Chaque catégorie de TCA a été multipliée par deux entre 2009 et 2021 chez les étudiants ayant fait l’objet de l’étude de Tavolacci et al. (fig. 1) [2].
Les troubles du comportement alimentaire ont pour élément commun une préoccupation pathologique pour le poids et la forme, et un désir de présenter une image corporelle mince.
L’anorexie
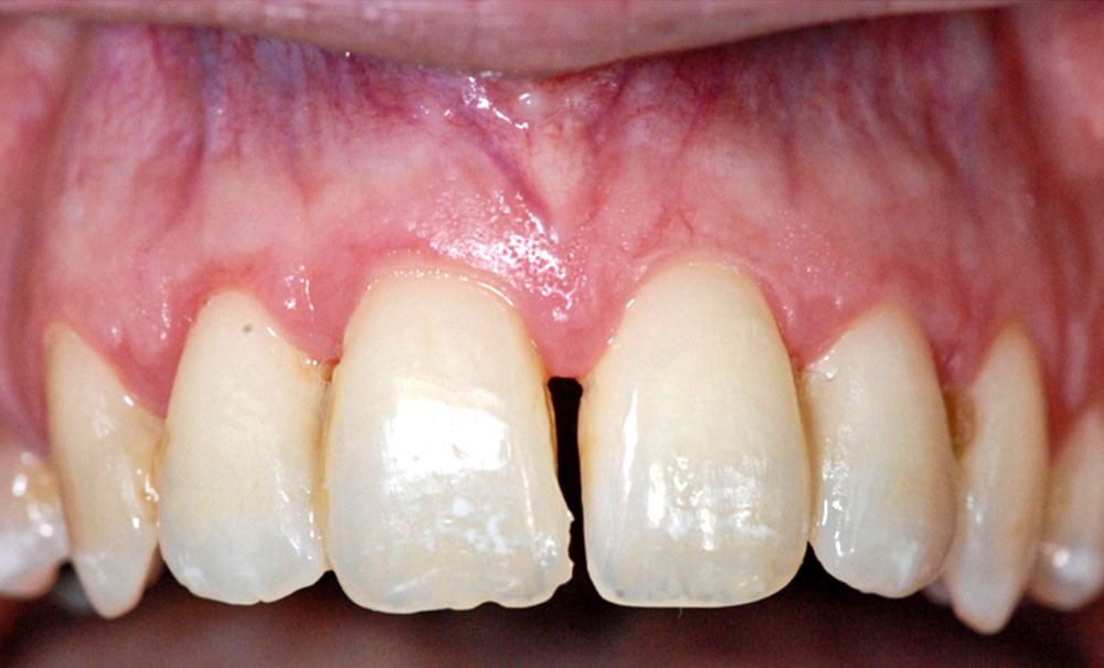
L’anorexie est un trouble psychopathologique ayant un retentissement somatique très sévère [3]. Elle consiste en une conduite active de restriction alimentaire en raison de la recherche acharnée de la minceur et de la peur de devenir gros. Deux types se distinguent : l’anorexie restrictive, où la restriction alimentaire est méthodique, résolue, poursuivie avec énergie, et l’anorexie boulimique, qui serait une évolution de la forme restrictive, où peuvent alterner des crises de boulimie suivies de vomissements ou de prise de purgatifs [4].
La boulimie
La boulimie comprend des épisodes de frénésie alimentaire, des pulsions irrépressibles avec une ingestion de quantités de nourriture supérieures à la normale, sans sensation de faim. Ceci est accompagné d’un sentiment de perte de contrôle et d’efforts pour contrôler son poids. Si la crise va améliorer l’humeur sur le moment, elle est cependant suivie d’une forte culpabilité. La fréquence des épisodes est d’au moins deux fois par semaine, ou de plus de trois fois par mois. Ils peuvent avoir pour conséquences des vomissements provoqués, ou la prise de laxatifs, dus à la peur morbide de devenir gros. On distingue deux types : purging et non purging (avec ou sans vomissements), ce dernier entraînant une forte prise de poids, voire une obésité.
Les impulsions alimentaires
On en distingue trois types : les crises de boulimie, épisodes de frénésie alimentaire marqués par l’ingestion en grande quantité de nourriture en un temps limité, avec le sentiment de perte de contrôle ; les excès alimentaires…
