Pourquoi faire des composites antérieurs ?
Le choix et l’application correcte de différentes masses de résine composite, par technique de stratification, permettent d’obtenir des restaurations d’apparence parfaitement naturelle [2-10].
Le potentiel esthétique élevé des résines composites associé à leur bon comportement mécanique fait de ce matériau, depuis plus de vingt ans, une alternative à la céramique dentaire [11]. Il présente trois avantages :
– un traitement peu mutilant et respectueux du capital dentaire des patients ;
– une bonne fiabilité immédiate et à terme grâce aux performances de l’adhésion aux tissus dentaires calcifiés [12] ;
– un rapport coût/bénéfice/risque [13] incomparable.
Indications
Cinq grandes indications peuvent être retenues pour la réalisation de composite antérieur :
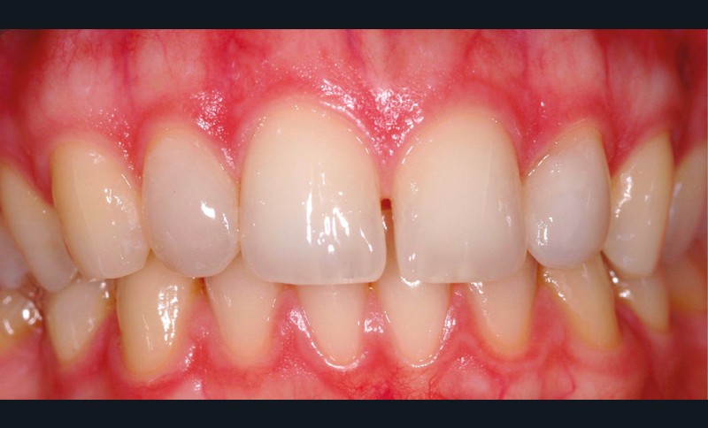
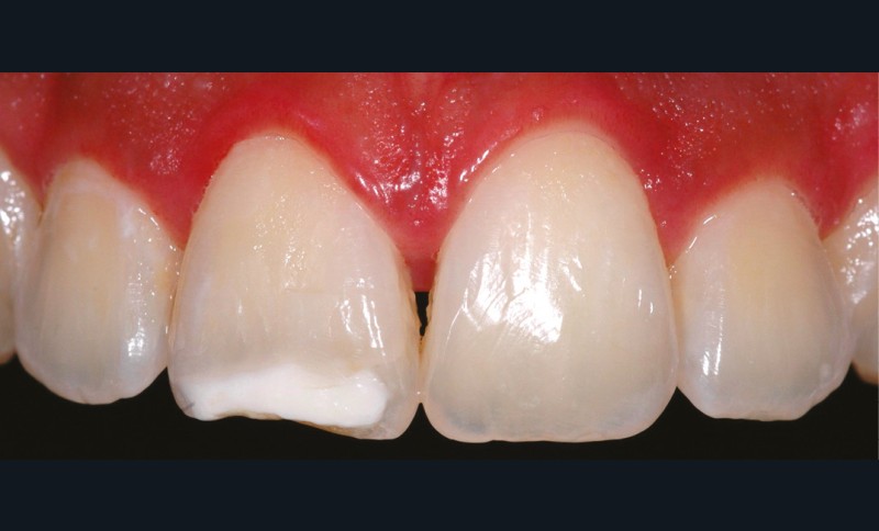
