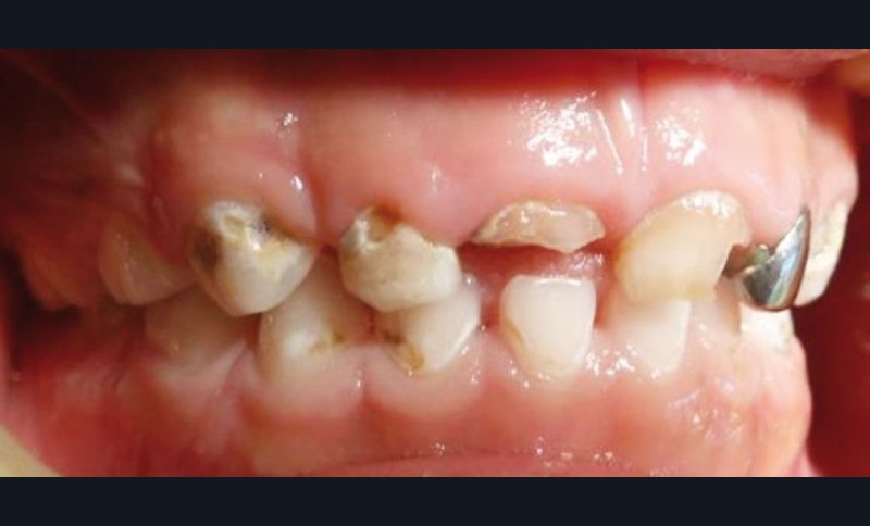
La perte d’une ou plusieurs dents temporaires avant leur date d’exfoliation physiologique est fréquemment observée chez l’enfant. Ces situations cliniques sont principalement associées à la maladie carieuse et aux traumatismes alvéolo-dentaires, voire aux deux simultanément [1, 2] (fig. 1). Dès le plus jeune âge dans le cas de la carie de la petite enfance, des lésions carieuses sévères et multiples peuvent nécessiter l’avulsion d’une ou plusieurs dents temporaires antérieures et/ou postérieures affectées par des complications pulpo-parodontales ou qui ne peuvent être restaurées [3]. Suite à un traumatisme en denture temporaire, le remplacement de la ou des dents antérieures est fréquent. En complément, les agénésies dentaires et certaines anomalies dentaires héréditaires peuvent nécessiter une réhabilitation prothétique transitoire [1, 4].
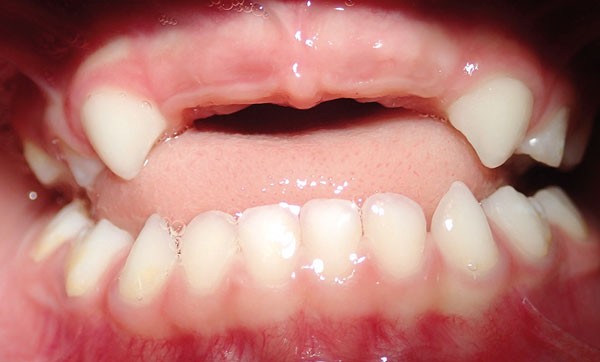
Ces pertes dentaires précoces peuvent être à l’origine d’une malocclusion ou responsable de son aggravation. Ces malocclusions concernent principalement deux sens de l’espace. Dans le sens vertical, il peut y avoir égression de la dent antagoniste au site d’avulsion, voire une diminution de la dimension verticale en fonction du nombre de dents atteintes (fig. 2).
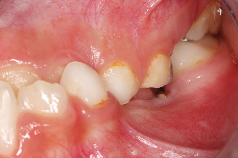
Dans le sens sagittal, les pertes dentaires précoces peuvent modifier la longueur d’arcade [5], avec pour conséquence un changement de la classe d’angle ; elles peuvent entraîner une déviation du chemin d’éruption voire une rétention de la dent successionnelle de la dent temporaire extraite (fig. 3).
Les pertes précoces, surtout quand elles concernent plusieurs dents temporaires, peuvent entraîner une modification de la succion-déglutition par interposition linguale antérieure (fig. 4) et/ou postérieure avec des répercussions dans le sens transversal.
[gallery…


