Impact d’une application smartphone sur l’hygiène bucco-dentaire de patients adolescents traités par appareil fixe : une étude multicentrique contrôlée randomisée

  • Publié le . Paru dans L'Orthodontiste n°1 - 15 février 2021 (page 64-65)

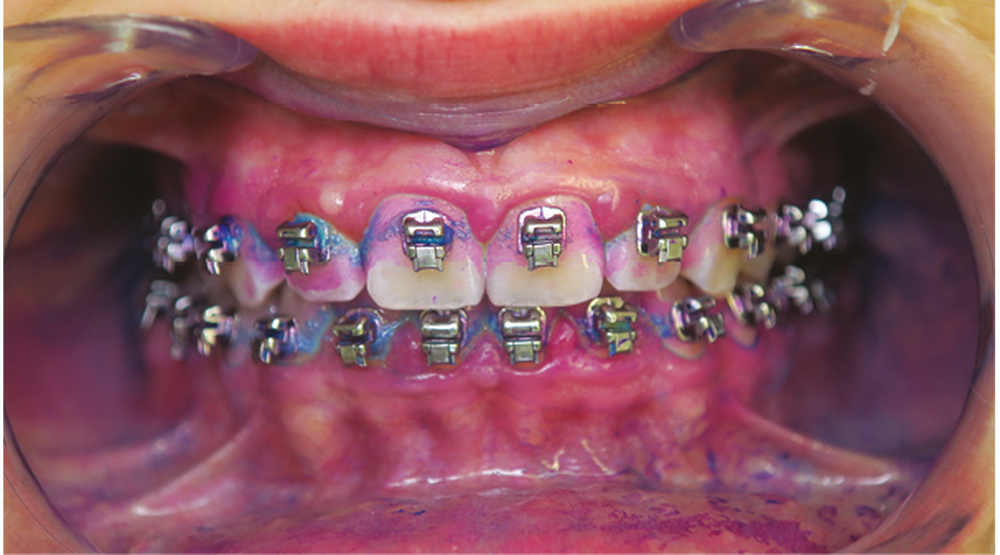
3a-f. Photographies à T1 (a,c,e) et à T4 (b,d,f) de trois patients issus du groupe test après utilisation d’un révélateur de plaque.

Information dentaire

Marine Deleuse

> Master de spécialisation en orthodontie, 4e année

> Liège, Belgique

> Soutenance le 14 juin 2019

Récemment, la firme Oral-B a mis au point une application d’aide au brossage (Oral-B App). L’Université de Liège, en collaboration avec la Faculté d’odontologie d’Aix-Marseille, a réalisé une étude multicentrique contrôlée randomisée dont le but consiste à analyser l’impact de l’application smartphone Oral-B App sur l’hygiène bucco-dentaire des patients adolescents porteurs d’un appareil fixe multi-attaches orthodontique.

Matériels et méthodes

Cette étude est construite sous la forme d’une étude multicentrique contrôlée randomisée. Deux centres hospitalo-universitaires (Université de Liège, Belgique et Faculté d’odontologie d’Aix-Marseille, France) se sont investis dans la réalisation de cette étude sous la coordination du Pr Carole Charavet.

40 patients entre 12 et 18 ans ont participé à cette étude et ont été répartis de manière aléatoire en un groupe contrôle utilisant une brosse à dents électrique oscillo-rotative et en un groupe test utilisant une brosse à dents électrique oscillo-rotative connectée à son application d’aide au brossage (Oral-B App). Les données ont été récoltées à quatre temps distincts : T1 (baseline), T2 (6 semaines), T3 (12 semaines) et T4 (18 semaines).

Résultats

Au total, 40 patients âgés de 12 à 18 ans (13,9 ± 1,2 ans) ont été inclus dans cette étude.

Au cours du temps, une lassitude des patients envers l’utilisation de l’application est observée (fig. 1).

Globalement, entre T1 et T4, le score d’indice de plaque/patient diminue significativement dans chacun des deux groupes (groupe contrôle : p < 0,0001 ; groupe test : p = 0,0003). Cependant, il n’y a pas de différence significative entre les deux groupes.

Le groupe test présente un indice de plaque significativement plus faible que le groupe contrôle…

Cet article est réservé aux abonnés.
Pour lire la suite :

Vous êtes abonné.e ? Connectez-vous
Mot de passe
oublié ?

Vous pouvez également :

Acheter l'article En version numérique
Acheter le numéro À l'unité

Thèmes abordés