En 2019, di Francesco et al. [5] ont réalisé une revue systématique et méta-analyse concernant le nombre d’implants requis au maxillaire pour réaliser une prothèse amovible complète supra-implantaire (PACSI). D’après cette étude, il existe un lien fort entre le taux de survie implantaire et le nombre d’implants utilisés : un minimum de 4 implants semble ainsi être préconisé [6]. Enfin, la mise en place (ou l’intégration) d’une infrastructure métallique dans l’intrados doit être systématique car elle permet, d’une part, d’éviter les fractures, et, d’autre part, d’assurer une meilleure rétention et répartition des forces [7, 8].
Cas clinique
Présentation
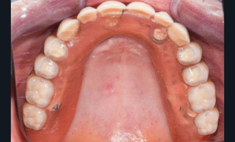
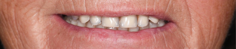
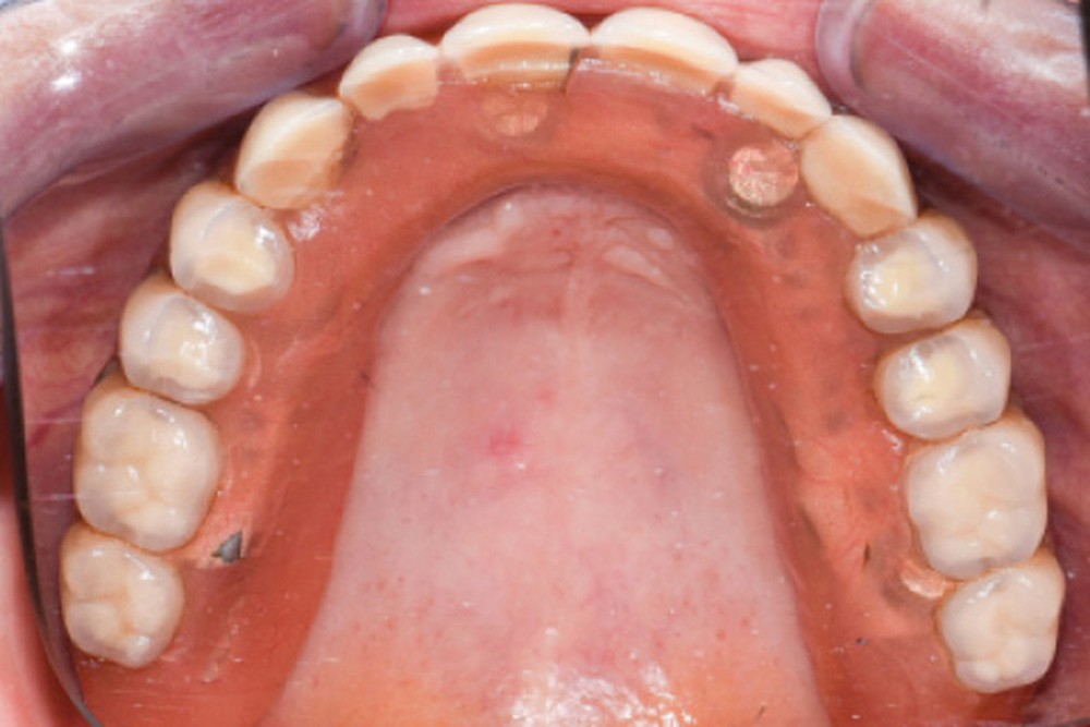
Une patiente de 65 ans consulte pour la perte d’adaptation de sa PACSI lors de la mastication. L’interrogatoire médical ne révèle aucune pathologie ni traitement médicamenteux. La patiente mentionne ne pas fumer et est sérieuse sur le plan prophylactique. Cependant, depuis quelque temps, elle se plaint d’une difficulté à mastiquer associée à une mobilité de sa prothèse et une usure des dents prothétiques (fig. 1a à e).
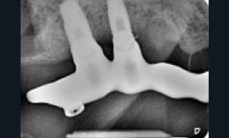
Une réhabilitation par PACSI maxillaire a été réalisée dix ans auparavant sur 5 implants en place de 13, 12, 21 et sur 24 et 26 (fig. 2a et b). Dans le cadre du plan de traitement initial, 6 implants avaient été indiqués. L’un d’entre eux, en position distale dans le secteur I, n’a jamais été ostéointégré. La patiente ne souhaitant plus de chirurgie, il avait donc été décidé de réaliser une prothèse sur 5 implants. La barre est directement connectée aux implants. À la mandibule, la patiente présente également une PACSI sur 2 implants associés à 2 piliers Locator®.
Lors de l’examen clinique, après dépose de la prothèse et dévissage de la barre, le constat est alarmant : présence de plaque abondante…









