Lésions lichénoïdes induites

  • Par
  • Publié le . Paru dans L'Information Dentaire n°31 - 18 septembre 2019
Information dentaire

Les lésions lichénoïdes induites sont des lésions qui simulent, sur le plan clinique ou histopathologique, un lichen plan, mais qui s’améliorent ou disparaissent après l’élimination du facteur inducteur (contact, médicamenteux, systémique).
Leur diagnostic est souvent fonction du contexte de survenue.

Cas 1

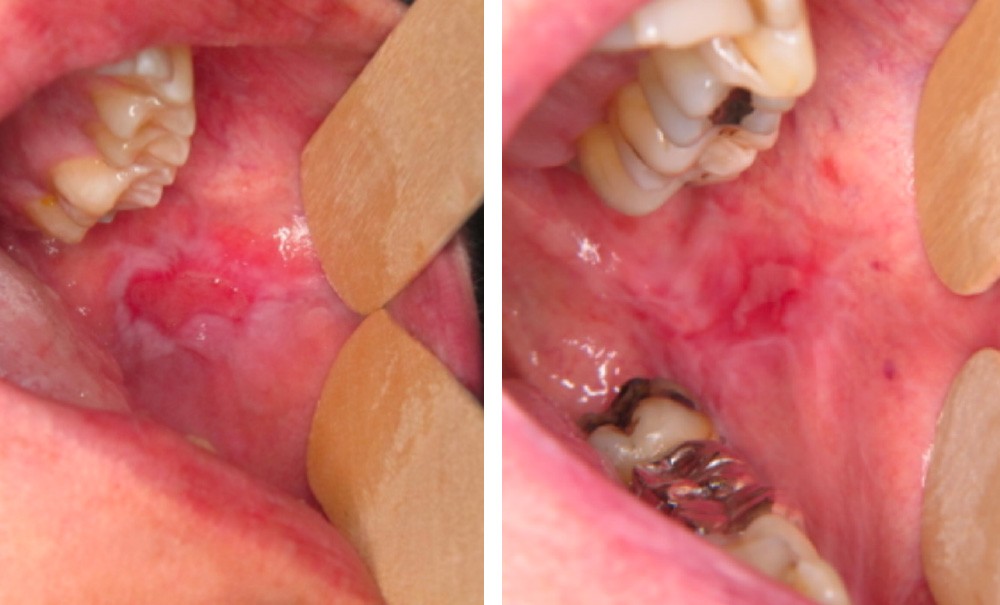
Motif de la consultation. Lésions jugales douloureuses survenues dans un contexte d’allogreffe de moelle osseuse.

Histoire de la maladie. Patient traité six mois auparavant pour une leucémie aiguë lymphoblastique par allogreffe de moelle osseuse. Il se plaignait de lésions jugales douloureuses. Les douleurs étaient apparues après l’arrêt du traitement immunosuppresseur par ciclosporine.

Interrogatoire. Il mettait en évidence des douleurs spontanées et à l’alimentation depuis deux mois.

Examen clinique. Il révélait une ulcération, de 1,5 cm de grand axe, de la joue bordée par une muqueuse atrophique et kératinisée.

Examen paraclinique. Aucun examen paraclinique n’a été réalisé car le contexte était suffisamment évocateur.

Synthèse. La lésion est caractéristique d’une réaction lichénoïde survenue dans le cadre d’une maladie du greffon contre l’hôte (Graft-Versus-Host Disease, GVHD).
La GVHD est l’une des principales complications de l’allogreffe de cellules souches hématopoïétiques. Elle est secondaire à une réaction des cellules immuno-compétentes du donneur contre les cellules du receveur. Les lésions buccales de la GVHD ont une grande ressemblance clinique et histologique avec le lichen plan idiopathique. Le contexte de survenue permet de faire le diagnostic.
Le traitement de la GVHD repose sur une corticothérapie topique (clobetasol crème), des bains de bouche d’immuno-suppresseur (tacrolimus), la photothérapie extracorporelle ou la corticothérapie associée à des traitements immunosuppresseurs per os. Une surveillance endobuccale au long cours est nécessaire…

Cet article est réservé aux abonnés.
Pour lire la suite :

Vous êtes abonné.e ? Connectez-vous
Mot de passe
oublié ?

Vous pouvez également :

Acheter l'article En version numérique
Acheter le numéro À l'unité

Thèmes abordés