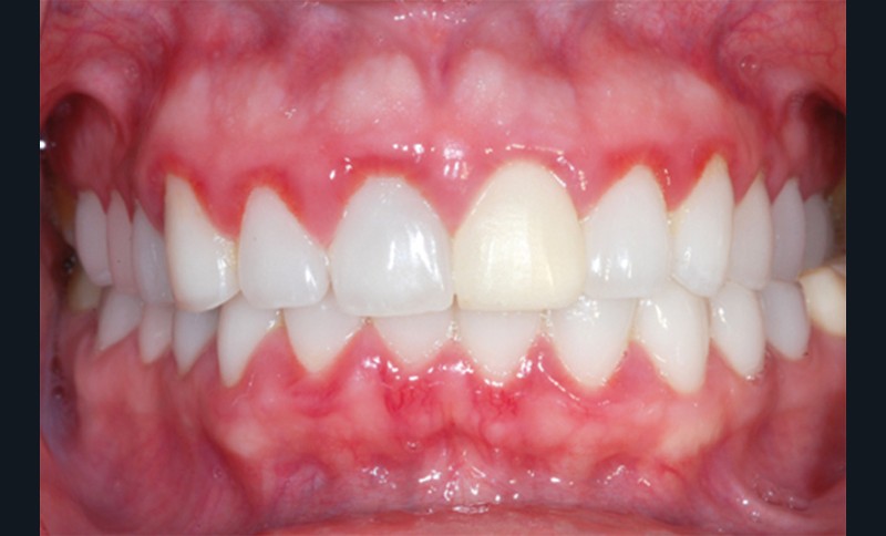
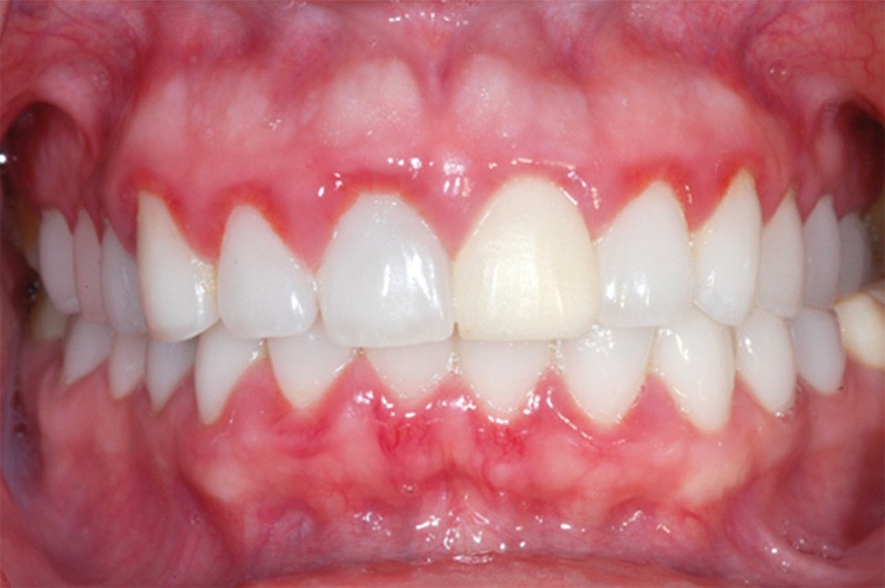
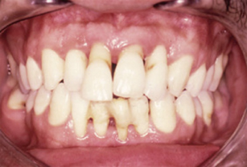
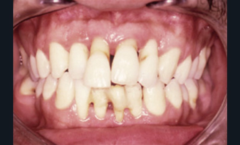
Plus de 700 espèces bactériennes orales ont été identifiées, et l’on dénombre entre 100 et 200 espèces différentes dans une bouche saine. Ainsi, le milieu oral est le siège de deux grandes maladies d’étiologie bactérienne : les maladies parodontales et les caries dentaires. Les premières sont liées à la colonisation des espaces parodontaux radiculaires par des micro-organismes ayant la capacité d’entraîner une réaction inappropriée de l’hôte marquée cliniquement, dans un premier temps, par une inflammation (gingivite), puis par une perte d’attache calculée en mesurant la profondeur des poches (parodontite) (fig. 1a et 1b). Des facteurs de risque génétiques et environnementaux peuvent influencer la manifestation de la maladie parodontale.
Les bactéries parodontopathogènes
Une bactérie parodontopathogène est une bactérie susceptible d’engendrer une maladie parodontale. Il ne s’agit pas d’une bactérie unique, mais plutôt d’une communauté bactérienne organisée en complexes microbiens, dits complexes bactériens de Socransky. Les bactéries constituant chacun de ces complexes et leur ordre de colonisation des surfaces dentaires jusqu’au développement de la maladie parodontale sont représentés dans la figure 2. La flore microbienne sous-gingivale comporte plus de 500 espèces bactériennes. Certaines bactéries se retrouvent très fréquemment associées les unes aux autres. La connaissance de ces complexes a une importance capitale pour le traitement : en effet, si la thérapeutique affecte une espèce d’un complexe, elle peut affecter le complexe lui-même et la temporalité de la colonisation. Il faut noter que si le détartrage surfaçage radiculaire a un effet profond sur le complexe rouge, il en a peu sur les autres complexes. Cependant, l’altération du complexe orange peut prévenir la formation du complexe rouge.
[gallery link= »file » columns= »1″…

