Quelles sont les étiologies des dyschromies dentaires ?
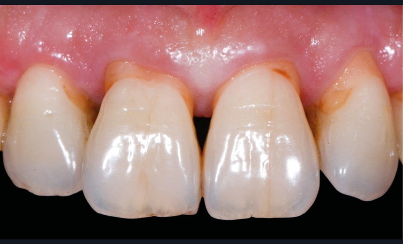
Avant tout traitement, il convient de déterminer l’étiologie des colorations dentaires. Selon leur origine, la stratégie thérapeutique et les informations délivrées au patient peuvent différer. Outre les modifications de couleur inhérentes au vieillissement des dents (fig. 1a), on distingue généralement deux types de dyschromies selon que leur étiologie est intrinsèque ou extrinsèque [2].
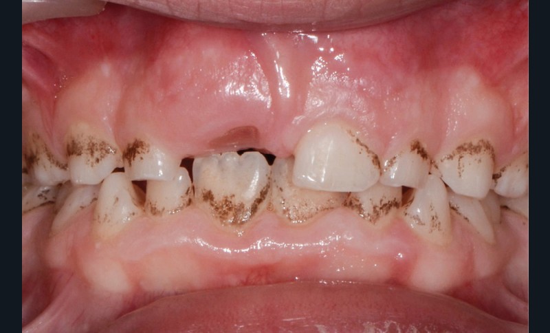
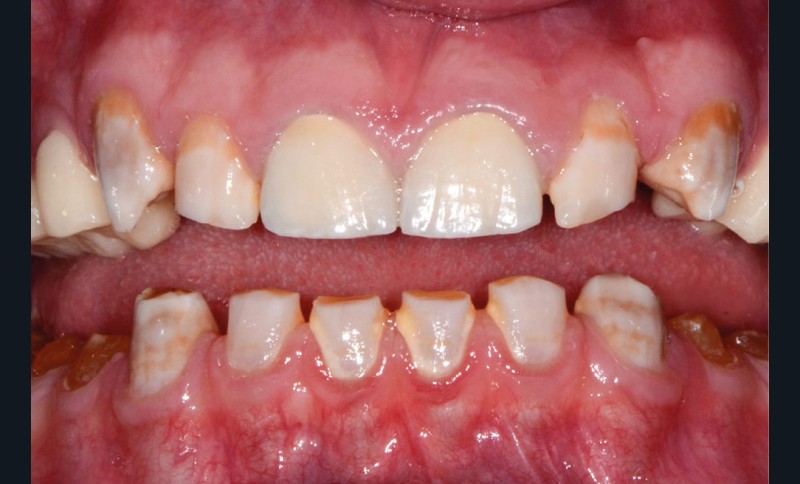
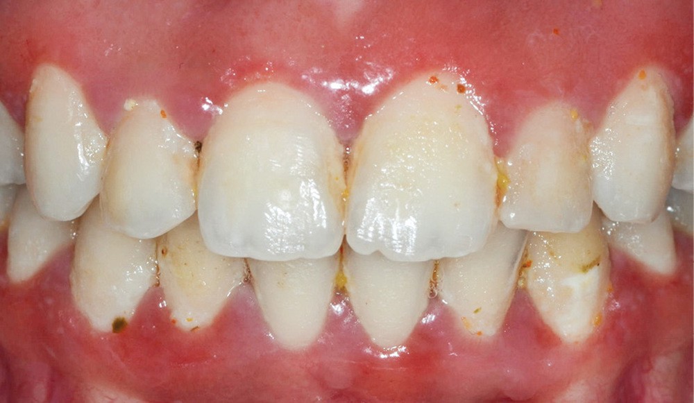
Les dyschromies extrinsèques
Elles sont causées par des agents colorants externes qui se déposent généralement sur la surface amélaire. Leurs origines sont diverses : alimentation (fig. 1b), tabac (fig. 1c), plaque bactérienne ou bactéries chromogènes (fig. 1d), ainsi que certains médicaments. La réalisation d’un aéropolissage en complément du détartrage initial est généralement suffisante pour éliminer efficacement ces colorations. Cependant, le patient doit être prévenu qu’en l’absence de modification de ses habitudes de vie, celles-ci reviendront [2, 4].
