MIH et HSPM : 7 notes pour jouer juste toute la gamme et répondre aux questions des patients
1. Diagnostic : les reconnaître à coup sûr !
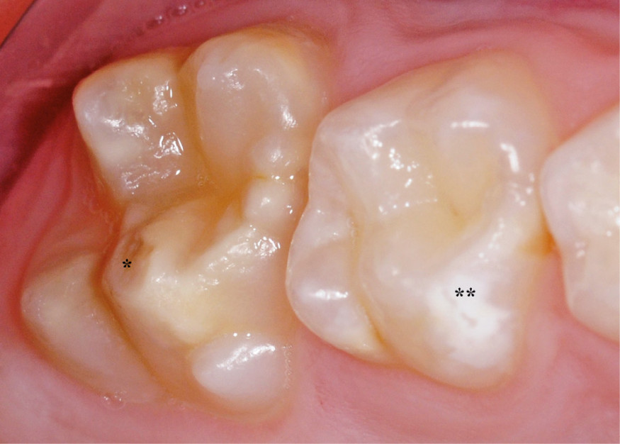
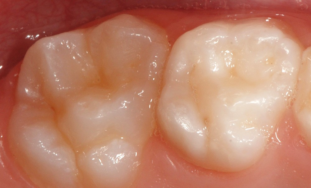
Ce type de défauts sur les premières molaires permanentes a déjà été décrit dans le passé sous d’autres termes tels que « hypominéralisations idiopathiques de l’émail des premières molaires » [5], « cheese molars » [6], « hypominéralisations non liées au fluor » [7]… Si les dénominations différaient, la description clinique du phénomène restait similaire. Les défauts varient entre des opacités délimitées de couleur blanche, beige ou jaune brun jusqu’à des défauts plus sévères avec des fractures de l’émail sévèrement hypominéralisé (fig. 1).
Cette anomalie n’est pas récente puisqu’elle existe au moins depuis le Moyen Âge, mais sa définition n’a été établie qu’en 2001 [8]. Cette année-là, le terme « Molar Incisor Hypomineralisation » (MIH) est proposé par la communauté scientifique pour décrire des opacités délimitées de l’émail affectant au moins une première molaire permanente [1]. Un groupe de travail se réunit en 2003 afin de définir des critères de diagnostic précis des MIH [9]. Ces dernières se caractérisent par la présence d’une opacité délimitée correspondant à un défaut amélaire impliquant une modification de degré variable de la translucidité de ce tissu.
L’émail défectueux est d’épaisseur normale avec une surface lisse pouvant être de couleur blanche, beige ou jaune brun [10]. Une fracture postéruptive de l’émail, correspondant à une perte localisée de la surface de l’émail initialement formé, peut se produire après l’éruption de la dent.

Le caractère asymétrique de ce…