- Pourquoi l’attache supra-crestale doit-elle être rétablie ?
- Comment déterminer l’importance de l’éviction tissulaire à réaliser ?
- Quels sont les différents temps opératoires de l’intervention ?
- Quels délais de cicatrisation pour les phases prothétiques provisoires et d’usage ?
Réponses
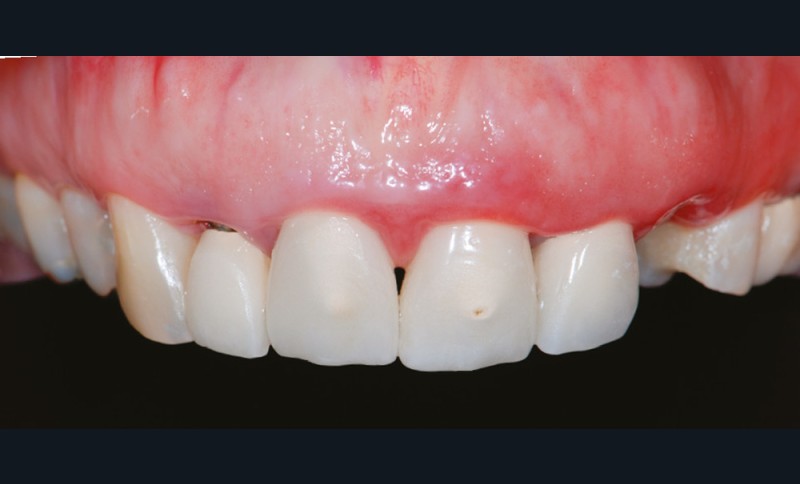
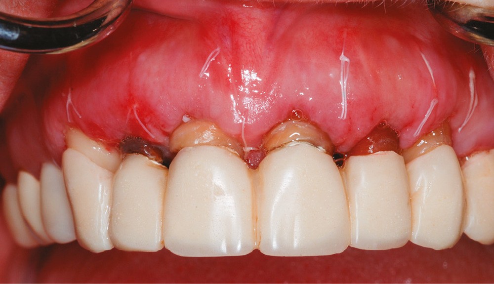
1 – Le système d’attache d’une dent est composé de l’os alvéolaire, du ligament alvéolo-dentaire et de l’attache épithélio-conjonctive ou attache supra-crestale. L’attache supra-crestale, anciennement confondue avec l’espace biologique, est un espace d’environ 2 mm [1] occupé par l’attache conjonctive (1 mm) et l’attache épithéliale (1 mm). Il est normalement visible à la radiographie rétro-alvéolaire entre le sommet de la crête osseuse et la jonction émail-cément. Comme une dent possède naturellement un sulcus, certains auteurs estiment qu’il convient d’y ajouter au moins 1 mm de sulcus libre de toute structure prothétique [2]. On peut donc considérer l’espace biologique comme un « espace clinique sanctuarisé » de 3 mm au sommet de la crête osseuse alvéolaire, nécessaire à la santé et à la stabilité parodontale. La violation de l’espace biologique génère un traumatisme parodontal aboutissant à des récessions gingivales ou des gingivites prothétiques (fig. 1a-b).
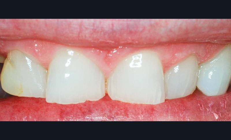
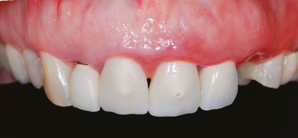
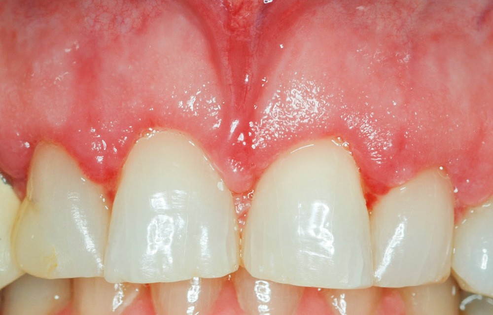
Même en l’absence de restauration, l’espace biologique n’est parfois naturellement pas correctement établi sur la dent. Ce phénomène est couramment décrit comme une éruption passive retardée. Elle peut être une indication d’élongation coronaire esthétique afin de rétablir la couronne clinique dans son intégralité (fig. 2a-c).
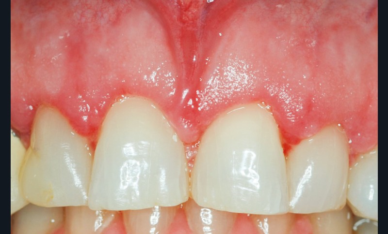
2 – L’élongation coronaire se fera aux dépens du parodonte superficiel et du parodonte profond. Une gingivectomie n’est possible que si le parodonte comporte plus de 3 mm de gencive kératinisée. En effet, il est recommandé…




