Les restaurations partielles indirectes antérieures en céramique

  • Par
  • Publié le . Paru dans Réalités Cliniques n°2 - 15 juin 2021 (page 148-156)
Information dentaire
Traduit de l’anglais par Mathilde Jalladaud.
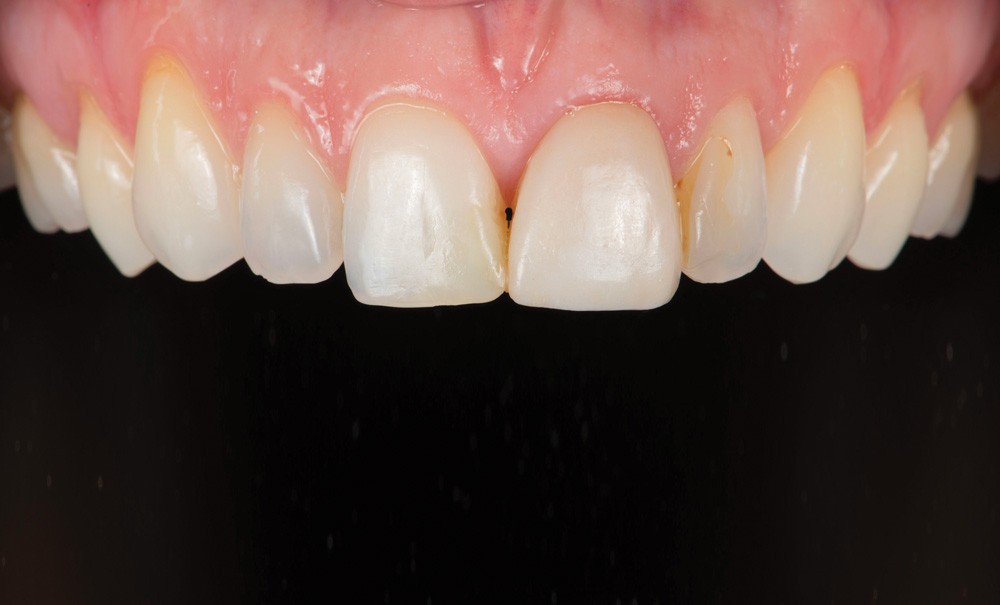
La restauration partielle antérieure en céramique est un traitement prédictible et durable qui rétablit non seulement l’aspect esthétique de la dent mais également sa fonction et sa solidité. Bio-émulation, dentisterie minimalement invasive et techniques adhésives sont les mots-clés d’une restauration réussie. Les restaurations partielles sont indiquées uniquement si les tissus durs résiduels sont en quantité suffisante pour obtenir une adhésion efficace. Des restaurations partielles en céramique même en présence d’une exposition dentinaire, d’un traitement endodontique ou de restaurations composites préexistantes ont montré de bons taux de survie, alors que dans ces situations, des couronnes périphériques sont encore souvent réalisées.

La restauration partielle antérieure en céramique est un traitement prédictible et durable qui rétablit non seulement l’aspect esthétique de la dent mais également sa fonction et sa solidité. Bio-émulation, dentisterie minimalement invasive et techniques adhésives sont les mots-clés d’une restauration réussie. Les restaurations partielles sont indiquées uniquement si les tissus durs résiduels sont en quantité suffisante pour obtenir une adhésion efficace. Des restaurations partielles en céramique même en présence d’une exposition dentinaire, d’un traitement endodontique ou de restaurations composites préexistantes ont montré de bons taux de survie, alors que dans ces situations, des couronnes périphériques sont encore souvent réalisées.

Aujourd’hui, l’utilisation de matériaux de restauration dentaire n’a plus seulement pour objectif de restaurer les tissus dentaires absents pour cause de caries ou de traumatismes, mais également de corriger la forme et la couleur des dents pour faciliter les interactions à des fins sociales [1,2]. Dans certaines régions du monde, il est courant d’effectuer des soins dentaires dans le seul objectif d’améliorer l’apparence de la dentition. Quelle qu’en soit l’indication, les stratégies prothétiques sont toujours guidées par le principe fondamental de préservation tissulaire. Cet article présente des cas cliniques d’incisives traitées par des restaurations adhésives en céramique. Le protocole de collage d’une facette en céramique stratifiée sera détaillé étape par étape en expliquant les spécificités opératoires et la conduite à tenir en présence de plages dentinaires exposées.

Les stratégies prothétiques des plus invasives aux plus conservatrices

En dentisterie reconstructrice, les tissus dentaires absents peuvent être restaurés par un certain nombre d’options de traitements.

Les couronnes périphériques

Les couronnes périphériques ont été…

Cet article est réservé aux abonnés.
Pour lire la suite :

Vous êtes abonné.e ? Connectez-vous
Mot de passe
oublié ?

Vous pouvez également :

Acheter l'article En version numérique
Acheter le numéro À l'unité

Thèmes abordés

Sur le même sujet

Odontologie restauratrice

Article réservé à nos abonnés Défis en traumatologie dentaire : gestion des fractures corono-radiculaires

Responsable scientifique : Emmanuelle Esclassan Noirrit Intervenant : Georgios Tsilingaridis Les fractures corono-radiculaires impliquent à la fois la couronne et la racine...
Odontologie restauratrice

Article réservé à nos abonnés Parlons ensemble d’adhésion

Responsable scientifique : Alain Vanheusden Intervenant : Frédéric Raux Photo et schéma : © Frédéric Raux Le grand principe commun de l’adhésion...
Odontologie restauratrice

Article réservé à nos abonnés Les restaurations partielles en céramique

Responsable scientifique : Michel Bartala Intervenant : Olivier Etienne Les différentes générations de colles La classe des colles avec potentiel adhésif rassemble...