Partie 1 - Prévalence, aspect et étiologie
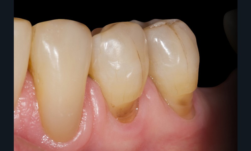
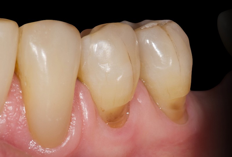
Les lésions cervicales non carieuses (LCNC ; Non-Carious Cervical Lesions, NCCL en anglais) sont des états pathologiques caractérisés par la perte de structure dentaire au niveau de la jonction amélo-cementaire qui ne sont pas liés à la carie dentaire [8] (fig. 1).
L’apparition de ces lésions est de plus en plus rencontrée dans la pratique clinique dentaire. Cet article se propose de fournir une synthèse à jour de la prévalence, de l’aspect et de l’étiologie de la LCNC. Une check-list est présentée pour analyser l’étiologie des lésions d’usure cervicale. Dans un deuxième article, les possibilités de traitement des LCNC seront discutées. Puis un troisième abordera la restauration adhésive de ces lésions.
Prévalence
Il a été établi que la prévalence des LCNC varie entre 5 % et 85 % [2, 7]. Cette grande variation peut être due au large éventail d’âges des participants des deux sexes dans les populations étudiées, ainsi qu’aux divers critères utilisés pour distinguer les lésions causées par un facteur étiologique précis.
La prévalence, la gravité et la progression des LCNC augmentent avec l’âge. Cela s’explique par une exposition prolongée aux facteurs étiologiques, une augmentation des récessions gingivales et une perte osseuse qui expose davantage les surfaces radiculaires ; le risque de lésions cervicales est aussi augmenté, du fait de la diminution quantitative et qualitative de la salive et des changements dans la composition et la microstructure de l’émail et de la dentine [2, 10, 18].
Les LCNC sont presque exclusivement situées sur les faces vestibulaires des dents, rarement sur les faces linguales et proximales. Plusieurs études ont montré qu’elles sont plus marquées sur les incisives, les canines et les prémolaires et qu’elles sont plus fréquentes sur le maxillaire qu’à la mandibule [7, 11].
Aspect
En général, les LCNC varient…
