Restauration adhésive
Le traitement restaurateur des lésions cervicales non carieuses (LCNC) doit être envisagé lorsqu’au moins l’une de ces conditions est observée :
– présence de lésions carieuses cavitaires actives associées aux LCNC ;
– les marges des lésions cervicales ou toutes les marges des lésions sont situées sous la gencive, nuisant au contrôle de la plaque dentaire et augmentant ainsi le risque carieux et le risque de maladie parodontale ;
– il existe une perte importante de la structure dentaire, compromettant l’intégrité de la dent, ou une atteinte à proximité de la pulpe ou encore une pulpe exposée ;
– une hypersensibilité dentinaire persistante est observée, qu’aucune option thérapeutique non invasive n’a pu soulager ;
– la dent sert de pilier pour une prothèse amovible ;
– il existe une demande esthétique de la part du patient [24, 29].
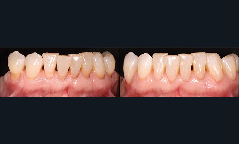
Dans les cas où la restauration est nécessaire, la procédure de restauration des LCNC doit être la moins invasive possible. Parmi toutes les techniques disponibles, l’association d’un système adhésif et d’une résine composite reste la procédure de choix pour les praticiens qui apprécient les qualités esthétiques et la bonne performance clinique d’une telle procédure (fig. 1). Bien que l’utilisation des ciments verres ionomères et des ciments verres ionomères modifiés par adjonction de résine (CVIMAR) ainsi que le recours à la technique de stratification de résine composite aient été préconisés dans le cadre des restaurations de LCNC, ces matériaux sont moins souvent utilisés [14, 16].
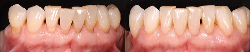
Les restaurations adhésives des LCNC se comportent très bien à long terme [16] (fig. 2). Plusieurs paramètres déterminent le comportement clinique de ces restaurations. Selon une revue systématique visant à évaluer l’efficacité clinique des systèmes adhésifs actuels dans le traitement des LCNC, le choix du système adhésif…
