Les différentes facettes de l’odontologie pédiatrique

  • Par
  • Publié le . Paru dans Réalités Cliniques n°3 - 15 septembre 2017 (page 201-212)
Information dentaire
Résumé

Faire retrouver le sourire à un enfant ou à un adolescent est un objectif essentiel. Face à des défauts tissulaires inesthétiques intéressant les dents antérieures, nos jeunes patients vivent souvent cela de manière très négative et le praticien ne doit pas négliger cette dimension psychologique dans sa prise en charge. Les facettes ne peuvent être considérées comme une solution unique et systématique à tous les problèmes de défauts amélaires, des solutions ultraconservatrices plus pratiques pouvant être proposées en première intention. Les facettes seront particulièrement indiquées pour masquer les défauts atteignant plusieurs dents et s’étendant largement sur la surface vestibulaire. Plusieurs techniques opératoires sont possibles (hors céramique) : directe, semi-directe, indirecte, ou par l’intermédiaire de facettes préfabriquées. Si les résultats peuvent être très satisfaisants, les protocoles demeurent néanmoins exigeants et les facettes sont à réserver aux jeunes patients coopérants et motivés.

implication clinique

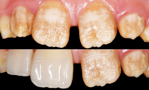
Les facettes en matériaux composites doivent faire partie de l’arsenal thérapeutique de l’odontologiste pédiatrique et constituent un moyen efficace destiné à masquer les défauts amélaires disgracieux et étendus en conservant un maximum de capital dentaire.

Les facettes pelliculaires, fréquemment décrites chez l’adulte dans la littérature, font également partie de l’arsenal de solutions thérapeutiques des odontologistes pédiatriques (hypoplasies amélaires, taches et colorations intrinsèques étendues). Depuis les travaux précurseurs de Pincus [1], qui avait réalisé des masques pelliculaires destinés à des stars d’Hollywood, les matériaux permettant de créer ces artifices cosmétiques ont considérablement évolué. Aujourd’hui, les facettes constituent une solution conservatrice et esthétique que tout praticien doit maîtriser [2].
 
Lorsque l’indication est posée, les facettes vont permettre de modifier de manière importante le sourire de nos jeunes patients en proie à des atteintes disgracieuses des dents antérieures. En effet, l’esthétique, ce n’est pas que pour les grands ! Nos patients peuvent souffrir d’un sourire hors normes qui devient source de stigmatisation, le plus souvent au sein des établissements scolaires [3]. L’enfant et l’adolescent sont des êtres dont la personnalité est en cours de construction et ne pas prendre en compte l’aspect esthétique de leur sourire peut être très préjudiciable et entraîner des troubles psychosociaux. L’apparence est essentielle dans leur développement psychoaffectif [4]. La santé bucco-dentaire est une véritable source de bien-être chez eux.
Par ailleurs, outre la restitution de l’harmonie d’un sourire, ces facettes ont également un intérêt fonctionnel, ainsi qu’un intérêt préventif des pertes tissulaires dans le cas d’anomalies de structure par exemple.

Place des facettes transitoires de longue durée dans le gradient thérapeutique

La préservation du capital dentaire doit constituer un objectif permanent dans notre exercice quotidien. Le fossé entre une valorisation totalement obsolète de notre activité par les pouvoirs publics et les progrès des techniques et des matériaux dans notre domaine, assurant…

Cet article est réservé aux abonnés.
Pour lire la suite :

Vous êtes abonné.e ? Connectez-vous
Mot de passe
oublié ?

Vous pouvez également :

Acheter l'article En version numérique
Acheter le numéro À l'unité

Thèmes abordés