L’orthodontie dans le traitement des lésions érosives

  • Par
  • Publié le . Paru dans L'Information Dentaire n°17 - 28 avril 2021
Information dentaire

Les lésions érosives sont de plus en plus fréquentes dans notre société où les modes de consommation et l’allongement de l’espérance de vie sont des facteurs propices à ce type de pathologie. Le développement de la dentisterie a minima met l’orthodontie au centre de la prise en charge de ces phénomènes, au sein d’une démarche pluridisciplinaire. Elle corrige leurs conséquences, en facilitant la mise en place et l’intégration des restaurations prothétiques. En fonction du stade d’avancée des pertes de substance et des modifications de l’harmonie dento-dentaire, ces traitements pluridisciplinaires s’inscrivent dans une démarche mesurée où l’intervention de chaque intervenant est planifiée dès le départ.

Les pertes de substances d’origine érosive ont une prévalence en évolution depuis quelques années. Ces phénomènes multifactoriels sont en relation avec le mode de vie, l’allongement de la durée de vie et le maintien des dents sur arcade [1]. Ces lésions peuvent entraîner des conséquences biologiques, fonctionnelles et esthétiques développées à bas bruit, de manière chronique, avec des formes et des localisations diverses. Les signes d’usure doivent être repérés et interceptés le plus tôt possible. Dans les cas plus avancés, l’évaluation et la localisation des lésions ainsi que leurs conséquences composent les investigations nécessaires au diagnostic et à la proposition d’un plan de traitement.

L’orthodontie peut intervenir afin de corriger certains phénomènes de compensation de ces pertes de substances et permettre l’intégration fonctionnelle et esthétique des restaurations prothétiques. En fonction de la quantité de tissu perdu, de ses conséquences ou de ses compensations, le traitement orthodontique intervient sur des secteurs d’arcades différents et avec des chronologies différentes par rapport aux soins restaurateurs.

Cette prise en charge pluridisciplinaire, développée dans cet article, demande alors à l’omnipraticien de savoir communiquer et diriger le patient dans son parcours de soins.

Vue orthodontique des conséquences des lésions érosives

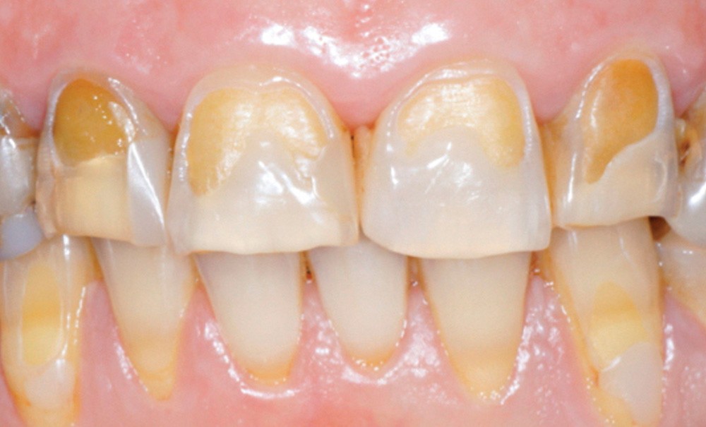
Les lésions érosives se caractérisent par des pertes d’émail avec une exposition de la dentine plus ou moins importante. Elles sont le fruit d’une attaque acide régulière et répétée sur l’ensemble des dents ou sur un groupe de dents particulier. Les pertes de substance sont souvent repérées sur les faces occlusales, vestibulaires et buccales de la dent. La localisation des lésions dépend de l’origine endogène ou exogène de l’attaque acide [2]. Il va sans dire que cette perte de tissu dentaire se fait au détriment de l’anatomie de la…

Cet article est réservé aux abonnés.
Pour lire la suite :

Vous êtes abonné.e ? Connectez-vous
Mot de passe
oublié ?

Vous pouvez également :

Acheter l'article En version numérique
Acheter le numéro À l'unité

Thèmes abordés