Les DDA et proposition thérapeutique du composite-up

  • Par
  • Publié le . Paru dans Stratégie Prothétique n°4 - 15 octobre 2021 (page 266-273)

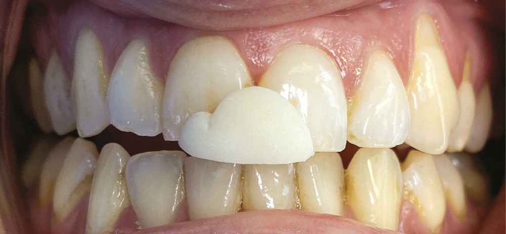
1. Butée antérieure mise en place (matériau Revotek LC, GC).

Information dentaire
  1. Qu’est-ce que la technique du composite-up ?
  2. Quels sont ses objectifs ?
  3. Comment est-elle mise en œuvre ?
  4. Que faire ensuite pour pérenniser le résultat ?

    Les dyskinésies dento-articulaires (DDA) sont des troubles du cycle de mastication, majoritairement liés à des anomalies morphologiques des tables occlusales ayant des conséquences articulaires et musculaires.

    Parmi les possibilités thérapeutiques dans la prise en charge des DDA, la modification directe des tables occlusales des dents cuspidées par adjonction de résine composite, appelée composite-up fait partie des options de choix [1].

    L’objectif de cet article est de proposer un protocole clinique du composite-up, simple et facile à mettre en place en pratique quotidienne.

    Présentation du composite-up

    Deux solutions thérapeutiques sont envisageables dans la prise en charges des DDA : le composite-up ou les orthèses ou gouttières occlusales. Dans le cadre de cet article, seul le composite-up sera abordé.

    Le composite-up est une méthode d’équilibration occlusale additive par adjonction de résine composite au niveau des faces occlusales des dents cuspidées pour obtenir une morphologie permettant le rétablissement de contacts fonctionnels lors des cycles de mastication. L’objectif prioritaire est de recréer les guidages d’entrée et de sortie de cycles de mastication au niveau des premières molaires maxillaires et mandibulaires. Ces couples molaires sont la clé de voûte de la mastication. Les additions peuvent être étendues aux prémolaires et secondes molaires selon les besoins et l’évolution des symptômes.

    Objectifs

    La réhabilitation de surfaces occlusales fonctionnelles favorise le retour à des cycles de mastication physiologiques et permet que les mouvements d’entrée et de sorties de cycles masticatoires se fassent correctement. La fonction masticatoire retrouvera alors un schéma plus conforme visant à résoudre les symptômes des DDA, comme le montrent les vidéos de Marcel Le Gall [2].

    La résolution des symptômes d’une DDA par l’amélioration de la fonction masticatoire fait de cette technique un…

    Cet article est réservé aux abonnés.
    Pour lire la suite :

    Vous êtes abonné.e ? Connectez-vous
    Mot de passe
    oublié ?

    Vous pouvez également :

    Acheter l'article En version numérique
    Acheter le numéro À l'unité

    Thèmes abordés