Questions
1. Quelles sont les propositions exactes concernant l’image tomodensitométrique ?
a. Rhyzalyse 36 et 37
b. Corticales soufflées et lysées
c. Extension lésionnelle au canal dentaire
d. Déplacement des racines dentaires
2. En fonction du contexte clinique et des données radiographiques, vers quel diagnostic vous orientez-vous ?
a. Une métastase osseuse
b. Un carcinome mandibulaire
c. Un améloblastome
d. Un kyste essentiel
3. Quelle conduite à tenir recommandez-vous ?
a. Exploration et biopsie avec examen anatomopathologique
b. Abstention et surveillance
c. Traitement endodontique des dents en regard de la lésion
d. Exérèse de la lésion et reconstruction par greffe osseuse
Réponses 1 : b et c, 2 : d ; 3 : a
Commentaire
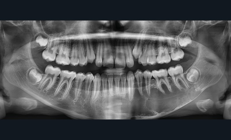
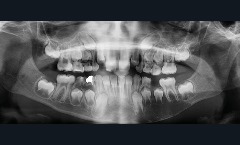
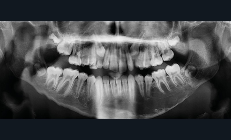
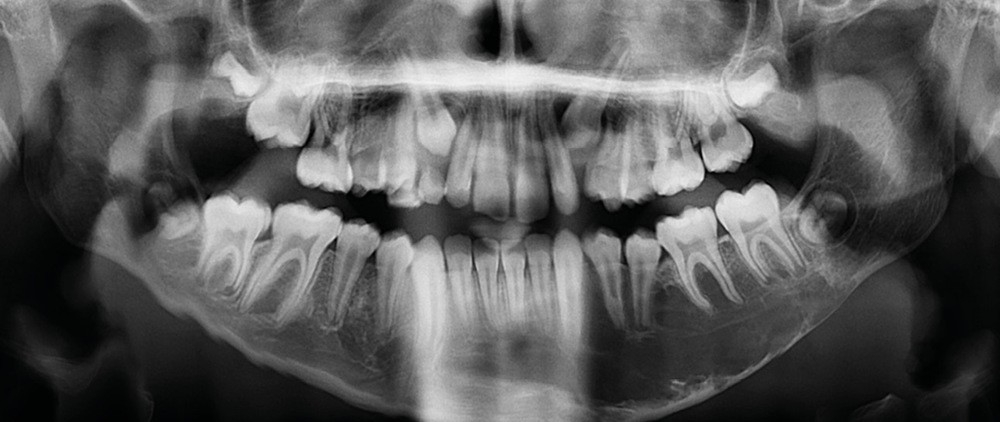
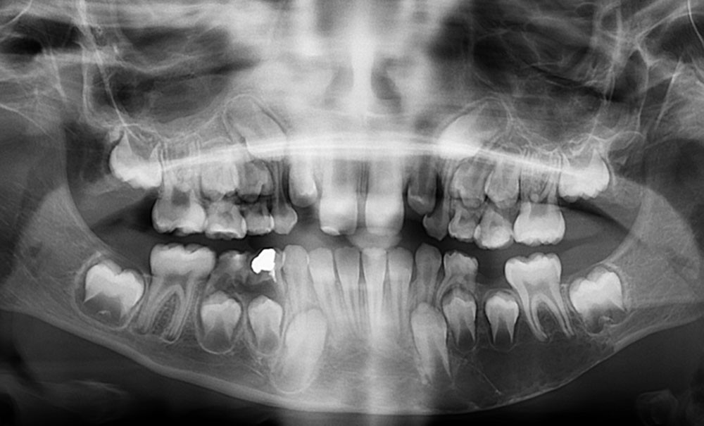
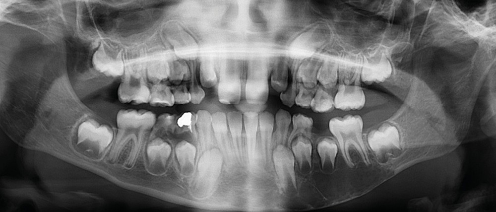
L’évolution clinique lente, la découverte fortuite et les examens radiologiques font évoquer un kyste essentiel (kyste osseux solitaire).
Il existe une zone ostéolytique unique, aux contours extrêmement fins, évidant la branche horizontale de la mandibule, et dont la limite supérieure est mieux marquée et dite « circinée », contournant les racines dentaires.
Le diagnostic est fait lors de l’intervention : la cavité est « vide », ne contenant aucune poche kystique (fig. 5).
La simple « ouverture » à la suite de l’exploration chirurgicale permet la reprise du processus d’ossification.




