Ma première « three step technique »

  • Par
  • Publié le . Paru dans L'Information Dentaire n°33 - 3 octobre 2018
Information dentaire
Nous vous proposons une petite « saga » constituée de trois articles qui se suivront au fil de trois numéros. Ils présentent le travail de Mathilde Jalladaud qui a intégralement pris en charge le cas clinique présenté.

La prise en charge contemporaine des contextes d’usure érosive, de plus en plus fréquente, est très spécifique et relève aujourd’hui d’une approche à la fois biomimétique et ultra conservatrice. Cette approche, proposée et enseignée par Francesca Vailati, met en évidence le recours à des restaurations partielles adhésives, aussi bien dans le secteur antérieur que postérieur. Il est important de considérer la nécessité absolue d’inscrire ces traitements dans une logique de santé publique minimalement invasive.

1re partie - Du diagnostic aux « full mock-up »

Les destructions des tissus dentaires liées à des phénomènes érosifs sont de plus en plus fréquentes et touchent environ 40 % de la population, à tout âge [1]. Qu’elles soient dues à de mauvaises habitudes alimentaires, à des attitudes anorexiques ou encore à des reflux gastro-œsophagiens, les répercussions dentaires peuvent être sévères et rapides et sont susceptibles d’entraîner des conséquences occluso-

fonctionnelles complexes. La « three step technique », proposée par Francesca Vailati [2, 3, 4] en 2006 est une technique qui s’oppose à la réalisation de préparations périphériques et d’ancrages radiculaires, bien trop mutilants, surtout dans ces situations où les dents sont déjà fragilisées. Ce traitement ultra-conservateur permet une réhabilitation en trois grandes séquences successives dans le cas des érosions sévères généralisées. À partir d’un cas clinique, nous détaillerons les premières étapes de ces traitements préservateurs, de la réflexion diagnostique à la réalisation des « mock-up » provisoires, puis les deuxième et troisième volets détailleront toutes les étapes de réalisation des prothèses définitives (table tops, overlays, veneerlays et facettes vestibulaires et palatines).

Poser le diagnostic et déterminer le plan de traitement adéquat

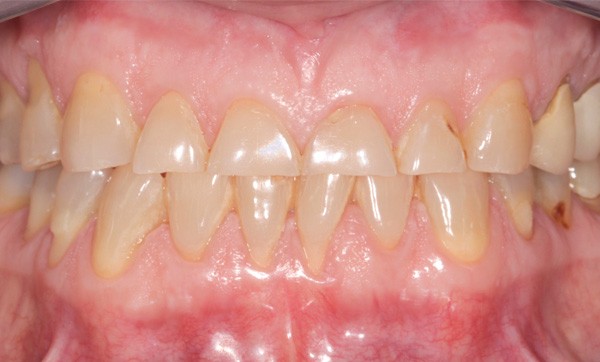
Le diagnostic d’usure généralisée par érosion chimique est enfin posé !
Cette patiente, âgée de 52 ans, se présente au cabinet pour une sensibilité sur une molaire mandibulaire. Elle nous informe qu’elle est décidée à réaliser les deux couronnes sur 37 et 47 que le chirurgien-dentiste précédent lui a recommandées. Au cours de cette consultation, bien que l’examen clinique et radiographique confirme la reprise de carie sous une volumineuse restauration sur 37, une autre pathologie est observée. On remarque en effet une usure dentaire généralisée dont les conséquences sont marquées. Une deuxième consultation…

Cet article est réservé aux abonnés.
Pour lire la suite :

Vous êtes abonné.e ? Connectez-vous
Mot de passe
oublié ?

Vous pouvez également :

Acheter l'article En version numérique
Acheter le numéro À l'unité

Thèmes abordés

Sur le même sujet

Esthétique

Article réservé à nos abonnés Un mois sans alcool pour repenser sa consommation : le Dry January revient

Le Défi de janvier (Dry January) revient e n 2026 pour sa septième édition. Cette campagne citoyenne semble s’imposer comme...
Esthétique

Article réservé à nos abonnés Rencontre avec Pierre Keller : gestion des tissus mous péri-implantaires

1er cas lauréatResponsable de séance : Othman MikouIntervenant : Pierre Keller  Extraction–implantation immédiate (EII) : volumes osseux et gingivaux suffisants...