Rappels d’esthétique
La définition colorimétrique d’une dent est un prérequis indispensable à sa restauration avec un matériau esthétique (Tableau 1).
![]()
Cette prise de teinte doit être réalisée à la lumière du jour (fig. 1) ou bien avec l’un des appareils de caractérisation numérique (fig. 2 et 3) même si ceux-ci ont un recul insuffisant pour juger de leur fiabilité dans toutes les conditions cliniques.
De façon courante, on définit la lumière de façon tridimensionnelle :
– la luminosité qui joue sur le clair ou le foncé de la restauration,
– la saturation qui joue sur la « quantité » de couleur, donc sur son caractère vif ou terne,
– la teinte qui correspond à la couleur visible de base.
C’est l’ensemble de ces 3 paramètres qui nous permettront de réaliser des restaurations parfaitement intégrées d’un point de vue esthétique. Il convient de remarquer que le paramètre le plus important des trois est la luminosité. Ainsi, une erreur de teinte ou de saturation sera plus facilement pardonnée qu’une erreur de luminosité.
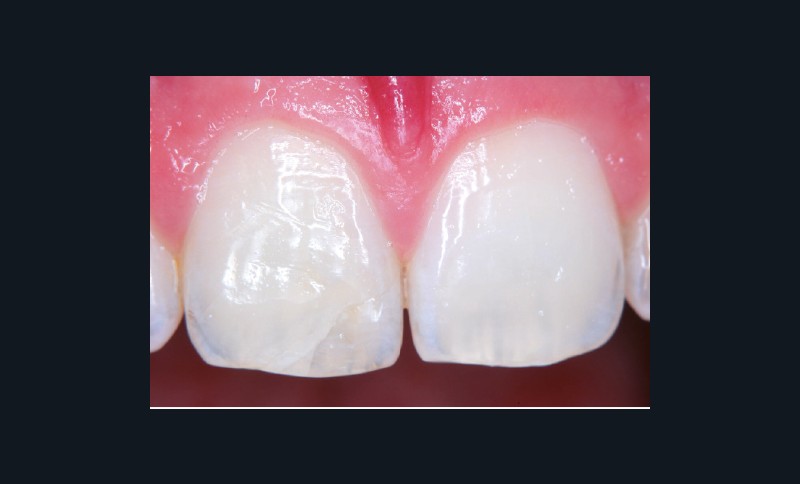
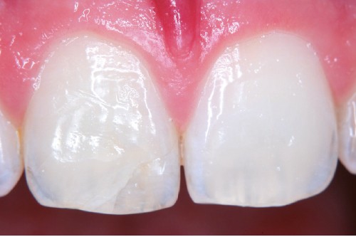
Dans le cadre de la communication patient-praticien et praticien-prothésiste, la macrophotographie s’avère d’une aide importante afin de mieux caractériser chaque tiers coronaire (fig. 4).
Les cabinets disposant d’une caméra numérique peuvent utiliser sa fonction image malgré une moins bonne définition.
Les différents matériaux disponibles (Tableau 2)
![]()
Le composite
Le composite est très probablement le matériau esthétique le plus utilisé de nos cabinets dentaires. Développé dans les années 60, et perfectionné au fil des générations, il dispose d’un excellent recul clinique et peut être utilisé directement au fauteuil ou indirectement au laboratoire. Les dernières générations sont…