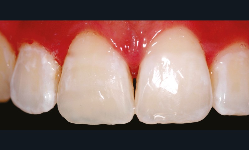
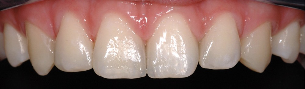
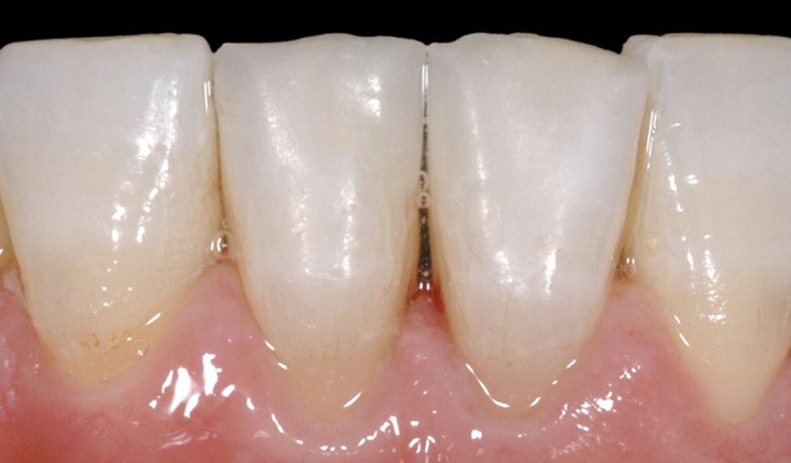
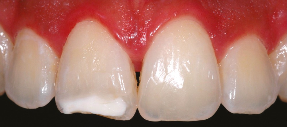
– lésion carieuse (fig. 1 à 5) ;
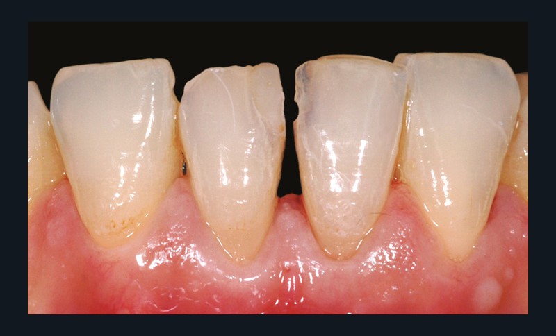
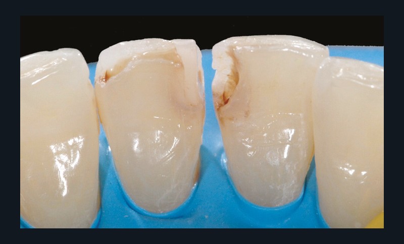
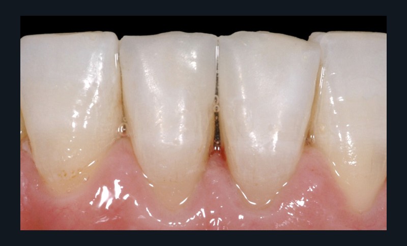
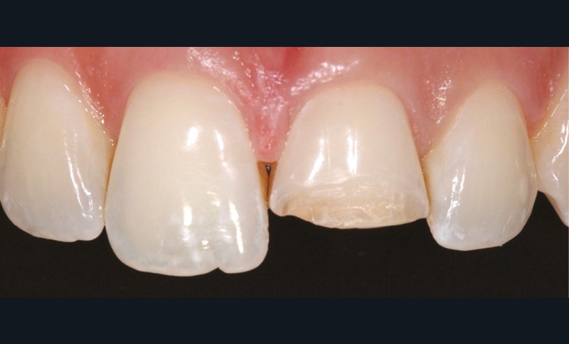
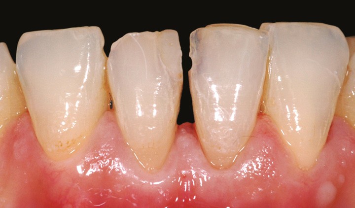
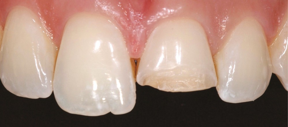
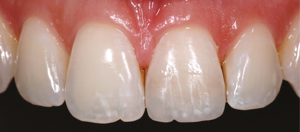
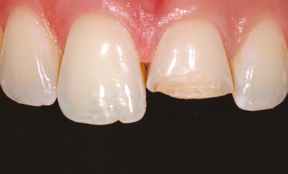
– fracture coronaire (fig. 6 à 7) ;
– modification de forme dentaire ;
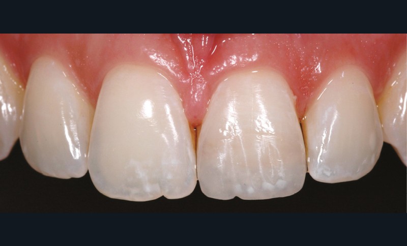
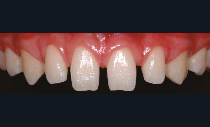
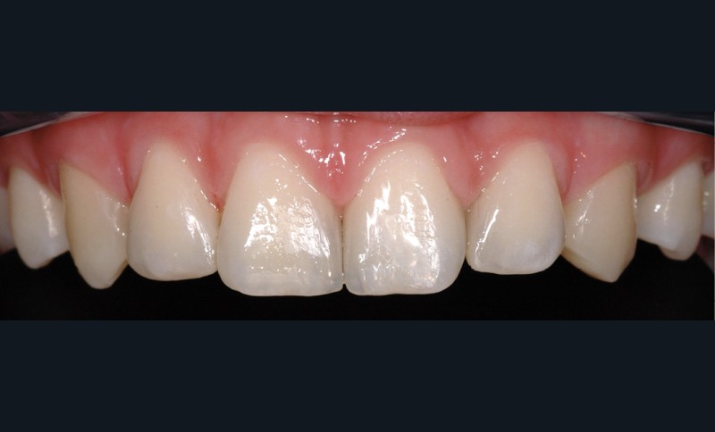
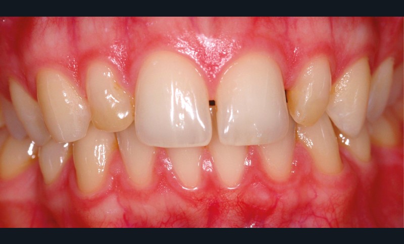
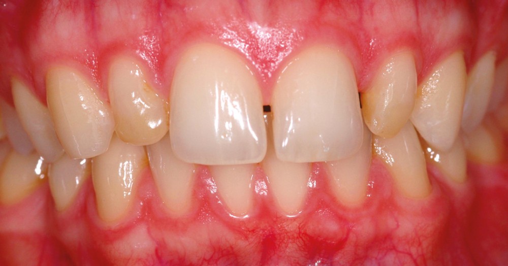
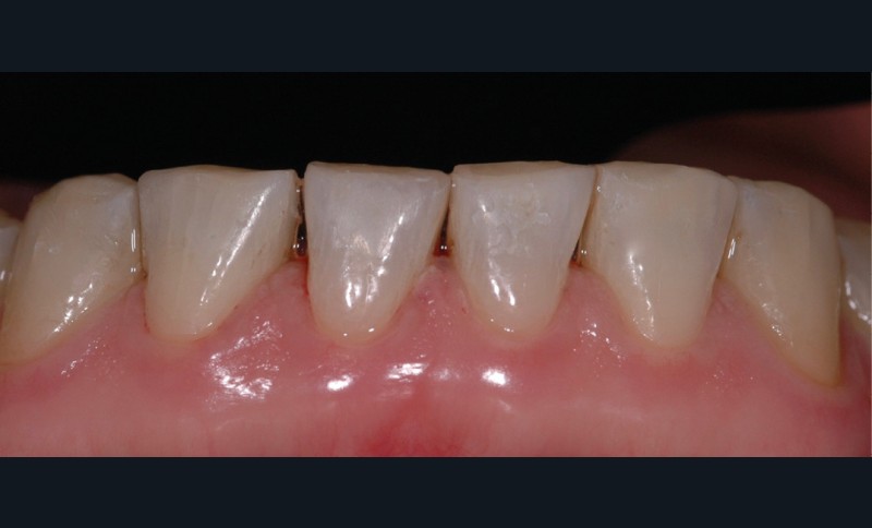
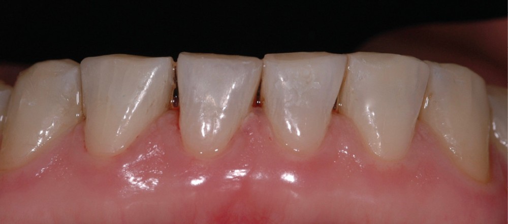
