Les fractures radiculaires représentent 0,5 à 7 % des traumatismes en denture permanente. On les observe surtout chez les sujets entre 11 et 20 ans, avec une atteinte plus fréquente des incisives centrales maxillaires qui sont le plus souvent matures. Ces traumatismes des tissus durs se caractérisent par une rupture de la racine [1] et résultent le plus souvent d’un choc horizontal. Les processus de réparation sont complexes, le traumatisme intéressant l’os, le parodonte et le tissu pulpaire [2]. Dans des circonstances traumatiques identiques, les dents immatures, du fait de la laxité du desmodonte et de la moindre minéralisation osseuse, présentent plus d’accidents de type luxation ou expulsion. Leur classification, de même que leur sévérité, dépendent de la situation du trait de fracture sur la racine (tiers apical, tiers moyen ou tiers cervical) et du degré de déplacement du fragment coronaire [1]. Il est essentiel de poser un diagnostic correct, afin de mettre en place un traitement d’urgence adéquat, de décider ou non d’une contention et ainsi obtenir le meilleur pronostic.
Démarche diagnostique
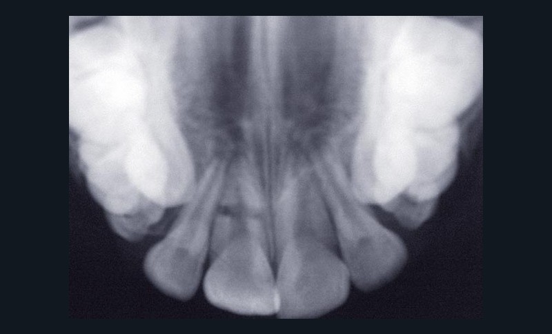
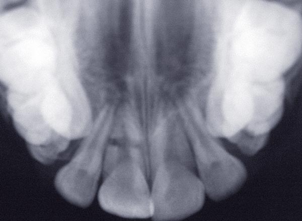
Selon les recommandations de l’InternationalAssociation of Dental Traumatology (IADT) [3], le diagnostic de fracture radiculaire horizontale se fait sur les signes cliniques et sur l’examen radiographique.
Signes cliniques
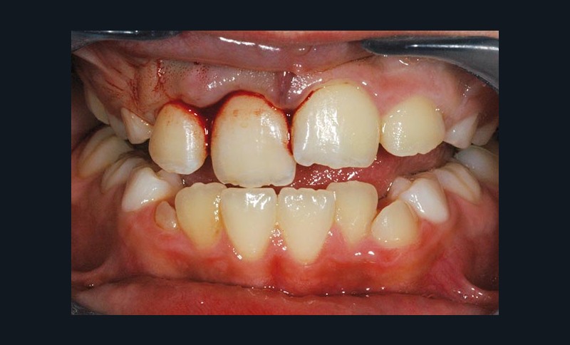
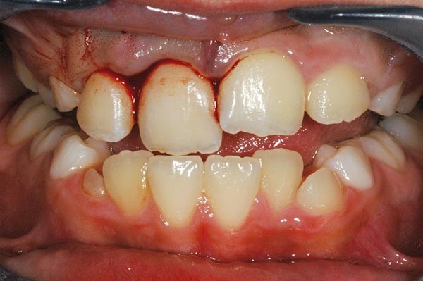
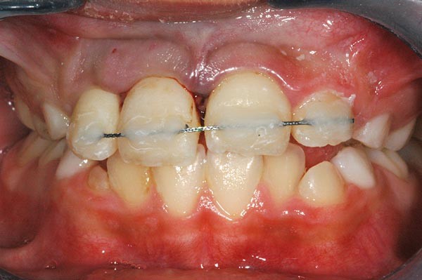
À l’examen clinique, le fragment coronaire peut être mobile, déplacé(fig. 1 et 2) et présenter une dyschromie transitoire de la couronne. Dès lors, un certain nombre de tests complémentaires s’impose.
La mobilité. Le degré de mobilité dépend de la situation du trait de fracture [4]. Plus la situation est coronaire, plus la mobilité est importante. Lorsque le trait de fracture est situé au tiers apical, la mobilité peut être physiologique et souvent, dans ce cas, la fracture radiculaire est mise en évidence lors de l’examen radiographique.
Le…

