CAS 1
Motif de la consultation
Patient adressé par son chirurgien-dentiste pour avis et prise en charge d’une lésion palatine présente depuis 3 mois.
Histoire de la maladie
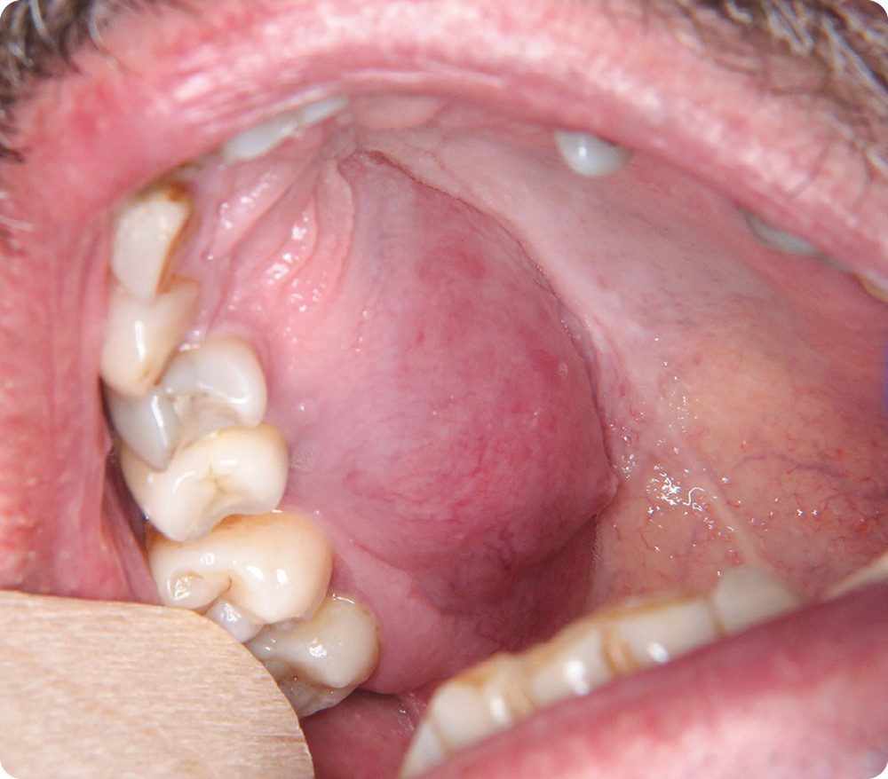
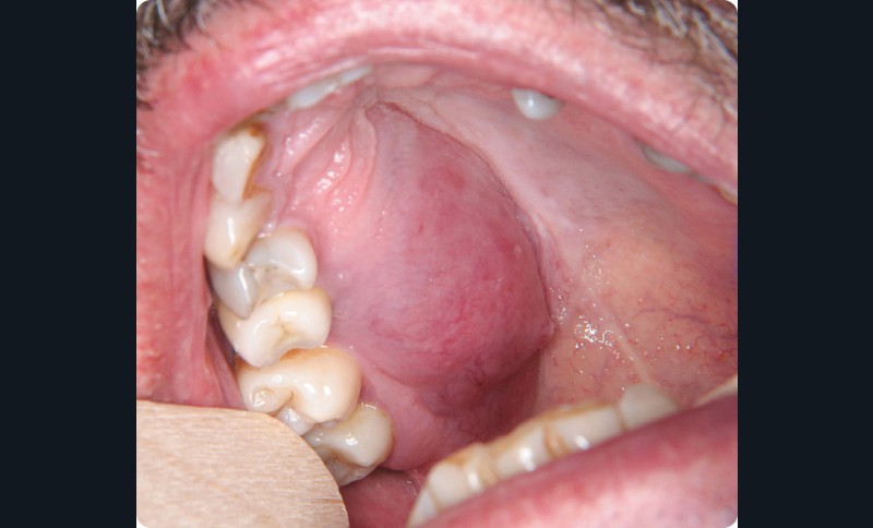
- Le patient, âgé de 63 ans, décrivait une discrète gêne au contact de la langue depuis plusieurs mois. Devant le caractère peu symptomatique de la lésion, il a tardé à consulter.
Interrogatoire
- Il ne révélait aucun élément notable en dehors d’une hypothyroïdie traitée par lévothyroxine.
Examen clinique
- On observait une tuméfaction oblongue, étendue sur l’hémi-maxillaire droit de 13 à 17, côté palatin. à la palpation, la lésion était rénitente.
Examens paracliniques
- Devant la suspicion de tumeur, une IRM a été prescrite. Elle a révélé une lésion circonscrite de la portion droite du palais, dont la topographie évoquait en premier lieu une lésion tumorale avec suspicion de lyse osseuse, associée à des adénomégalies cervicales homolatérales. L’examen anatomopathologique de la biopsie a révélé un infiltrat lymphoïde B (CD20+) à petites cellules avec de rares lymphocytes T (CD3+). Les lymphocytes B étaient positifs pour BCL2, CD5 et la cycline D1 qui était surexprimée. Les examens de biologie moléculaire ont révélé une translocation t(11;14) et une surexpression du facteur de transcription SOX11.
Synthèse
• Les examens complémentaires ont permis de poser le diagnostic de lymphome B du manteau. Il s’agit d’un lymphome non hodgkinien rare originaire de la zone du manteau du ganglion lymphatique. La découverte de lésions extra-ganglionnaires est fréquente au niveau digestif et médullaire. Un traitement R-CHOP à base d’une thérapie ciblée anti-CD20 associée à une polychimiothérapie (cyclophosphamide, doxorubicine, vincristine) et prednisone a été réalisé. Deux ans après le traitement, le patient était en rémission complète. Le pronostic reste redoutable dans…
