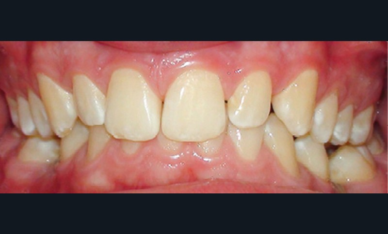
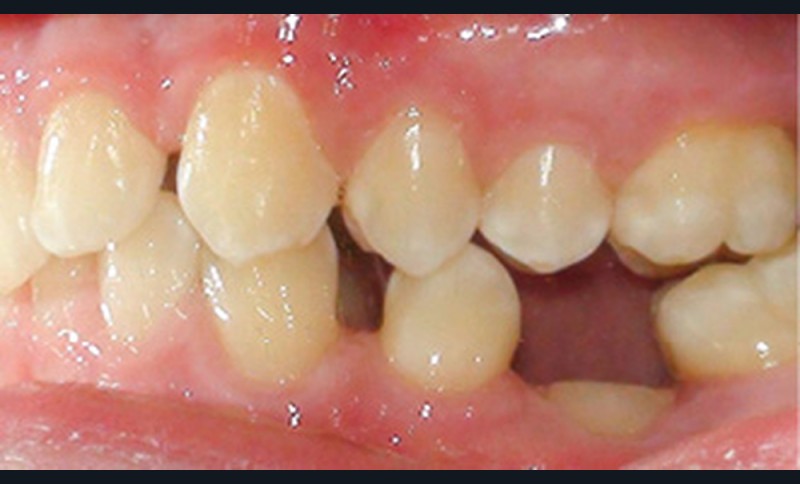
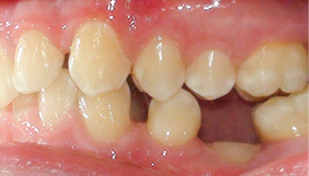
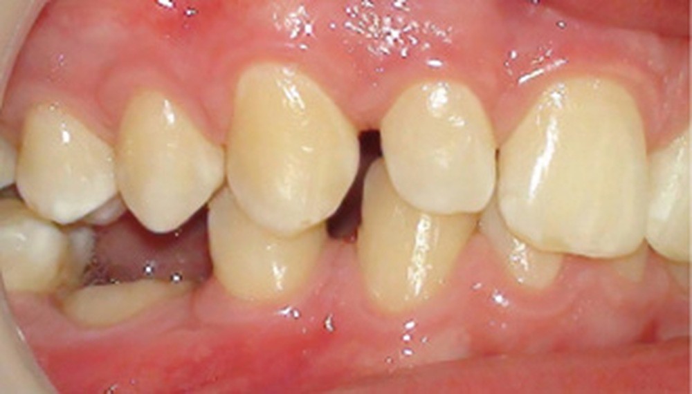
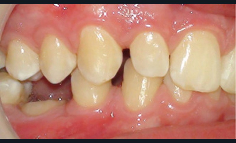
Quand un traitement orthodontique est indiqué dans le cadre de la persistance d’une molaire temporaire, l’orthodontiste doit toujours choisir entre deux solutions : maintenir ou fermer l’espace d’agénésie. Malheureusement, il est parfois confronté à une indication de maintien de l’espace d’agénésie, alors que la dent temporaire ne peut pas être maintenue jusqu’à la fin de la croissance (pour cause de caries, de réinclusion sévère, de perte, etc.) (fig. 1). La pose d’un mainteneur d’espace en fin de traitement est nécessaire, mais rien ne maintient l’os jusqu’à la fin de la croissance et la pose implantaire ! Les patients se retrouvent alors obligés de recourir à des préparations osseuses préimplantaires parfois lourdes. Le but de cet article est de proposer des solutions de maintien du volume osseux après avulsion de la deuxième molaire temporaire.
Causes des infraclusions des molaires temporaires
L’infraclusion de la molaire temporaire, et dans son cas extrême sa réinclusion, est le résultat d’une ankylose de la dent. Cette dent ne pourra plus suivre la croissance de l’os maxillaire ou mandibulaire et ainsi le plan d’occlusion. La molaire temporaire ne présentant pas de germe définitif sous-jacent, elle s’ankylose fréquemment à un stade plus ou moins avancé de l’individu et de la croissance des maxillaires.
D’un point de vue histologique, dans l’ankylose dento-alvéolaire, il existe une continuité de tissus durs (os-cément) avec rupture du ligament alvéolo-dentaire, précédée par une disparition locale des éléments épithéliaux de Malassez, isolants de la gaine péri-dentaire [1]. Il en résulte une résorption de la racine dont la vitesse correspond à la vitesse du remodelage osseux. Ce processus est défini comme « résorption de remplacement », l’os prenant la place du desmodonte et de la racine dans la zone ankylosée [2]. Lorsque…
-tt-width-800-height-484-fill-1-crop-0-bgcolor-12181f-isLogoProxy-0-post_id-129573.jpg)
-tt-width-800-height-484-fill-1-crop-0-bgcolor-12181f-isLogoProxy-0-post_id-129573.jpg)
-tt-width-800-height-484-fill-1-crop-0-bgcolor-12181f-isLogoProxy-0-post_id-129573.jpg)
-tt-width-800-height-484-fill-1-crop-0-bgcolor-12181f-isLogoProxy-0-post_id-129573.jpg)