Les échecs endodontiques sont principalement causés par la persistance de micro-organismes au sein du système canalaire [1]. Le retraitement non chirurgical se révèle souvent être la solution thérapeutique de choix. La microchirurgie endodontique [2] réalisée sous microscope opératoire, avec une gestion atraumatique des tissus, une préparation et une obturation a retro des canaux, donne d’excellents résultats avec un taux de guérison dépassant 90 % [3, 4]. Elle peut s’imposer dans les cas où :
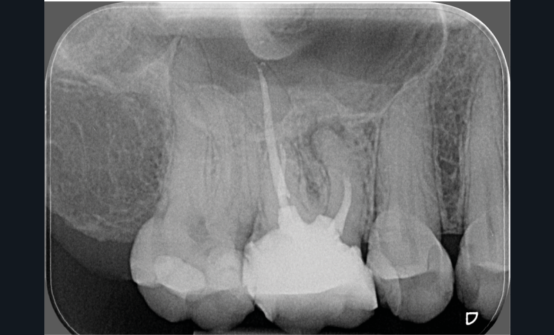
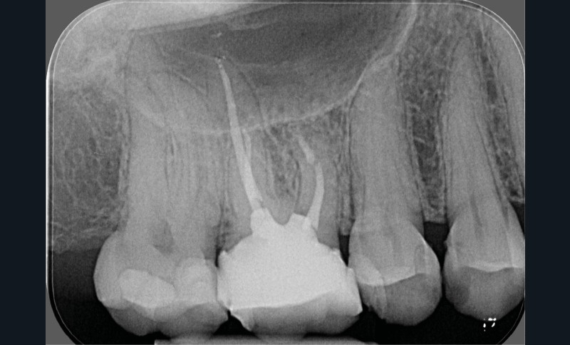
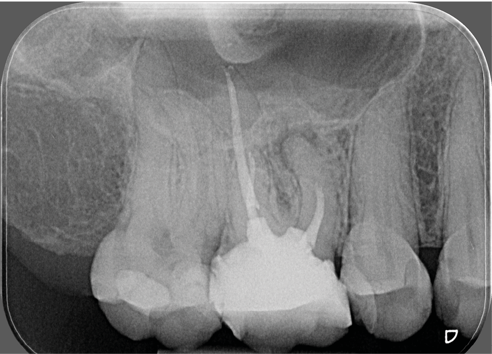
- une pathologie péri-radiculaire ne guérit pas à la suite d’un (re)traitement (fig. 1a-b) ;
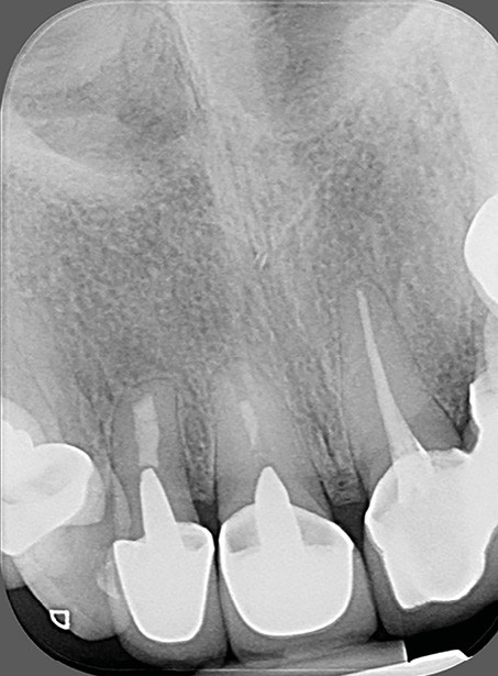
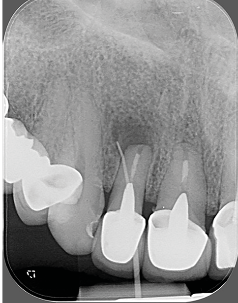
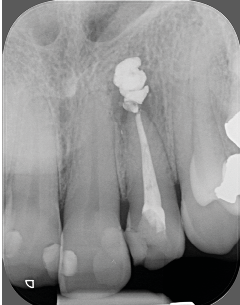
- un retraitement orthograde présente un mauvais rapport bénéfice-risque : par exemple, la présence d’un tenon dont la dépose pourrait fracturer la dent (fig. 2a-b) ;
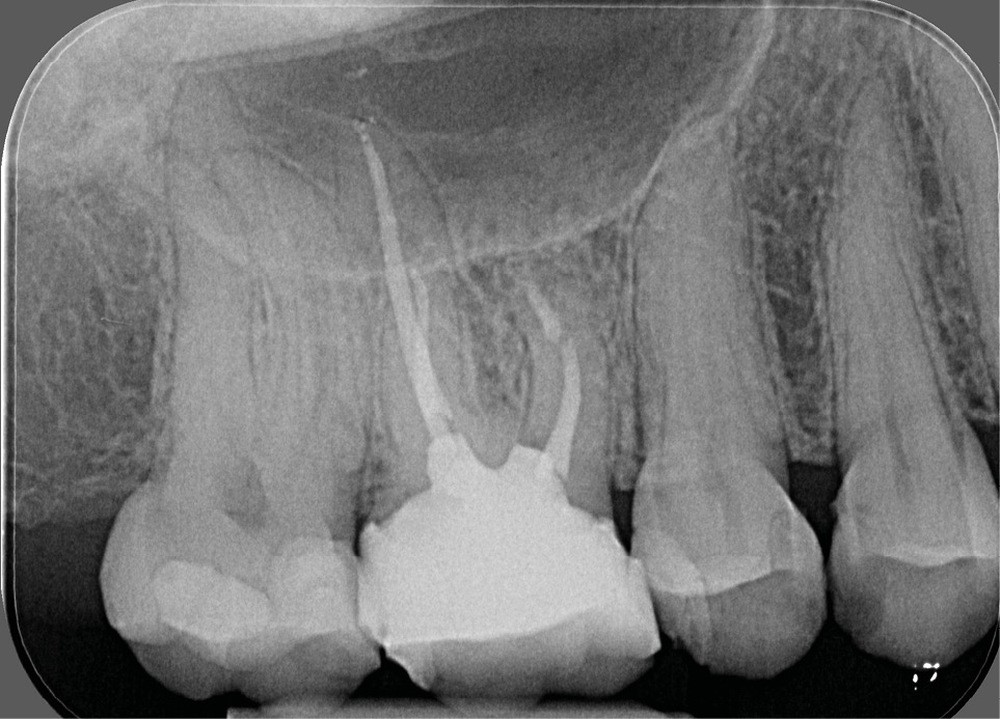
- un retraitement ne parviendrait pas à gérer une situation iatrogène : par exemple, une lésion accompagnée d’une importante extrusion de matériau d’obturation (fig. 3a-b).
Cet article, principalement basé sur des études cliniques, décrit les différentes étapes d’un traitement de microchirurgie endodontique qui sont :
- l’anesthésie locale ;
- le lambeau d’accès ;
- l’ostéotomie ;
- le curetage de la lésion ;
- l’apicectomie ;
- la préparation canalaire ;
- l’hémostase ;
- l’obturation ;
- les sutures.
Anesthésie locale
La première étape du traitement est l’anesthésie qui doit être profonde et participer à l’hémostase peropératoire. L’articaïne 4 % avec 1/100 000 d’adrénaline semble être la solution anesthésique de choix [5].
Sa durée et son intensité sont bien adaptées à la microchirurgie endodontique. L’adrénaline qu’elle contient induit l’hémostase par vasoconstriction.
Lambeau
Un lambeau muco-périosté est ensuite levé. Il doit permettre la visualisation complète de la lésion et pouvoir être suturé berge à berge, soutenu par une surface…





