À travers trois situations cliniques différentes, illustrées par une anamnèse, des examens cliniques et radiologiques, une réflexion est engagée pour conduire aux questions cadres que tout chirurgien-dentiste doit se poser lorsqu’il est confronté à de grandes réhabilitations prothétiques. Certains critères relevés doivent être utilisés comme aide à la décision, afin de pondérer le choix de la Dimension Verticale d’Occlusion thérapeutique.
Madame A
Présentation
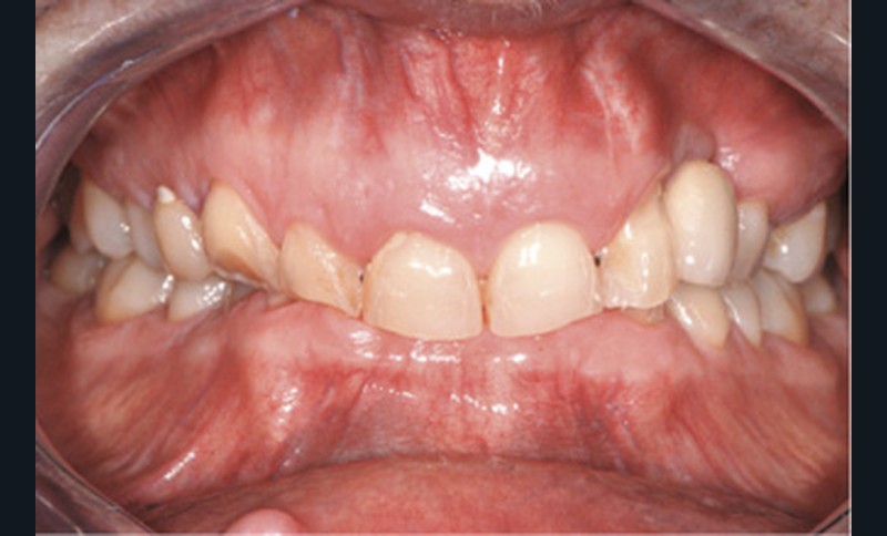
Patiente de 76 ans venue consulter en raison de son inquiétude relative à l’usure de ses dents antérieures mandibulaires très sensibles au froid et générant des difficultés de mastication. La patiente était également désireuse d’améliorer son sourire disgracieux (fig. 1). Pour autant, elle ne souhaitait pas bénéficier d’une restauration d’importance et invasive et refusait catégoriquement toute proposition d’éventuelle orthodontie.
L’examen clinique montre, à la palpation, des muscles masséters volumineux et denses, témoignant de fréquentes activités musculaires parafonctionnelles. L’entourage de la patiente confirme, en rapportant l’observation de crispations fréquentes dans la journée ainsi que de va-et-vient de la mandibule, de type grincement en propulsion/rétropulsion, analogues à ceux observés chez le rongeur durant son alimentation.
Lors de l’observation des arcades dentaires, il est constaté :
- une position mandibulaire en Occlusion d’Intercuspidie Maximale (OIM) reproductible, calée, non décentrée transversalement, c’est-à-dire physiologique ;
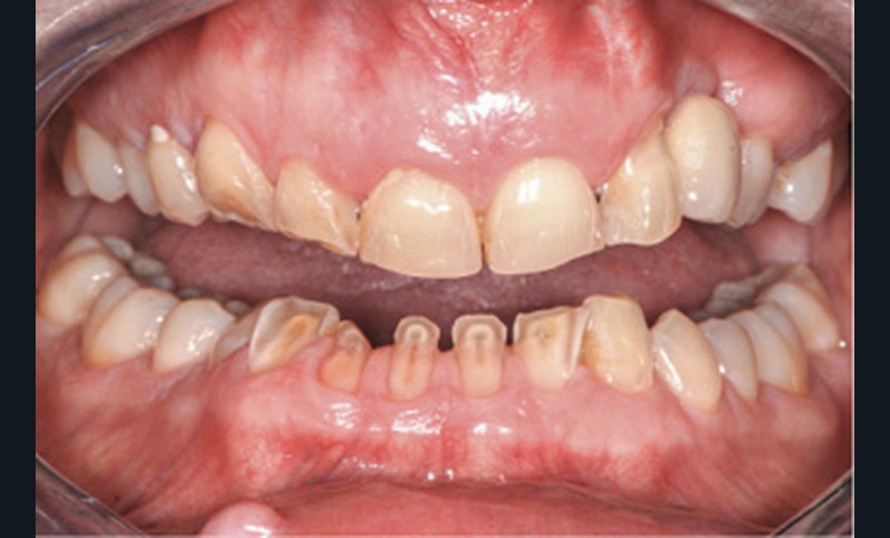
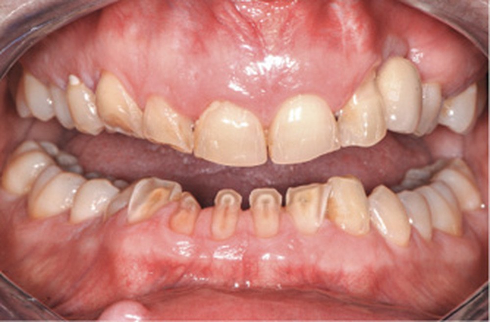
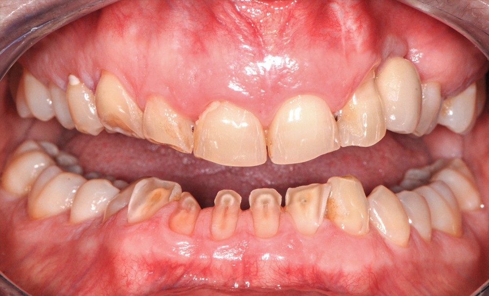
- l’usure particulière des dents du bloc incisivo-canin mandibulaire (fig. 2) ;
- les dents postérieures sont saines, naturelles et sans malposition ;
- une Dimension Verticale d’Occlusion (DVO) naturelle vraisemblablement conservée.
Certaines dents antérieures mandibulaires sont réduites pratiquement jusqu’à la…

