La dentisterie contemporaine nous donne de plus en plus de possibilités de planification (DSD, Wax-up, Mock-up) et bien souvent cette planification est la clé de la réussite du traitement. Bien planifier en amont, c’est limiter les retouches en per- et post-opératoire et donc les aléas thérapeutiques.
Cependant, dans le cas des restaurations directes, il peut paraître compliqué de transposer la planification à la bouche du patient. En ce qui concerne les restaurations antérieures, l’approche conventionnelle par stratification est souvent réalisée à l’aide de clés en silicone mais le montage couche par couche altère le transfert du projet esthétique en bouche.
La technique d’injection se situe à la frontière entre les restaurations directes et indirectes. Elle permet cette transposition grâce à l’alliance d’une gouttière en silicone rigide et des composites fluides de dernière génération dits injectables [1].
Cas clinique
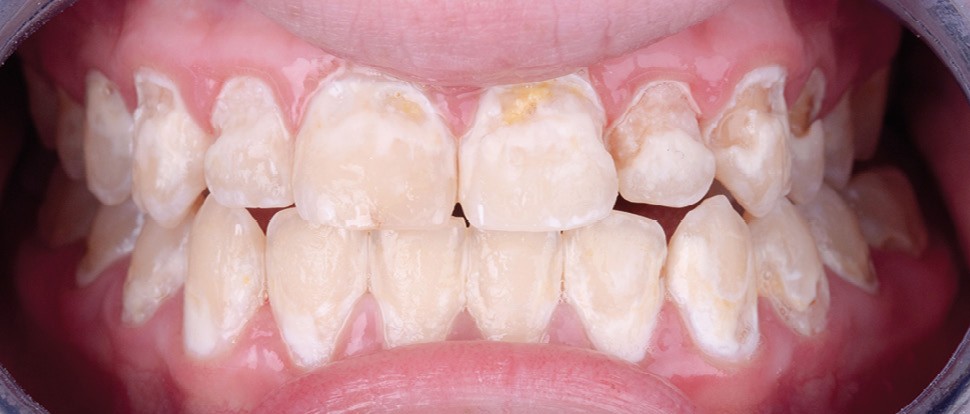
Ce patient de 16 ans est adressé par son chirurgien-dentiste, à la suite de la dépose de l’appareil orthodontique. Le nombre et l’étendue des lésions carieuses (fig. 1) rendent la prise en charge complexe, et le jeune âge du patient nous oriente vers la réalisation de restaurations directes.
Planification
Des empreintes et une série de photographies sont réalisées dès le premier rendez-vous afin que le laboratoire puisse réaliser un wax-up, qui sera validé par le patient sous forme de mock-up au moment du second rendez-vous.
C’est uniquement après cette étape de validation que la gouttière d’injection sera faite à l’aide d’un silicone transparent (Exaclear, GC®).
Préparation
Dans ce cas, compte tenu de l’étendue des lésions carieuses, il a été décidé de ne pas réaliser l’ensemble des restaurations en une séance : au maxillaire, les dents ont été traitées une par une, tandis qu’à la mandibule une injection multiple a été réalisée.
Après…
