Les résorptions radiculaires externes post-traumatiques

  • Par
  • Publié le . Paru dans L'Information Dentaire n°11 - 18 mars 2020 (page 18-22)

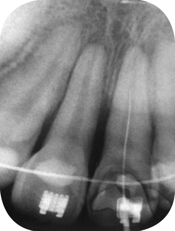
1. Une semaine après la réimplantation. Désinfection canalaire et obturation au Ca(OH)2 de la 21.

Information dentaire

Les résorptions radiculaires post-traumatiques sont presque inévitables lors d´expulsion. En l´absence de contre-indication, il faut alors tenter la réimplantation, en suivant un protocole précis.

Les résorptions radiculaires externes post-traumatiques correspondent à une perte quantitative de cément et de dentine radiculaire plus ou moins étendue. Il en existe quatre types principaux :

– les résorptions de surface, correspondant à des zones radio-claires limitées au niveau de la surface radiculaire et dont la guérison est spontanée et le pronostic favorable ;

– les résorptions inflammatoires, résultant de l’association d’une infection endodontique au traumatisme. Les produits de dégradation pulpaire, les bactéries, et surtout leurs toxines (lipopolysaccharides), pénètrent dans les tubuli vers la surface radiculaire et provoquent une réponse inflammatoire qui aggrave le processus de résorption ;

– les résorptions de remplacement, résultant de la stimulation du ligament par un traumatisme. Celui-ci réagit en mobilisant les cellules clastiques qui détruisent la dent. En l’absence d’infection surajoutée, les pertes de tissu dentaire résorbé sont progressivement remplacées par un tissu osseux néoformé ;

– l’ankylose, du grec agkulôsis, « immobile », souvent utilisé à tort comme synonyme de résorption de remplacement, est un mécanisme dynamique se caractérisant par une perte de mobilité normale. À son issue, il y a une vraie continuité entre l’os et la dent.

Rapport de cas

Un patient, âgé de 13 ans, se présente au service des urgences du centre de consultations et de traitements dentaires (CCTD) Ibn Rochd de Casablanca, à la suite d’un traumatisme ayant entraîné la subluxation de la 12 et de la 11 et l’expulsion de la 21. Celle-ci a été conservée dans de l’eau minérale pendant six heures.

Prise en charge

Traitement d’urgence

Les étapes suivantes sont scrupuleusement respectées :

  • prise d’une radiographie rétro-alvéolaire pour valider le bon état de l’alvéole de la 21 ;
  • nettoyage de la 21 avec une compresse imbibée de sérum physiologique afin d’éliminer le ligament…

Cet article est réservé aux abonnés.
Pour lire la suite :

Vous êtes abonné.e ? Connectez-vous
Mot de passe
oublié ?

Vous pouvez également :

Acheter l'article En version numérique
Acheter le numéro À l'unité

Thèmes abordés

Sur le même sujet

Odontologie restauratrice

Article réservé à nos abonnés Défis en traumatologie dentaire : gestion des fractures corono-radiculaires

Responsable scientifique : Emmanuelle Esclassan Noirrit Intervenant : Georgios Tsilingaridis Les fractures corono-radiculaires impliquent à la fois la couronne et la racine...
Odontologie restauratrice

Article réservé à nos abonnés Parlons ensemble d’adhésion

Responsable scientifique : Alain Vanheusden Intervenant : Frédéric Raux Photo et schéma : © Frédéric Raux Le grand principe commun de l’adhésion...
Odontologie restauratrice

Article réservé à nos abonnés Les restaurations partielles en céramique

Responsable scientifique : Michel Bartala Intervenant : Olivier Etienne Les différentes générations de colles La classe des colles avec potentiel adhésif rassemble...