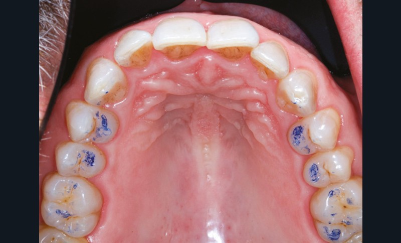
Bien positionner la tête et le corps du patient
Un patient allongé avec la tête en hyperextension n’aura probablement pas les mêmes contacts occlusaux qu’en position assise, tête droite, jambes décroisées. Il est donc préférable de relever le patient avant d’effectuer un contrôle visuel de l’occlusion (fig. 1).
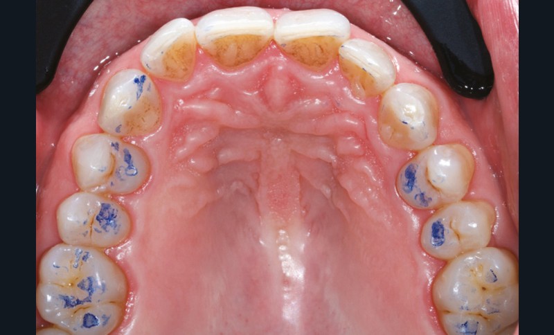
Utiliser deux pinces porte-papier de type Miller en même temps
Cela permet de vérifier les contacts occlusaux sur toute l’arcade dentaire. Les papiers de 40, 100 et 200 µm existent aussi en forme de fer à cheval, permettant un positionnement sur toute l’arcade avec un seul papier (fig. 2).
Adopter une méthode en 2 phases
Pour visualiser correctement les contacts occlusaux en OIM, Bausch recommande l’utilisation de deux types de papier. D’abord le papier de 200 µm, puis celui de 8 µm ou de 12 µm, d’une couleur différente. Les points de contact apparaîtraient plus visibles grâce à l’agent adhésif Transculase® déposé avec le papier de 200 µm (scannez le QR Code disponible en fin d’article pour accéder à une vidéo de démonstration).
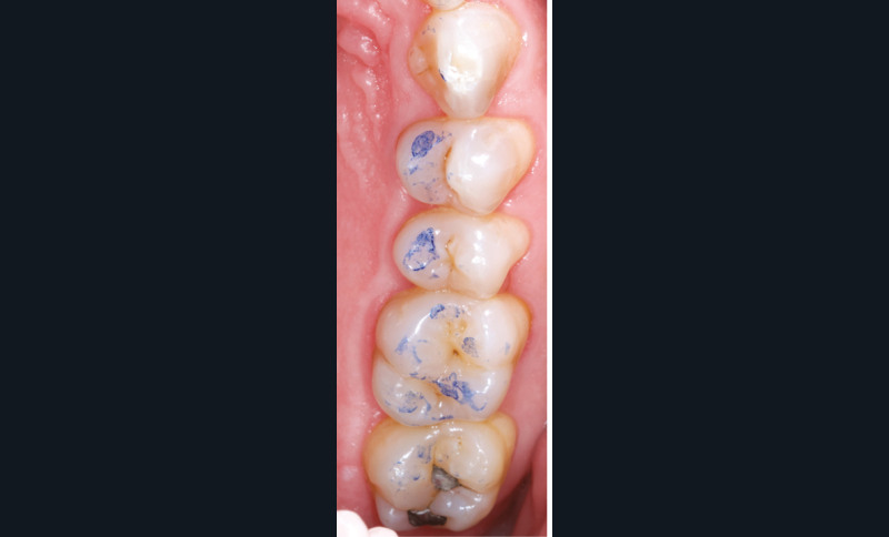
Utiliser de la vaseline
Lorsqu’il est difficile de sécher correctement les surfaces occlusales, une autre technique décrite consiste à vaseliner le papier à articuler pour mieux marquer les surfaces de contact [1] (fig. 3).
Finaliser l’ajustage occlusal à 4 mains
Il est souvent difficile de bien sécher les dents puis de prendre la pince porte-papier et faire mordre le patient dessus avant que la salive ne contamine les surfaces occlusales. L’aide d’un(e) assistant(e) est alors très appréciable et permet d’aller plus vite lors de cette séquence. Cela limite les faux négatifs (zone de contact non marquée par le papier).
Entailler le papier
Certains auteurs recommandent une utilisation différente du papier d’occlusion de 40 µm en réalisant des…






