observées à n’importe quel âge, y compris chez le jeune adulte, une expression plus importante a cependant été constatée sur les dents temporaires.
Les colorations ont tendance à diminuer avec l’âge : à la puberté, les changements hormonaux modifient la composition de la salive, les bactéries disparaissent et les colorations aussi.
Caractérisation et prévalence
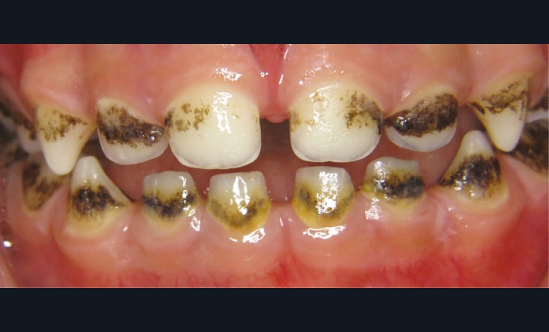
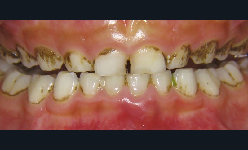
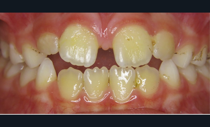
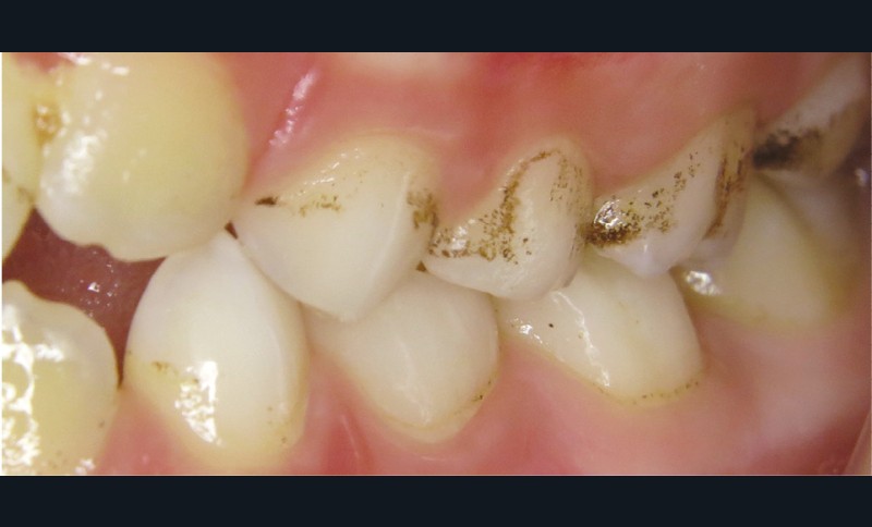
Les colorations noires extrinsèques d’origine bactérienne (fig. 1 à 5) sont caractérisées :
- soit par des dépôts noirs formant une ligne noire (continue ou non) parallèle à la gencive marginale localisée au niveau du tiers cervical de la couronne dentaire sur les faces vestibulaires, palatines/linguales et proximales aussi bien des dents temporaires que définitives ;
- soit par des taches ou des points plus ou moins sombres localisés sur les différentes faces dentaires ainsi que dans les puits, fissures et sillons occlusaux.
La prévalence des colorations noires extrinsèques d’origine bactérienne varie entre 1,6 % (Angleterre) et 19,9 % (Suisse) avec une répartition équivalente entre les deux sexes.
Bacteroïdes Melaninogenicus (actuellement renommé Prevotella Melaninogenica), jusqu’à présent tenu pour l’espèce responsable de la couleur, représente dans des études récentes moins de 1 % de la composition bactérienne…




