L’élongation coronaire chirurgicale pour la réhabilitation de l’esthétique du sourire

  • Par
  • Publié le . Paru dans L'Information Dentaire n°9 - 9 mars 2022
Information dentaire

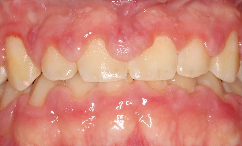
Le sourire dit « gingival » (ou classe 1 de Parodontia) est défini par la visibilité d’un bandeau continu de gencive supérieur à 3 mm [1]. L’éruption passive incomplète [2] est connue comme l’une des étiologies du sourire gingival en modifiant l’harmonie dento-faciale : les dents présentent une forme carrée et l’excès de gencive visible donne un sourire gingival prononcé. Une procédure de chirurgie plastique soustractive [3] permettra d’améliorer l’esthétique globale du sourire en rétablissant des volumes et des formes harmonieuses des dents et du parodonte. Très souvent, à côté de la redéfinition des contours gingivaux en excès par gingivectomie, il sera nécessaire de procéder à un remodelage osseux pour rétablir l’attache supra-crestale (espace biologique) [4]. Cette procédure d’élongation coronaire soulève de nombreuses questions quant aux paramètres à analyser, à la quantité d’os à enlever, au matériel à utiliser, au positionnement du lambeau par rapport à la crête osseuse et aux délais de cicatrisation.

L’éruption dentaire s’établit en deux phases : une phase active lorsque la dent chemine dans la cavité orale jusqu’à entrer en contact avec les autres dents (dans les 3 sens de l’espace) et une phase passive [5] caractérisée par une migration apicale des tissus supra-crestaux/espace biologique [6].

Lorsque l’éruption passive ne se produit pas ou s’interrompt, la gencive demeure en position coronaire et recouvre une quantité trop importante d’émail : on parle alors d’éruption passive altérée, retardée ou incomplète. Coslet et al. ont classé l’éruption passive altérée en deux types fondés sur la hauteur de tissu kératinisé, et en deux sous-groupes basés sur la position de la crête osseuse alvéolaire par rapport à la jonction amélo-cémentaire [7].

Le type I correspond à une hauteur en excès de tissu kératinisé supérieure à la moyenne de 3,0 à 4,2 mm au maxillaire et 2,5-2,6 mm à la mandibule [8].

Le type II correspond à une hauteur physiologique de gencive attachée (3 à 5 mm).

Dans le sous-groupe A, la distance entre la crête osseuse et la jonction amélo-cémentaire est physiologique (supérieure à 1 mm), permettant ainsi aux fibres gingivales de s’insérer dans le cément.

Dans le sous-groupe B, la crête osseuse est au niveau ou coronaire à la jonction amélo-cémentaire, empiétant ainsi sur l’espace de fixation des fibres du tissu conjonctif.

Un excès de tissu gingival peut interférer avec une hygiène bucco-dentaire adéquate et l’accumulation de plaque peut provoquer une inflammation gingivale marginale [9]. De plus, les restaurations et appareils orthodontiques placés à proximité de la gencive marginale peuvent provoquer une réponse inflammatoire entraînant une gingivite et parfois une perte d’attache. D’autres facteurs comme des traumatismes causés par le frottement des aliments ou la respiration buccale peuvent contribuer à l’inflammation chronique de la gencive.

Le concept…

Cet article est réservé aux abonnés.
Pour lire la suite :

Vous êtes abonné.e ? Connectez-vous
Mot de passe
oublié ?

Vous pouvez également :

Acheter l'article En version numérique
Acheter le numéro À l'unité

Thèmes abordés

Sur le même sujet

Parodontologie

Article réservé à nos abonnés De la muco-esthétique à la muco qui sauve les dents

Le concept PASS au cœur de l’innovation parodontale La chirurgie plastique parodontale a connu une évolution notable, alliant avancées cliniques et technologiques...
Parodontologie

Article réservé à nos abonnés Séance SFPIO – Quelles sont les bonnes pratiques en parodontologie en 2024 ?

Responsable scientifique : Caroline Fouque Intervenants : Damien FEUILLET, Hélène RANGé, Nicolas BLANC-SYLVESTRE La parodontologie au croisement des disciplines Toutes sévérités confondues, les...