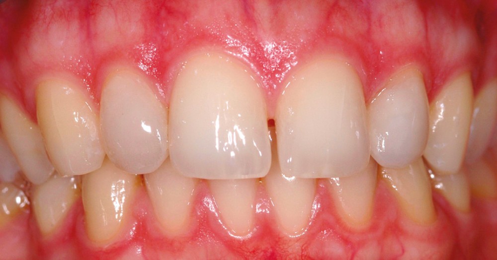
– fermeture de diastème (fig. 8 à 9) ;
– transformation de dent riziforme (fig. 10 à 11) ;
– dyschromie dentaire (fig. 12 à 13) ;
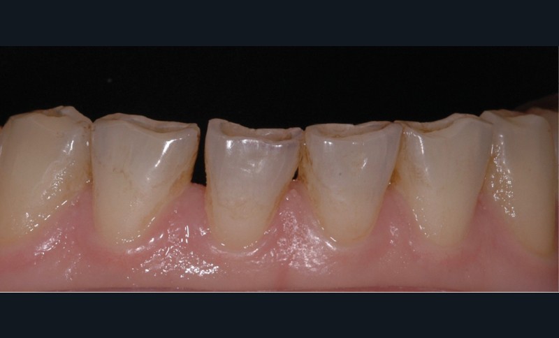
– usures (fig. 14 à 15).
Quels matériaux utiliser ?
Adhésif
Les qualités d’adhérence et d’étanchéité de l’adhésif doivent non seulement être immédiates, mais aussi durables pour éviter les colorations marginales, les caries récurrentes, les sensibilités, voire la perte de la restauration, qui sont autant de phénomènes de dégradation limitant la longévité des traitements. Au niveau des marges amélaires, ce critère apparaît bien établi depuis longtemps non en raison des qualités intrinsèques des adhésifs, mais par le biais du mordançage avec des solutions d’acide phosphorique [12]. Dans le secteur antérieur, quel que soit le design de la restauration, le substrat amélaire reste…














