CAS 1
Motif de la consultation
Patient de 50 ans venu consulter à la demande de son médecin interniste pour une ulcération de la lèvre inférieure présente depuis plus de 3 mois.
Histoire de la maladie
- Le patient, d’origine méditerranéenne, était suivi en médecine interne pour une fièvre méditerranéenne familiale évoluant par poussées avec comme principaux signes une fièvre, des douleurs abdominales et des arthralgies. Il était traité par colchicine et antagoniste des récepteurs de IL1 (l’anakinra) avec une bonne réponse. Il a été adressé à la consultation de pathologies buccales pour une ulcération labiale traînante.
Interrogatoire
- Il révélait la présence d’aphtes récurrents depuis l’enfance, localisés au niveau buccal, mais également au niveau du prépuce. Le patient décrivait des céphalées invalidantes non explorées par l’imagerie. L’ulcération labiale, motif de sa consultation, était douloureuse (EN = 8/10), gênante, voire empêchant l’élocution ainsi que l’alimentation.
Examen clinique
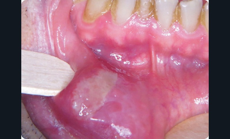
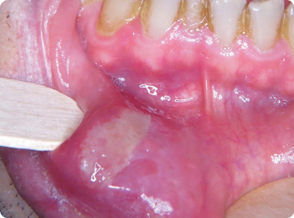
- Le patient présentait une ulcération de la partie muqueuse de la lèvre inférieure, latéralisée à droite. L’ulcération, de couleur jaunâtre, mesurait 1,5 cm par 3 cm. Les bords n’étaient pas surélevés et avaient une couleur rouge (inflammation) ou blanchâtre (œdème épithélial).
Examens paracliniques
- Le bilan biologique prescrit par nos confrères internistes (hémogramme, recherche d’une carence (vitamine B9, vitamine B12, fer), infectieux (HSV, CMV, tréponème…)), n’était pas contributif.
Synthèse
• Le diagnostic retenu était une ulcération correspondant à un APHTE GÉANT dans le cadre d’une MALADIE DE BEHÇET. Il existe un score diagnostique de la maladie de Behçet basé sur les signes cliniques de la maladie en rapport avec la vascularite : aphtes génitaux récurrents (score 2), aphtes buccaux récurrents (score 2)…
