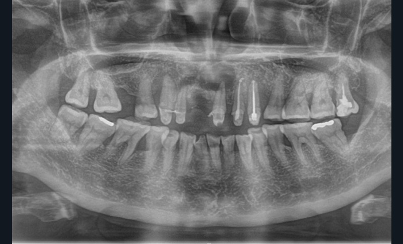
Qu’est-ce qu’un kyste radiculo-dentaire ?
Le kyste radiculo-dentaire (fig. 1 et 2), également retrouvé sous le terme de kyste apico-dentaire, ou radiculaire, est le plus fréquent des kystes des maxillaires [1]. Il s’intègre dans la grande famille des tumeurs bénignes osseuses odontogéniques et maxillo-faciales (classification internationale de l’OMS, 2017). Il se développe aux dépens d’un granulome péri-apical secondaire à une nécrose dentaire. Le mécanisme physiopathologique à l’origine de la formation kystique est la prolifération de débris épithéliaux (débris de Malassez) présents dans le desmodonte sous l’action de stimuli inflammatoires. Un kyste est constitué d’une membrane épithéliale et d’une cavité plus ou moins liquidienne, voire solide dans certains cas. On y retrouve des cristaux de cholestérol, des calcifications dystrophiques d’exsudat inflammatoire, des macrophages, des plasmocytes, des cellules ciliées, muqueuses, géantes multinuclées et, dans certains cas, des globules rouges.
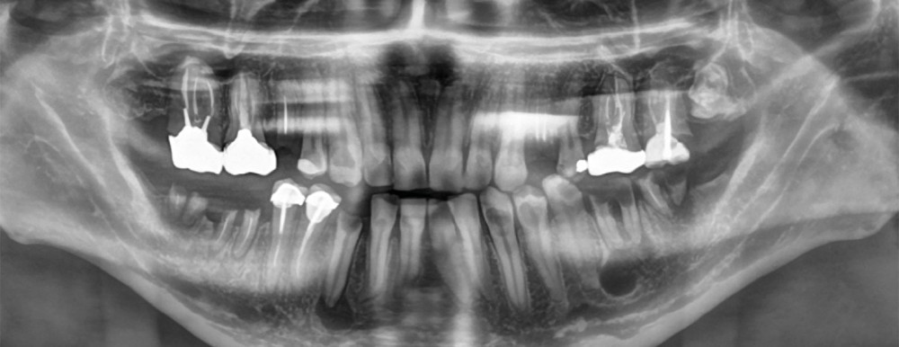
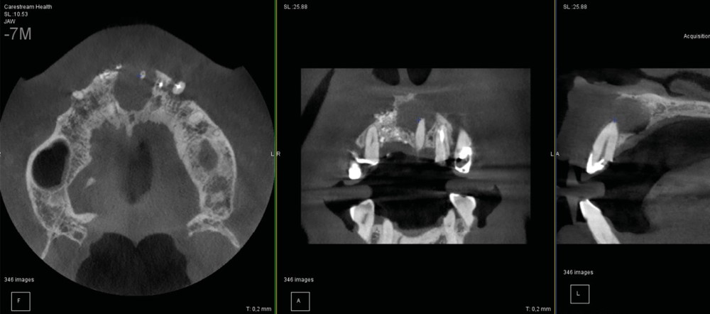
Quelle est la différence entre un granulome et un kyste ?
On distingue classiquement le granulome (- 1 cm) du kyste (+ 1 cm). Ce dernier possède des parois propres et des contours réguliers bien délimités. Le développement kystique s’accompagne volontiers d’un refoulement des structures avoisinantes, les corticales osseuses apparaissent soufflées, dans certains cas, amincies, pouvant venir empiéter sur des éléments anatomiques de la sphère maxillo-mandibulaire (sinus, canal mandibulaire, fosses nasales, foramen mentonnier…) (fig. 3).
L’exérèse d’un kyste nécessite-t-elle toujours l’avulsion de la dent causale ?
Dans la majorité des cas, l’énucléation kystique s’accompagne de l’extraction de la dent causale. Toutefois, en présence de dent conservable sur le plan prothétique, une chirurgie endodontique (obturation a retro…


