Les dents Genios®, une réussite esthétique et fonctionnelle

  • Par
  • Publié le . Paru dans Stratégie Prothétique n°5 - 30 novembre 2015 (page 285-293)
Information dentaire
Quelles sont les caractéristiques des dents Génios® ?
Quels sont leurs domaines prothétiques d’utilisation ?
Comment les gérer au travers des différents cas cliniques ?

L’allongement de l’espérance de vie avec un gain qui se situe entre 1,5 et 3 mois par an entraîne un vieillissement inévitable de la population. Selon l’INSEE, alors qu’en 2000, les personnes âgées de plus de 60 ans ne représentaient qu’un cinquième de la population française, en 2035, elles en représenteront plus d’un tiers (1).
Plus précisément, dans l’hexagone, les patients âgés de 65 à 74 ans sont porteurs à plus de 60 % de prothèses amovibles partielles ou complètes (2). Ces chiffres encouragent à nous intéresser de près aux seniors et à leur état bucco-dentaire.

Outre l’aspect strictement fonctionnel des traitements proposés à cette catégorie de la population, on observe un accroissement de la demande de traitements esthétiques, qui s’étend à toutes les disciplines de l’odontologie. Le développement du concept de « Biomimétique » (3) en dentisterie, ouvre la voie à des techniques qui tendent à se rapprocher du naturel.
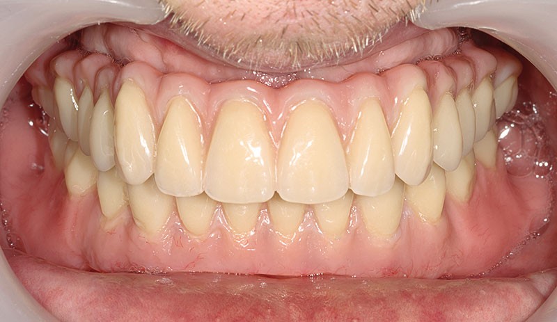
Au regard de l’ensemble de ces paramètres et afin d’optimiser l’intégration esthétique et fonctionnelle de nos traitements prothétiques, le choix des dents artificielles est une étape clé qui permettra, comme le souligne Palla de « redonner l’expression naturelle du visage pour en restituer l’image, donner l’illusion d’une denture naturelle et rendre à l’individu sa dignité » (4).
Dans cet article, en nous étayant sur trois cas cliniques, nous proposons de développer les avantages apportés par les dents Genios® aussi bien en prothèses amovibles partielles et complètes qu’en prothèses supra-implantaires.
Les dents Genios® sont en résine et présentent une structure IPN (Interpenetrated Polymer Net-work). Il s’agit d’une résine acrylate à base de polyméthacrylate de méthyl hautement réticulé. Lors de la polymérisation, des liaisons se forment entre les chaînes primaires et les chaînes secondaires. La structure tridimensionnelle obtenue, offre…

Cet article est réservé aux abonnés.
Pour lire la suite :

Vous êtes abonné.e ? Connectez-vous
Mot de passe
oublié ?

Vous pouvez également :

Acheter l'article En version numérique
Acheter le numéro À l'unité

Thèmes abordés