Les hypominéralisations molaires incisives (MIH) – Partie 2 : Identifier les aspects cliniques et les diagnostiquer

  • Par
  • Publié le . Paru dans Profession Assistant(e) Dentaire n°1 - 15 janvier 2024 (page 32-36)
Information dentaire
Ce second volet fait suite à l’article « Les hypominéralisations molaires incisives (MIH) : mieux les connaître » (PAD de mai-juin-juillet 2023). Nous allons y aborder les conditions nécessaires à la réalisation du diagnostic, ainsi que les symptômes rencontrés dans ces anomalies de structure relativement fréquentes, touchant près d’un enfant sur sept dans le monde, voire un enfant sur cinq d’après l’unique publication internationale réalisée sur une population française [1]. La problématique actuelle est que cette anomalie n’est pas suffisamment bien identifiée par les omnipraticiens, car sa description précise est relativement récente.

Introduction

Pour mieux comprendre le caractère essentiel du diagnostic précoce, il est important de détailler et comprendre les différents aspects cliniques, symptômes rencontrés et risques associés. Les assistant(e)s dentaires ont un rôle crucial à jouer pour apporter les informations nécessaires aux parents et patients, et pour que la prise en charge clinique de ces dents se fasse dans un environnement bucco-dentaire optimal.

Comment et à quel moment réalise-t-on le diagnostic ?

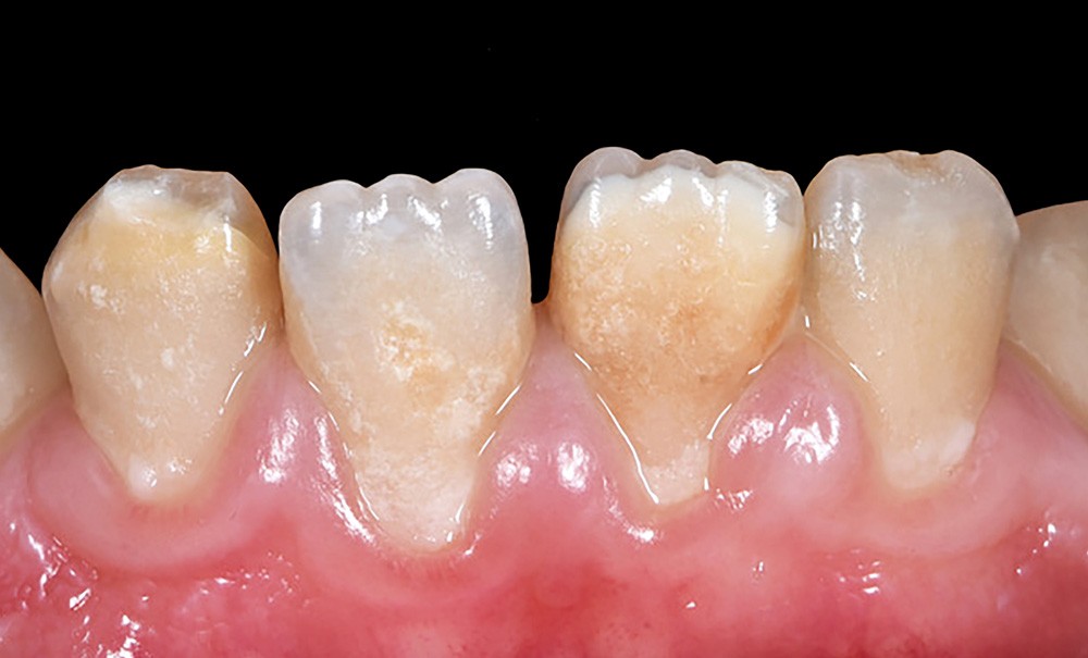
Le diagnostic des MIH se fait lors de l’examen clinique endo-buccal sur dents nettoyées et humides [2]. Il suffit d’une seule opacité amélaire délimitée de plus d’un millimètre sur la couronne d’au moins une première molaire permanente pour poser le diagnostic. Ces taches se localisent préférentiellement au niveau de la moitié occlusale de la couronne. Une, mais aussi deux, trois ou quatre premières molaires permanentes peuvent être atteintes.

Lors de la visite, le motif de consultation concerne fréquemment des opacités inesthétiques sur les dents antérieures (incisives permanentes, pointes des canines permanentes). Cependant, le diagnostic ne doit jamais être réalisé à partir de l’observation des dents antérieures, même si celles-ci peuvent présenter des taches asymétriques caractéristiques. En effet, d’autres étiologies ou d’autres facteurs peuvent être responsables de ce type de taches. Or, il s’avère essentiel de réaliser un diagnostic correct et d’identifier l’origine des défauts, de manière à opter pour les thérapeutiques les plus adaptées. Selon le diagnostic, la localisation de la zone amélaire atteinte peut varier, avec une épaisseur d’émail sain qui la recouvre pouvant être absente à relativement importante. En général, la priorité de traitement doit se concentrer sur les premières molaires permanentes atteintes (sauf rares cas particuliers), car les défauts sur les dents antérieures sont souvent…

Cet article est réservé aux abonnés.
Pour lire la suite :

Vous êtes abonné.e ? Connectez-vous
Mot de passe
oublié ?

Vous pouvez également :

Acheter l'article En version numérique
Acheter le numéro À l'unité

Thèmes abordés

Sur le même sujet

Esthétique

Article réservé à nos abonnés Un mois sans alcool pour repenser sa consommation : le Dry January revient

Le Défi de janvier (Dry January) revient e n 2026 pour sa septième édition. Cette campagne citoyenne semble s’imposer comme...
Esthétique

Article réservé à nos abonnés Rencontre avec Pierre Keller : gestion des tissus mous péri-implantaires

1er cas lauréatResponsable de séance : Othman MikouIntervenant : Pierre Keller  Extraction–implantation immédiate (EII) : volumes osseux et gingivaux suffisants...