Qu’est-ce qu’une frénectomie ?
La frénectomie est un acte phare en chirurgie muco-gingivale. Elle peut concerner l’enfant, l’adolescent, l’adulte, et plus rarement la personne âgée. Il s’agit d’une procédure chirurgicale visant à sectionner une bride de tissus mous reliant la lèvre supérieure/inférieure/la langue à la muqueuse et/ou la gencive en fonction du territoire concerné. Ces replis muqueux ont pour fonction princeps de limiter le mouvement d’une zone anatomique. La frénectomie correspond à l’ablation totale du frein, la frénotomie à une simple incision de ce dernier. Elle peut concerner la région du vestibule supérieur et la région labiale inférieure, ainsi que la région linguale.
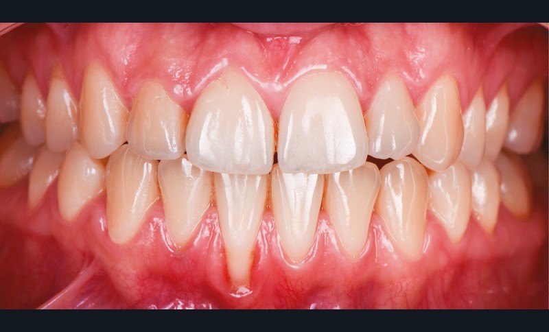
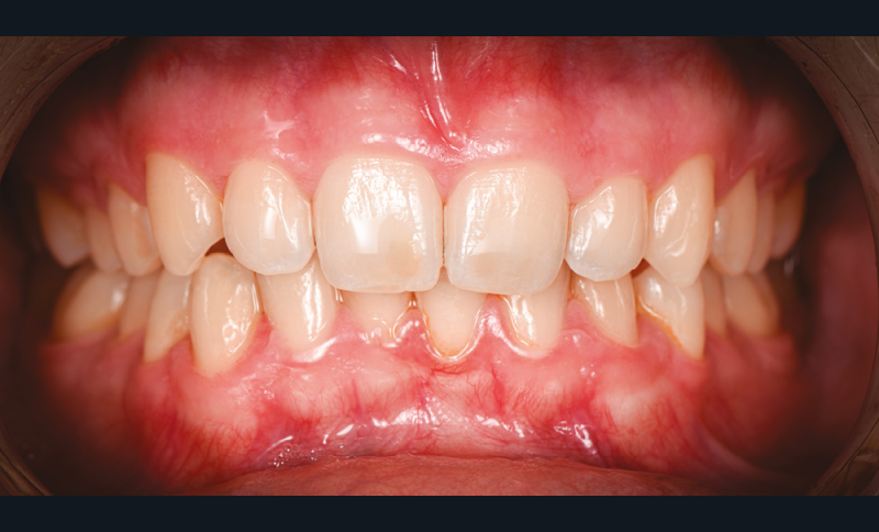
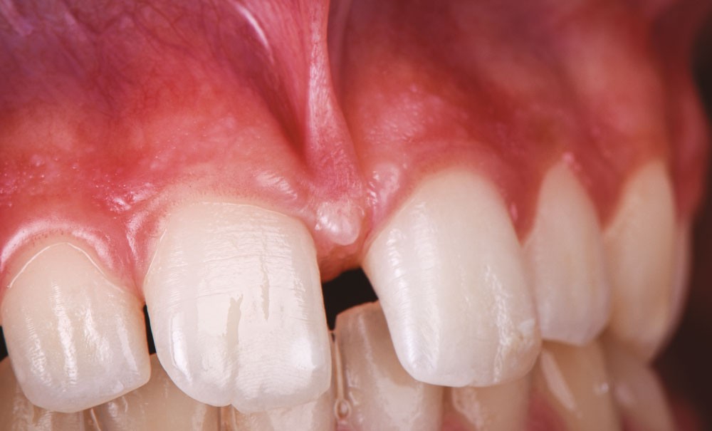
L’attache du frein labial supérieur peut se trouver à quatre niveaux (fig. 1 à 3) [1] :
- attache muqueuse ;
- attache gingivale ;
- attache papillaire ;
- attache interdentaire.
Particularité de la frénectomie linguale
Elle est réalisée lorsqu’il existe une ankyloglossie (anomalie congénitale avec présence d’un frein court).La langue ne peut jouer son rôle de « conformateur buccal » et participer à la morphogenèse du maxillaire supérieur (fig. 4 et 5).
Quelles sont les indications d’ablation du frein ?
