CAS 1
Motif de la consultation
Lésions discrètement douloureuses de la langue depuis 6 mois.
Histoire de la maladie
• Patient de 69 ans, ayant vécu en Inde (Kérala), qui a consulté pour une gêne au niveau lingual. Il avait consulté son médecin généraliste qui lui avait prescrit des antifongiques (amphotéricine B en bains de bouche, puis fluconazole en comprimés) sans effet.
Interrogatoire
• Il mettait en évidence la consommation de tabac oral mastiqué plusieurs fois par jour depuis plus de 30 ans. En outre, le patient avait une consommation d’alcool régulière estimée à 25 verres/semaine.
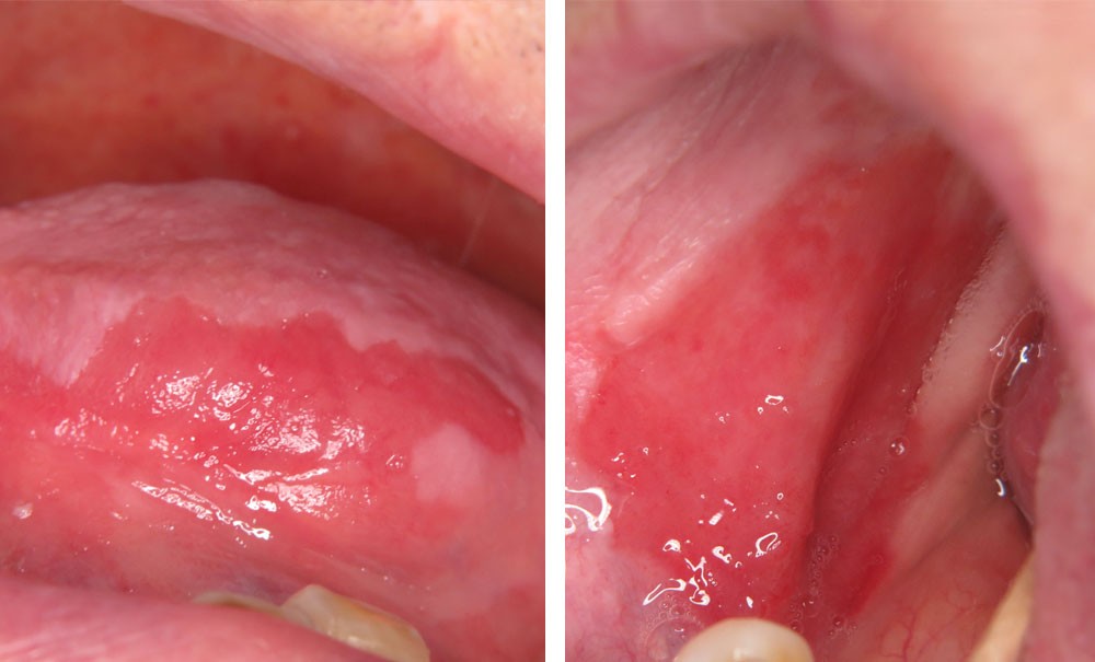
Examen clinique
• L’examen endo-buccal révélait sur le bord et la face ventrale gauche de la langue une large plage érythémateuse, bien limitée et souple à la palpation. Cette lésion était isolée sans lien apparent avec un facteur traumatique. La palpation des aires ganglionnaires cervico-faciales ne révélait pas d’adénopathie.
Examen paraclinique
• Une biopsie a été réalisée. Elle a mis en évidence un trouble de la maturation et de la prolifération cellulaire sur la totalité de l’épithélium sans franchissement de la membrane basale.
Synthèse
• Le tableau clinique et anatomopathologique est évocateur d’une érythroplasie. Toute lésion rouge dont la limite tranche franchement avec la muqueuse saine doit faire évoquer ce diagnostic et une biopsie doit être réalisée. Dans ce cas, le patient présentait plusieurs facteurs de risque d’érythroplasie : la consommation et la mastication de tabac oral, ainsi que la consommation d’alcool. L’érythroplasie correspond le plus souvent sur le plan histologique à une néoplasie intra-épithéliale (dysplasie) ou un carcinome épidermoïde débutant. Un traitement chirurgical seul suffit le plus souvent. Dans ce cas, une vaporisation laser C02 en deux séances a été réalisée avec une bonne réponse, sans signe de récidive…
