Les facettes en céramique permettent des restaurations fiables et durables [4, 5]. Mais pour obtenir des résultats pérennes, certaines règles sont incontournables. L’une des plus fondamentales s’inscrit dans une philosophie minimalement invasive consistant à conserver le maximum de surface amélaire pour optimiser le collage [6-9]. Leur réalisation repose sur des procédures et des protocoles stricts et rigoureux [10, 11] en partant du projet esthétique, jusqu’au contrôle postopératoire. Cet article a pour objet d’en décrire les différentes étapes clés au travers d’un cas clinique.
Projet esthétique
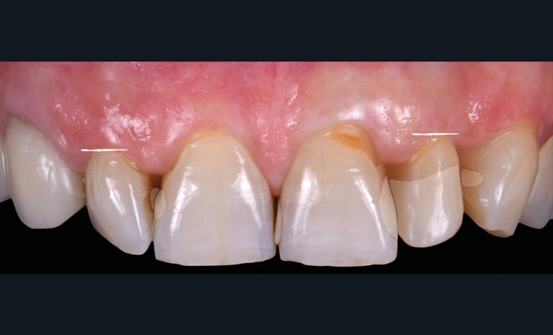
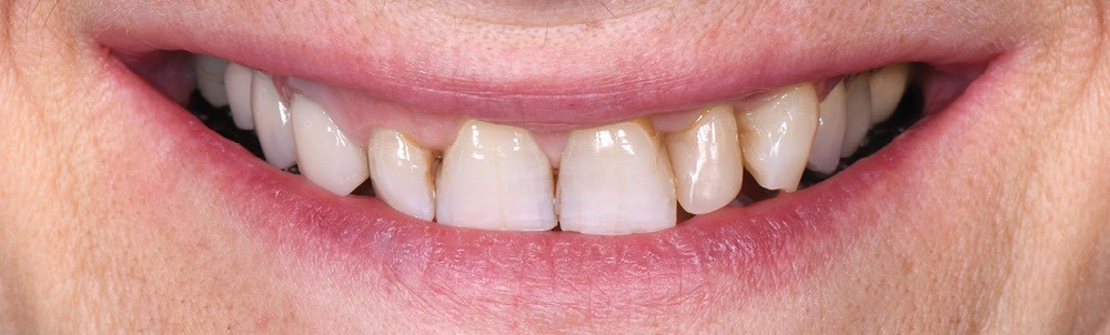
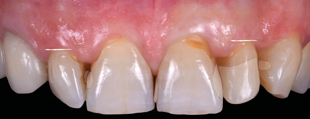
La prise en charge des patients s’appuie sur une analyse esthétique issue d’un bilan photographique réalisé de manière systématique. Dans le cas clinique présenté, il s’agit d’une patiente de 62 ans qui n’est plus satisfaite de l’apparence générale de son sourire. Elle n’aime pas la forme de ses dents, considère également qu’elles ont un aspect usé et que son incisive latérale droite est trop petite. On remarque en effet au niveau du secteur antérieur maxillaire des usures cervicales, de nombreuses obturations en composite, et l’on note que le collet de 12 est plus coronaire que celui de 22 (fig. 1 à 4).
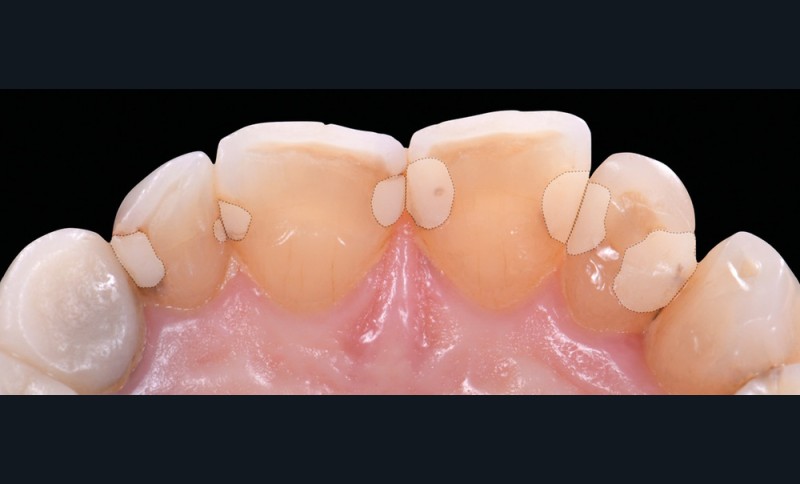
Pour nous aider à pousser l’analyse esthétique et à réaliser le projet prothétique, il est possible de recourir à des logiciels de Digital Smile Design (DSD) [12-16]. Pour notre patiente, c’est le logiciel Smile Cloud que nous utilisons. À l’issue du DSD, nous notons la nécessité en incisal de rallonger légèrement 22, de raccourcir 12 en mésial ainsi que 11 et 21 sur certaines zones, et enfin de réaliser une élongation coronaire sur 12 mais aussi sur 13 (fig. 5). Plusieurs choix se présentent ensuite pour réaliser le wax-up issu de ce projet virtuel. Soit il est également effectué virtuellement puis imprimé, soit le prothésiste se base sur…



