Une lésion endo-parodontale est une lésion intéressant le parodonte et/ou l’endodonte, d’origine pulpaire et/ou parodontale (1). Cette définition montre la grande diversité que peuvent revêtir ces lésions et la difficulté diagnostique qui en résulte. Elles seront soit symptomatiques, ce qui motivera le patient à venir consulter, soit non symptomatiques et leur découverte sera alors fortuite. Ces lésions concerneront plusieurs tissus en fonction de leur sévérité et de leur ancienneté :
la pulpe ;
le cément ;
la dentine et ses canalicules ;
le desmodonte ;
l’os alvéolaire ;
la gencive ;
la muqueuse buccale.
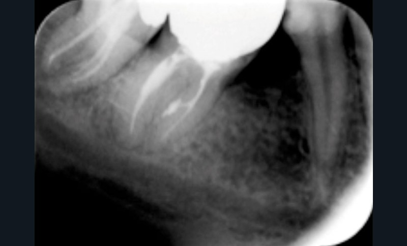
Anatomiquement parlant, les voies de communications entre l’endodonte et le parodonte seront constituées par des canaux radiculaires, qu’ils soient principaux, latéraux, secondaires ou accessoires. Un canal latéral est une ramification du canal principal située dans la région médiane ou coronaire le reliant au ligament alvéolo-dentaire, alors que le canal secondaire est situé dans la région apicale. Le canal accessoire est une ramification du canal secondaire (fig. 1).
Les fêlures et fractures ou les perforations dentaires sont d’autres voies possibles de contamination. Le premier tissu parodontal atteint au contact de la racine sera le desmodonte. La diffusion de l’infection suivra la voie du sulcus gingival ou celle osseuse alvéolaire.
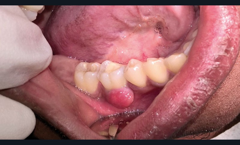
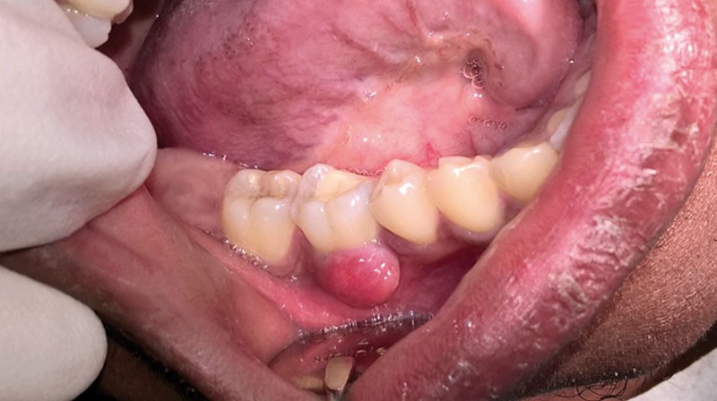
Lorsqu’un patient se présente en consultation avec une lésion au contact d’une dent (fig. 2), le praticien doit suivre une démarche diagnostique afin de recueillir le maximum d’informations sur la situation clinique :
anamnèse et historique bucco-dentaire du patient ;
évaluation des symptômes : douleur, gêne fonctionnelle, doléance esthétique ;
état général;
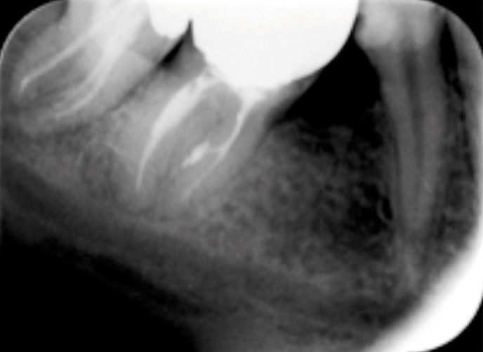
sondage parodontal à l’aide d’une sonde graduée (fig. 3) de tout le quadrant d’arcade;
[gallery…

