Cas 1
Motif de la consultation
Patient de 50 ans venu consulter en janvier 2019 pour une lésion dorso-linguale.
Histoire de la maladie
• Une semaine auparavant, le patient avait développé un saignement buccal spontané et modéré qui semblait provenir de la langue.
Interrogatoire
• Le patient présentait une intoxication alcoolo-tabagique modérée, une addiction au cannabis et une hypothyroïdie compensée par lévothyroxine. Il avait été traité pour un cancer de la vessie (chirurgie + chimiothérapie intra-vésicale). La lésion n’était pas douloureuse et aurait régressé après l’application de Pyralvex®. Elle a continué à régresser lentement pendant un an, puis elle a présenté de nouveau un épisode aigu : douleurs, gonflement et « ça s’est ouvert ».
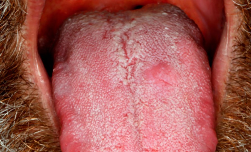
Examen clinique
• La lésion était constituée par une plage bien limitée, légèrement surélevée, en partie dépapillée, située au centre du dos de la langue, dans la région para-médiane gauche.
Examen paraclinique
• La pièce d’exérèse mesurait 15 x 10 x 7 mm. Elle était revêtue par un épithélium malpighien un peu irrégulier, comportant encore quelques papilles filiformes et, par endroits, une discrète parakératose. Le chorion était par places le siège d’une fibrose cicatricielle qui enserrait des fibres musculaires striées, certaines étant en voie de dégénérescence ; cette fibrose cicatricielle était associée à un infiltrat lymphoplasmocytaire assez dense. On ne retrouvait pas de corps étrangers sur les différents niveaux de coupe. La lésion était donc constituée par un remaniement fibro-cicatriciel et inflammatoire chronique.
Synthèse
• L’aspect clinique et l’évolution de la lésion faisaient suspecter un abcès sur corps étranger d’origine alimentaire. L’évolution a été favorable sous antibiothérapie et, après le 2e épisode, le patient a accepté que l’on réalise…
