La remarquable efficacité des traitements implanto-prothétiques amène beaucoup des patients qui en bénéficient à considérer qu’ils pourront finir leurs jours sans s’en préoccuper le moins du monde. Malheureusement, la réalité clinique est moins simple puisqu’un nombre considérable de patients dont les implants sont toujours en place – participant ainsi aux excellents taux de succès du volet chirurgical de la discipline – sont subitement rappelés à l’ordre par l’apparition de symptômes au niveau des tissus péri-implantaires et/ou par la survenue de problèmes mécaniques sur la super structure prothétique allant du simple dévissage à la fracture complète des composants prothétiques. En analysant la nature, la prévalence et les facteurs de risque de ces complications, nous décrirons des procédures de gestion de ces complications et nous proposerons un protocole de maintenance et de suivi implantaire.
Maintenance biologique
La maintenance implantaire biologique a pour objectif la santé et la stabilité des tissus péri-implantaires osseux et muqueux.
Nature et prévalence des complications biologiques
Les complications biologiques autour des implants sont de deux types :
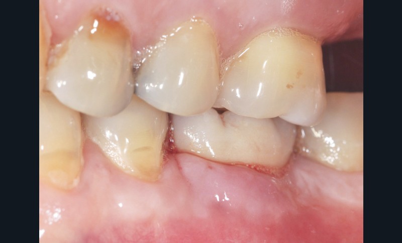
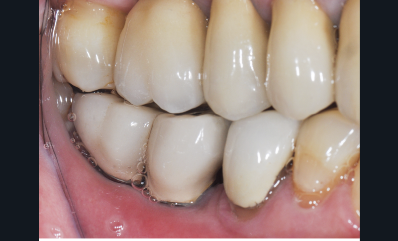
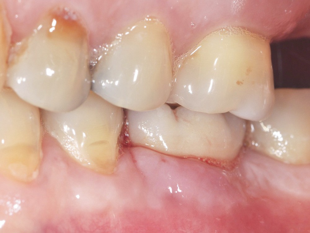
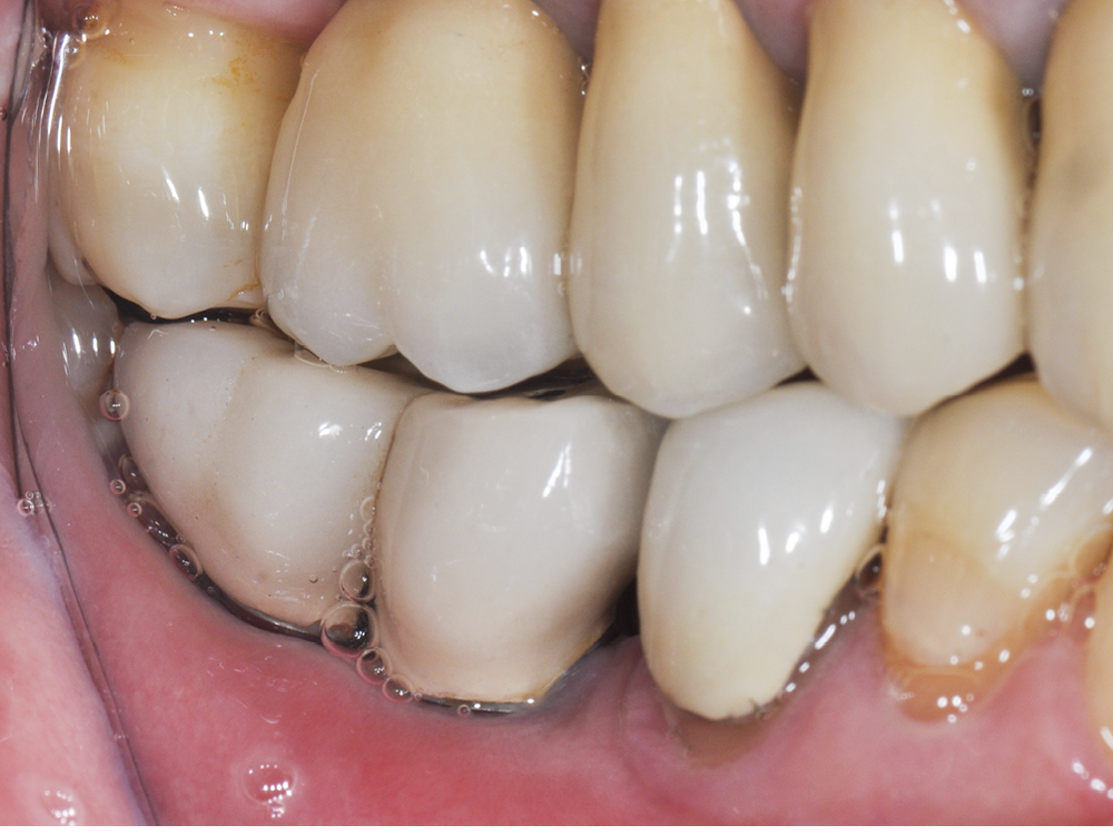
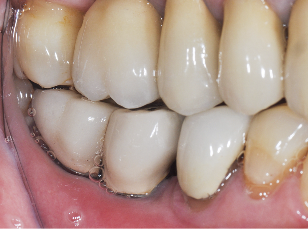
– la mucosite péri-implantaire, définie comme une inflammation réversible des tissus mous péri-implantaires sans atteinte osseuse (fig. 1a, b) ;
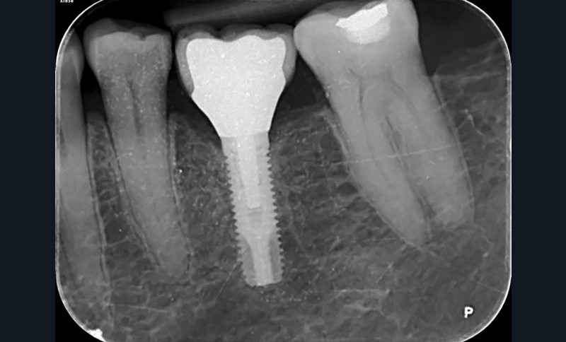
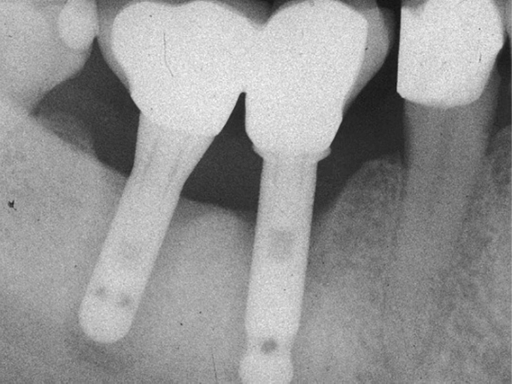
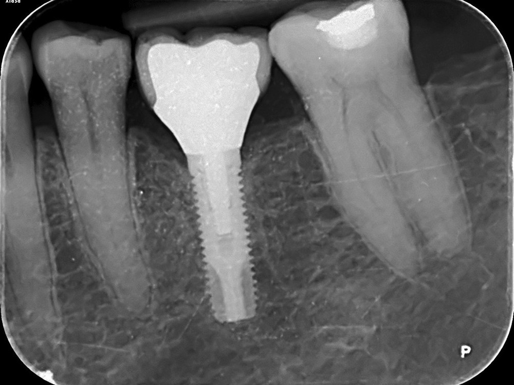
– la péri-implantite définie comme une inflammation des tissus mous péri-implantaires avec une destruction irréversible de l’os péri-implantaire (fig. 2a-b).
Les causes de ces maladies péri-implantaires sont multifactorielles et font intervenir des facteurs systémiques liés à l’hôte, à des paramètres locaux liés au site implantaire et à la technique chirurgicale, à la nature des matériaux et composants implantaires utilisés, à la présence de biofilms bactériens et à la capacité du patient et du praticien à les éliminer régulièrement [1,2].