Les indications sont multiples et peuvent être d’ordre :
Orthodontique :
- frein médian et diastème antéro-supérieur.
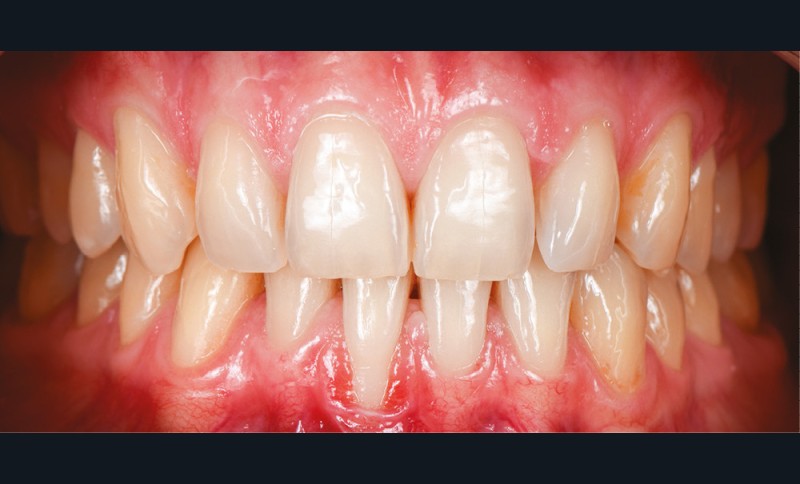
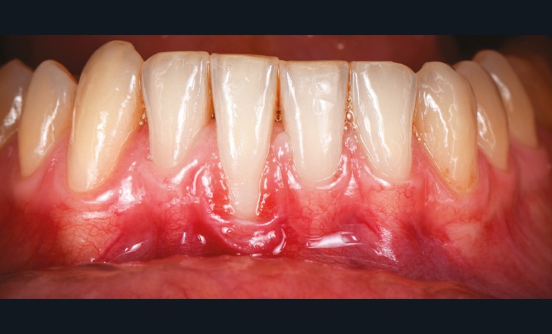
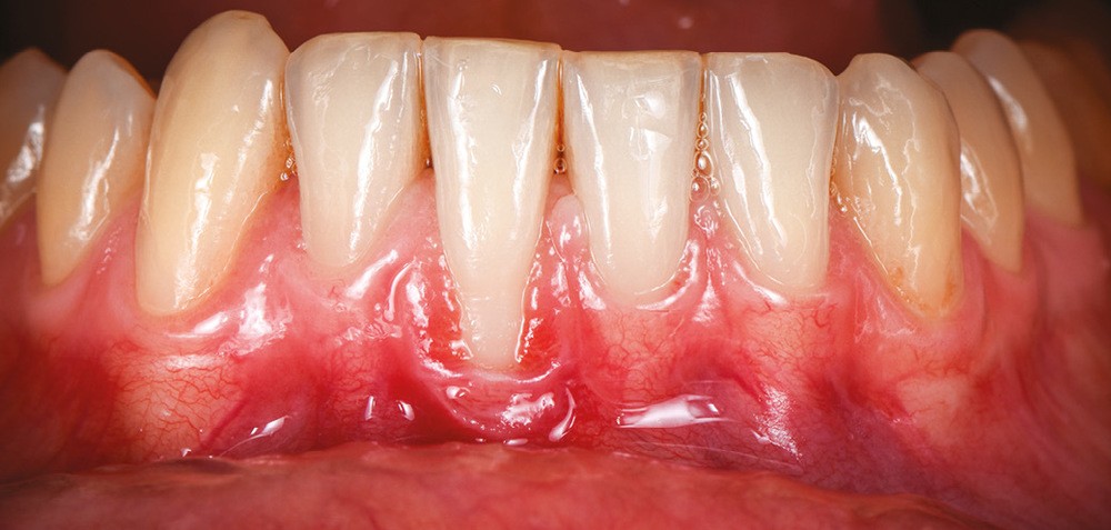
Parodontal :
- traction sur la gencive marginale et/ou entravant l’hygiène par ouverture du sillon gingivo-dentaire ;
- frein inesthétique ;
- frein associé à une pathologie parodontale (fig. 6a et b).
Il est important de souligner que le frein est un facteur prédisposant aux récessions gingivales mais n’en est pas la cause même.
Prothétique :
- prothèse amovible (chirurgie préprothétique dans le cadre de réhabilitation par prothèse adjointe. La…