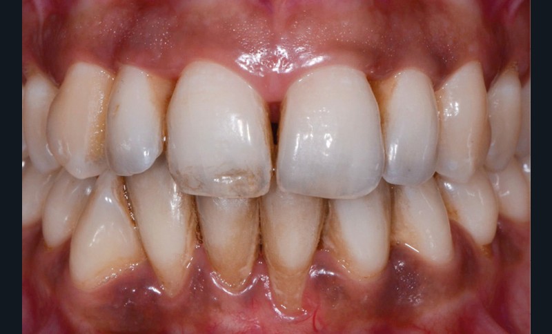
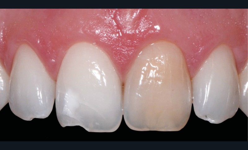
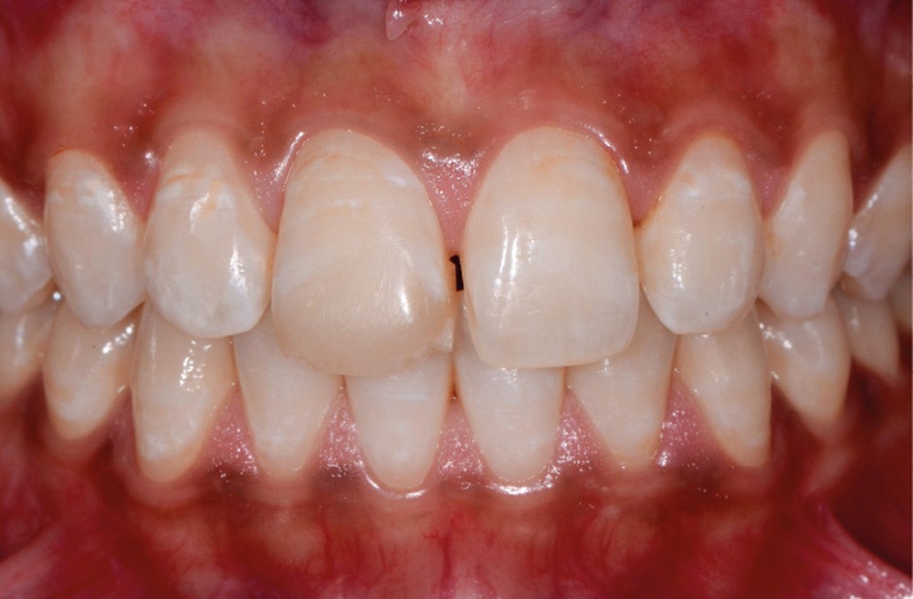
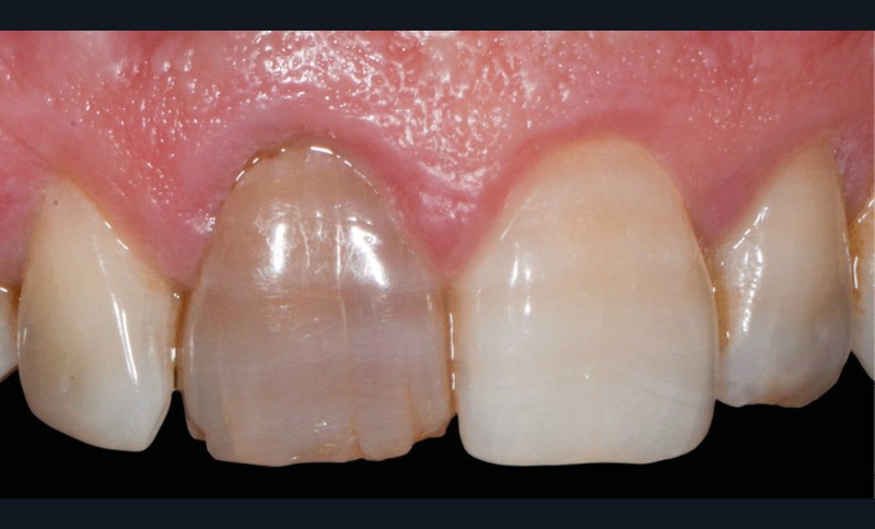
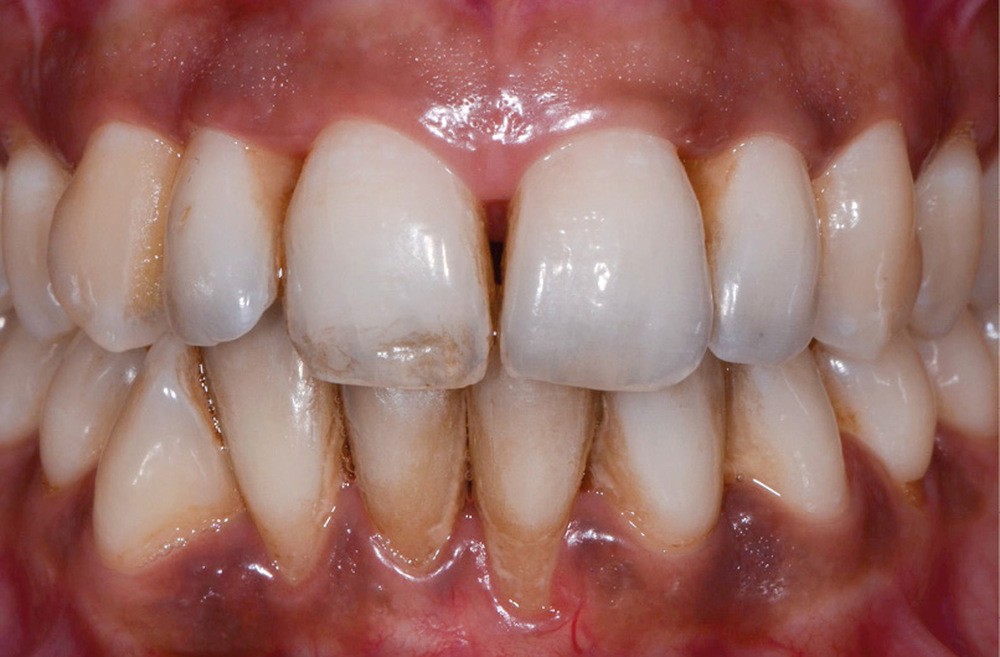
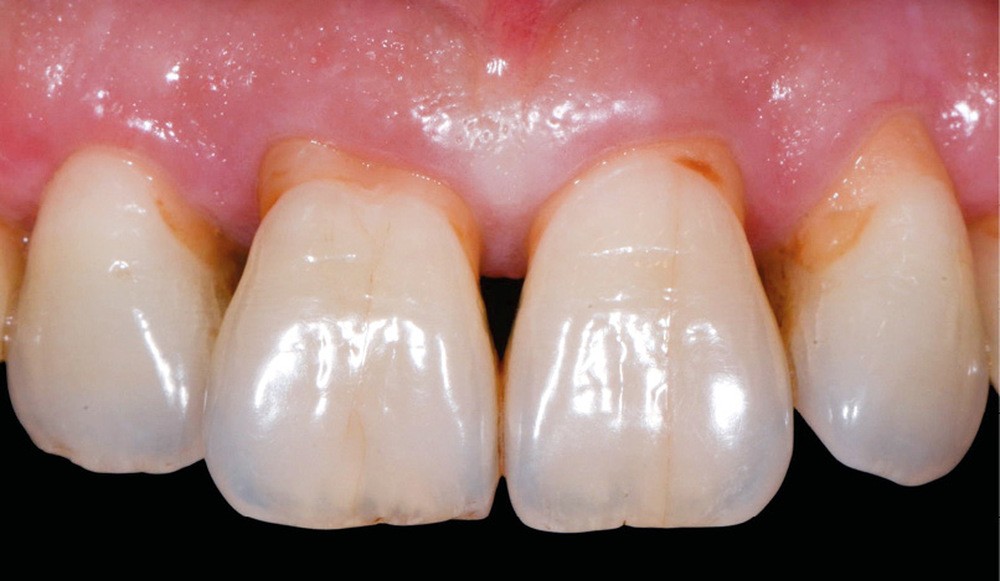
Les dyschromies intrinsèques
Elles intéressent la structure organo-minérale de la dent par incorporation de molécules colorées au sein du complexe amélo-dentinaire. Elles peuvent être liées à la prise de médicaments (fig. 2a), à des maladies génétiques ou congénitales. Elles peuvent également être la conséquence d’une pathologie pulpaire (fig. 2b) ou d’un acte technique (fig. 2c, d) [2, 4].
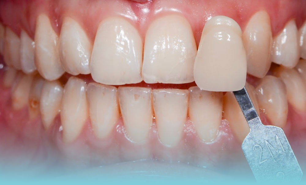
Quels sont les mécanismes d’action des produits éclaircissants ?
L’éclaircissement agit sur les colorations intrinsèques et extrinsèques, en surface comme en profondeur. Son principe repose sur l’oxydation des pigments organiques (chromophores) grâce à la présence de radicaux libres libérés par la molécule active de l’éclaircissement : le peroxyde d’hydrogène. Afin de potentialiser son effet, on le retrouve généralement…







